Skip to main content

ARMC1 Antibody - BSA Free

Novus Biologicals, part of Bio-Techne | Catalog # NBP1-88847

Novus Biologicals, part of Bio-Techne
Catalog #
Availability
Size / Price
Qty
Loading...
NBP1-88847
NBP1-88847-25ul

Key Product Details

Species Reactivity

Validated:

Human

Predicted:

Mouse (98%), Rat (96%). Backed by our 100% Guarantee.

Applications

Immunohistochemistry, Immunohistochemistry-Paraffin, Western Blot, Immunocytochemistry/ Immunofluorescence

Label

Unconjugated

Antibody Source

Polyclonal Rabbit IgG

Format

BSA Free

Concentration

Concentrations vary lot to lot. See vial label for concentration. If unlisted please contact technical services.

Product Specifications

Immunogen

This antibody was developed against Recombinant Protein corresponding to amino acids: SSTSTMSEEPDALSVVNQLRDLAADPLNRRAIVQDQGCLPGLILFMDHPNPPVVHSALLALRYLAECRANREKMKGELGMMLSLQNVIQKTTTPGETKLLASEIYDILQSSNMADGDSFNEMNSRRRKAQFFLGTTNKRA

Clonality

Polyclonal

Host

Rabbit

Isotype

IgG

Scientific Data Images for ARMC1 Antibody - BSA Free

Western Blot: ARMC1 Antibody [NBP1-88847]

Western Blot: ARMC1 Antibody [NBP1-88847]

Western Blot: ARMC1 Antibody [NBP1-88847] - Analysis in control (vector only transfected HEK293T lysate) and ARMC1 over-expression lysate (Co-expressed with a C-terminal myc-DDK tag (3.1 kDa) in mammalian HEK293T cells).
Immunocytochemistry/ Immunofluorescence: ARMC1 Antibody [NBP1-88847]

Immunocytochemistry/ Immunofluorescence: ARMC1 Antibody [NBP1-88847]

Immunocytochemistry/Immunofluorescence: ARMC1 Antibody [NBP1-88847] - Immunofluorescent staining of human cell line A-431 shows localization to mitochondria.
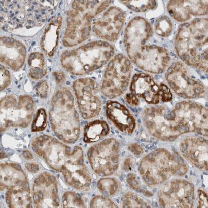
Immunohistochemistry-Paraffin: ARMC1 Antibody [NBP1-88847]

Immunohistochemistry-Paraffin: ARMC1 Antibody [NBP1-88847]

Immunohistochemistry-Paraffin: ARMC1 Antibody [NBP1-88847] - Staining of human kidney shows strong cytoplasmic positivity in distal tubules.

Applications for ARMC1 Antibody - BSA Free

Application
Recommended Usage

Immunocytochemistry/ Immunofluorescence

0.25-2 ug/ml

Immunohistochemistry

1:200 - 1:500

Immunohistochemistry-Paraffin

1:200 - 1:500

Western Blot

0.04-0.4 ug/ml
Application Notes
For IHC-Paraffin, HIER pH 6 retrieval is recommended. ICC/IF,Fixation Permeabilization: Use PFA/Triton X-100.

Formulation, Preparation, and Storage

Purification

Affinity purified

Formulation

PBS (pH 7.2) and 40% Glycerol

Format

BSA Free

Preservative

0.02% Sodium Azide

Concentration

Concentrations vary lot to lot. See vial label for concentration. If unlisted please contact technical services.

Shipping

The product is shipped with polar packs. Upon receipt, store it immediately at the temperature recommended below.

Stability & Storage

Store at 4C short term. Aliquot and store at -20C long term. Avoid freeze-thaw cycles.

Background: ARMC1

ARMC1( AAH11607, 1 a.a. - 283 a.a.) full-length recombinant protein with GST.

Alternate Names

Arcp, armadillo repeat containing 1, armadillo repeat-containing protein 1, FLJ10511

Entrez Gene IDs

55156 (Human)

Gene Symbol

ARMC1

UniProt

Additional ARMC1 Products

Product Documents for ARMC1 Antibody - BSA Free

Certificate of Analysis

To download a Certificate of Analysis, please enter a lot number in the search box below.

Product Specific Notices for ARMC1 Antibody - BSA Free

This product is for research use only and is not approved for use in humans or in clinical diagnosis. Primary Antibodies are guaranteed for 1 year from date of receipt.

Loading...
Loading...
Loading...
Loading...