Apc5 Antibody - BSA Free
Novus Biologicals, part of Bio-Techne | Catalog # NBP1-77154
Conjugate
Catalog #
Key Product Details
Species Reactivity
Validated:
Human, Mouse, Rat
Predicted:
Chicken (100%). Backed by our 100% Guarantee.
Applications
Immunohistochemistry, Immunohistochemistry-Paraffin, Western Blot, ELISA, Immunocytochemistry/ Immunofluorescence
Label
Unconjugated
Antibody Source
Polyclonal Rabbit IgG
Format
BSA Free
Concentration
1 mg/ml
Product Specifications
Immunogen
Antibody was raised against a 17 amino acid synthetic peptide near the center of human APC5. The immunogen is located within amino acids 480 - 530 of APC5. Amino Acid Squence: LKHLKERFPPNSQHAQL
Clonality
Polyclonal
Host
Rabbit
Isotype
IgG
Description
Novus Biologicals Rabbit Apc5 Antibody - BSA Free (NBP1-77154) is a polyclonal antibody validated for use in IHC, WB, ELISA and ICC/IF. All Novus Biologicals antibodies are covered by our 100% guarantee.
Scientific Data Images for Apc5 Antibody - BSA Free
Western Blot: Apc5 AntibodyBSA Free [NBP1-77154]
Western Blot: Apc5 Antibody [NBP1-77154] - Human kidney tissue lysate with APC5 antibody at (A) 1 and (B) 2 ug/mL.Immunohistochemistry: Apc5 Antibody - BSA Free [NBP1-77154] -
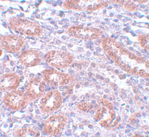
Immunohistochemistry: Apc5 Antibody - BSA Free [NBP1-77154] - Immunohistochemistry of Apc5 in rat kidney tissue with Apc5 antibody at 5 u/mL.Immunocytochemistry/ Immunofluorescence: Apc5 Antibody - BSA Free [NBP1-77154] -
Immunocytochemistry/ Immunofluorescence: Apc5 Antibody - BSA Free [NBP1-77154] - Immunofluorescence of Apc5 in rat kidney tissue with Apc5 antibody at 20 u/mL.Applications for Apc5 Antibody - BSA Free
Application
Recommended Usage
ELISA
1:100-1:2000
Immunocytochemistry/ Immunofluorescence
20 ug/ml
Immunohistochemistry
5 ug/ml
Immunohistochemistry-Paraffin
5 ug/ml
Western Blot
1-2 ug/ml
Formulation, Preparation, and Storage
Purification
Peptide affinity purified
Formulation
PBS
Format
BSA Free
Preservative
0.02% Sodium Azide
Concentration
1 mg/ml
Shipping
The product is shipped with polar packs. Upon receipt, store it immediately at the temperature recommended below.
Stability & Storage
Store at 4C short term. Aliquot and store at -20C long term. Avoid freeze-thaw cycles.
Background: Apc5
Alternate Names
anaphase promoting complex subunit 5, anaphase-promoting complex subunit 5, APC5Cyclosome subunit 5
Gene Symbol
ANAPC5
UniProt
Additional Apc5 Products
Product Documents for Apc5 Antibody - BSA Free
Product Specific Notices for Apc5 Antibody - BSA Free
This product is for research use only and is not approved for use in humans or in clinical diagnosis. Primary Antibodies are guaranteed for 1 year from date of receipt.
Loading...
Loading...
Loading...
Loading...
Loading...