Skip to main content

API5 Antibody

Novus Biologicals, part of Bio-Techne | Catalog # NBP1-46223

Novus Biologicals, part of Bio-Techne
Catalog #
Availability
Size / Price
Qty
Loading...
NBP1-46223

Key Product Details

Validated by

Independent Antibodies

Species Reactivity

Validated:

Human, Mouse

Predicted:

Chicken (100%), Orangutan (100%), Xenopus (100%). Backed by our 100% Guarantee.

Applications

Immunohistochemistry, Immunohistochemistry-Paraffin, Western Blot, Immunoprecipitation

Label

Unconjugated

Antibody Source

Polyclonal Rabbit IgG

Concentration

0.2 mg/ml

Product Specifications

Immunogen

The immunogen for this product maps to a region between residue 1 and 50 of human Apoptosis Inhibitor 5 using the numbering given in entry XP_508375.2 (GeneID 8539).

Clonality

Polyclonal

Host

Rabbit

Isotype

IgG

Theoretical MW

58 kDa.
Disclaimer note: The observed molecular weight of the protein may vary from the listed predicted molecular weight due to post translational modifications, post translation cleavages, relative charges, and other experimental factors.

Scientific Data Images for API5 Antibody

Western Blot: API5 Antibody [NBP1-46223]

Western Blot: API5 Antibody [NBP1-46223]

Western Blot: API5 Antibody [NBP1-46223] - Whole cell lysate (50 ug) from HeLa, HEK293T, Jurkat, mouse TCMK-1, and mouse NIH 3T3 cells prepared using NETN lysis buffer. Antibody: Affinity purified rabbitanti-API5 antibody A302-784A used for WB at 0.1 ug/ml. detection:Chemiluminescence with an exposure time of 3 minutes.
Immunohistochemistry-Paraffin: API5 Antibody [NBP1-46223]

Immunohistochemistry-Paraffin: API5 Antibody [NBP1-46223]

Immunohistochemistry-Paraffin: API5 Antibody [NBP1-46223] - Section of mouse renal cell carcinoma. Antibody: Affinity purified rabbit anti-API5 used at 1:200 (1 ug/ml) Detection: DAB
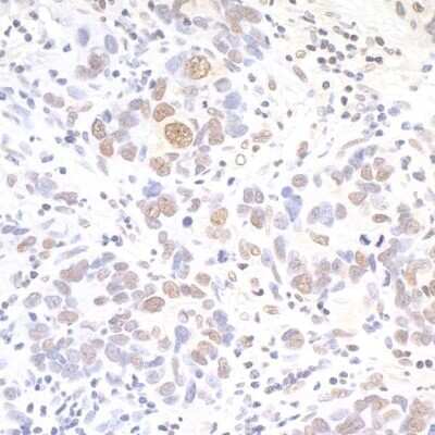
Immunohistochemistry-Paraffin: API5 Antibody [NBP1-46223]

Immunohistochemistry-Paraffin: API5 Antibody [NBP1-46223]

Immunohistochemistry-Paraffin: API5 Antibody [NBP1-46223] - Detection of human API5 by immunohistochemistry. Sample: FFPE section of human breast carcinoma. Antibody: Affinity purified rabbit anti-API5 (NBP1-46223). Detection: DAB

Applications for API5 Antibody

Application
Recommended Usage

Immunohistochemistry

1:100-1:500

Immunoprecipitation

2-5 ug/mg lysate

Western Blot

1:2000-1:10000
Application Notes
Epitope retrieval with citrate buffer pH6.0 is recommended for FFPE tissue sections.

Formulation, Preparation, and Storage

Purification

Immunogen affinity purified

Formulation

TBS and 0.1% BSA

Preservative

0.09% Sodium Azide

Concentration

0.2 mg/ml

Shipping

The product is shipped with polar packs. Upon receipt, store it immediately at the temperature recommended below.

Stability & Storage

Store at 4C. Do not freeze.

Background: API5

Antiapoptotic factor that may have a role in protein assembly. Negatively regulates ACIN1. By binding to ACIN1, it suppresses ACIN1 cleavage from CASP3 and ACIN1-mediated DNA fragmentation. Also known to efficiently suppress E2F1-induced apoptosis. Its depletion enhances the cytotoxic action of the chemotherapeutic drugs

Alternate Names

AAC-11API5L1, AAC11fibroblast growth factor 2-interacting factor 2, Antiapoptosis clone 11 protein, API-5, apoptosis inhibitor 5, Cell migration-inducing gene 8 protein, Fibroblast growth factor 2-interacting factor, FIF, migration-inducing protein MIG8, Protein XAGL

Entrez Gene IDs

8539 (Human); 11800 (Mouse)

Gene Symbol

API5

UniProt

Additional API5 Products

Product Documents for API5 Antibody

Certificate of Analysis

To download a Certificate of Analysis, please enter a lot number in the search box below.

Product Specific Notices for API5 Antibody

This product is for research use only and is not approved for use in humans or in clinical diagnosis. Primary Antibodies are guaranteed for 1 year from date of receipt.

Loading...
Loading...
Loading...
Loading...