Skip to main content

Aquaporin-12A Antibody

Novus Biologicals, part of Bio-Techne | Catalog # NBP3-12278

Novus Biologicals, part of Bio-Techne
Catalog #
Availability
Size / Price
Qty
Loading...
NBP3-12278

Key Product Details

Species Reactivity

Mouse, Rat

Applications

ELISA, Immunofluorescence, Immunohistochemistry, Immunohistochemistry-Paraffin, Immunoprecipitation, Western Blot

Label

Unconjugated

Antibody Source

Polyclonal Rabbit

Concentration

Please see the vial label for concentration. If unlisted please contact technical services.

Product Specifications

Immunogen

Synthetic peptide taken within amino acid region 240-290 on mouse Aquaporin 12 protein.

Clonality

Polyclonal

Host

Rabbit

Description

Novus Biologicals Rabbit Aquaporin-12A Antibody (NBP3-12278) is a polyclonal antibody validated for use in IHC, WB, ELISA and IP. All Novus Biologicals antibodies are covered by our 100% guarantee.

Scientific Data Images for Aquaporin-12A Antibody

Western Blot: Aquaporin-12A Antibody [NBP3-12278]

Western Blot: Aquaporin-12A Antibody [NBP3-12278]

Western Blot: Aquaporin-12A Antibody [NBP3-12278] - 1:500 antibody dilution in DiluObuffer. Apparent MW is 36 KDa.
Immunohistochemistry-Paraffin: Aquaporin-12A Antibody [NBP3-12278]

Immunohistochemistry-Paraffin: Aquaporin-12A Antibody [NBP3-12278]

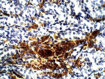
Immunohistochemistry-Paraffin: Aquaporin-12A Antibody [NBP3-12278] - Rat Kidney. 1:100 dilution in IHC blocking buffer. DAB (brown) staining and Hematoxylin QS (blue) counterstain. 40X magnification.
Immunohistochemistry-Paraffin: Aquaporin-12A Antibody [NBP3-12278]

Immunohistochemistry-Paraffin: Aquaporin-12A Antibody [NBP3-12278]

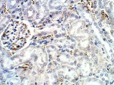
Immunohistochemistry-Paraffin: Aquaporin-12A Antibody [NBP3-12278] - Mouse Kidney. 1:100 dilution in IHC blocking buffer. DAB (brown) staining and Hematoxylin QS (blue) counterstain. 40X magnification.

Applications for Aquaporin-12A Antibody

Application
Recommended Usage

ELISA

1:10000

Immunofluorescence

1:50-1:100

Immunohistochemistry

1:100

Immunohistochemistry-Paraffin

1:100

Immunoprecipitation

1:200

Western Blot

1:500

Formulation, Preparation, and Storage

Purification

Affinity purified

Formulation

Contains Tris, HCl/glycine buffer (pH 7.4-7.8), 30% glycerol, 0.5% BSA, along with cryo-protective agents, and HEPES (exact storage and stabilization buffer information is proprietary).

Preservative

0.02% Sodium Azide

Concentration

Please see the vial label for concentration. If unlisted please contact technical services.

Shipping

The product is shipped with polar packs. Upon receipt, store it immediately at the temperature recommended below.

Stability & Storage

Store at 4C short term. Store at -20C long term. Avoid freeze-thaw cycles.

Background: Aquaporin-12A

Aquaporins facilitate the transport of water and small neutral solutes across cell membranes

Alternate Names

AQP-12, AQP12AQPX2aquaporin X2, aquaporin 12, aquaporin 12A, aquaporin-12A

Gene Symbol

AQP12A

Additional Aquaporin-12A Products

Product Documents for Aquaporin-12A Antibody

Certificate of Analysis

To download a Certificate of Analysis, please enter a lot number in the search box below.

Product Specific Notices for Aquaporin-12A Antibody

This product is for research use only and is not approved for use in humans or in clinical diagnosis. Primary Antibodies are guaranteed for 1 year from date of receipt.

Loading...
Loading...
Loading...
Loading...