Skip to main content

Apc1 [p Ser377] Antibody - BSA Free

Novus Biologicals, part of Bio-Techne | Catalog # NB600-895

Novus Biologicals, part of Bio-Techne
Catalog #
Availability
Size / Price
Qty
Loading...
NB600-895

Key Product Details

Validated by

Biological Validation

Species Reactivity

Human

Applications

Immunohistochemistry, Immunohistochemistry-Paraffin, Western Blot, ELISA

Label

Unconjugated

Antibody Source

Polyclonal Rabbit IgG

Format

BSA Free

Concentration

Please see the vial label for concentration. If unlisted please contact technical services.

Product Specifications

Immunogen

This affinity purified Apc1 [p Ser377] Antibody was prepared from whole rabbit serum produced by repeated immunizations with a synthetic peptide corresponding to an internal region surrounding pS377 of Human Apc1 protein. (Uniprot: Q9H1A4)

Reactivity Notes

A BLAST analysis was used to suggest reactivity with this protein from human, dog, rat, and bovine based on 100% homology for the immunogen sequence. Cross reactivity with Apc1 protein from mouse is expected, as this sequence show 90% homologous between human and mouse. Cross reactivity with Apc1 homologues from other sources has not been determined. Minimal reactivity is expected with the non-phosphorylated form of the protein.

Modification

p Ser377

Localization

Secreted

Specificity

This product is an affinity purified antibody produced by immunoaffinity chromatography using phospho peptide coupled to agarose beads followed by solid phase adsorption(s) against non-phospho peptide and non-specific peptide to remove any unwanted reactivities. This antibody is specific for phosphorylated human Apc1 protein at the pS377 residue. A BLAST analysis was used to suggest reactivity with this protein from human, dog, rat, and bovine based on 100% homology for the immunogen sequence. Cross reactivity with Apc1 protein from mouse is expected, as this sequence show 90% homologous between human and mouse. Cross reactivity with Apc1 homologues from other sources has not been determined. Minimal reactivity is expected with the non-phosphorylated form of the protein.

Clonality

Polyclonal

Host

Rabbit

Isotype

IgG

Description

This product is an affinity purified antibody produced by immunoaffinity chromatography using phospho peptide coupled to agarose beads followed by solid phase adsorption(s) against non-phospho peptide and non-specific peptide to remove any unwanted reactivities

Store vial at -20C prior to opening. Aliquot contents and freeze at -20C or below for extended storage. Avoid cycles of freezing and thawing. Centrifuge product if not completely clear after standing at room temperature. This product is stable for several weeks at 4C as an undiluted liquid. Dilute only prior to immediate use.

Scientific Data Images for Apc1 [p Ser377] Antibody - BSA Free

Western Blot: Apc1 [p Ser377] Antibody [NB600-895] - Analysis of a band 215 kDa corresponding to phosphorylated human APC1 (arrowhead). Lane 1 shows lysate from asynchronous cells. Lane 2 shows lysate from cells treated with nocodazole. While some phosphorylated APC1 is present in untreated cell, the amount of phosphorylated protein is increased in cell preparations arrested in mitosis. Each lane contains approximately 30 ug of HeLa whole cell lysates, separated by 4-8% SDS-PAGE followed by transfer to nitrocellulose. After blocking the membrane was probed with the primary antibody diluted to 1:1,000 overnight at 4C followed by washes and reaction with a 1:10,000 dilution of IRDye800 conjugated Gt-a-Rabbit IgG [H&L] MX for 45 min at room temperature.
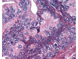
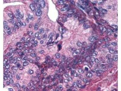
Immunohistochemistry: Apc1 [p Ser377] Antibody [NB600-895]

Immunohistochemistry: Apc1 [p Ser377] Antibody [NB600-895]

Immunohistochemistry: Apc1 [p Ser377] Antibody [NB600-895] - Used at 5.0 ug/ml to detect signal in a variety of tissues including multi-human, multi-brain and multi-cancer slides. This image shows moderate positive cytoplasmic and occasional nuclear staining of pancreatic carcinoma cells at 60X. Tissue was formalin-fixed and paraffin embedded. The image shows localization of the antibody as the precipitated red signal, with a hematoxylin purple nuclear counterstain.
Apc1 [p Ser377] Antibody

Apc1 [p Ser377] Antibody

affinity purified anti-APC1 pS377 antibody was used at 5.0ug/ml to detect signal in a variety of tissues including multi-human, multi-brain and multi-cancer slides. This image shows moderate positive cytoplasmic and occasional nuclear staining of pancreatic carcinoma cells at 60X. Tissue was formalin-fixed and paraffin embedded. The image shows localization of the antibody as the precipitated red signal, with a hematoxylin purple nuclear counterstain. Personal Communication, Tina Roush, LifeSpanBiosciences, Seattle, WA.

Applications for Apc1 [p Ser377] Antibody - BSA Free

Application
Recommended Usage

ELISA

1:2000-1:10000

Immunohistochemistry

5.0 ug/ml

Immunohistochemistry-Paraffin

5 ug/ml

Western Blot

1:200-1:1000
Application Notes
This affinity purified antibody has been tested for use in ELISA, immunohistochemistry and western blot. Specific conditions for reactivity should be optimized by the end user. Expect a band ~ 215 kDa in size corresponding to APC1 by western blotting in the appropriate cell lysate or extract.

Formulation, Preparation, and Storage

Purification

Immunogen affinity purified

Formulation

0.02 M Potassium Phosphate, 0.15 M Sodium Chloride, pH 7.2

Format

BSA Free

Preservative

0.01% Sodium Azide

Concentration

Please see the vial label for concentration. If unlisted please contact technical services.

Shipping

The product is shipped with polar packs. Upon receipt, store it immediately at the temperature recommended below.

Stability & Storage

Store at -20C short term. Aliquot and store at -80C long term. Avoid freeze-thaw cycles.

Background: Apc1

APC1 is 1 of at least 11 subunits of the anaphase promoting complex (APC), which functions at the metaphase to anaphase transition of the cell cycle and is regulated by spindle checkpoint proteins. The APC is an E3 ubiquitin ligase that targets cell cycle regulatory proteins for degradation by the proteasome, thereby allowing progression through the cell cycle.

Alternate Names

anaphase promoting complex subunit 1, anaphase-promoting complex 1 (meiotic checkpoint regulator), anaphase-promoting complex subunit 1, APC1Testis-specific gene 24 protein, Cyclosome subunit 1, Mitotic checkpoint regulator, TSG24MCPR

Entrez Gene IDs

64682 (Human); 17222 (Mouse); 311412 (Rat)

Gene Symbol

ANAPC1

UniProt

Additional Apc1 Products

Product Documents for Apc1 [p Ser377] Antibody - BSA Free

Certificate of Analysis

To download a Certificate of Analysis, please enter a lot number in the search box below.

Product Specific Notices for Apc1 [p Ser377] Antibody - BSA Free

This product is for research use only and is not approved for use in humans or in clinical diagnosis. Primary Antibodies are guaranteed for 1 year from date of receipt.

Loading...
Loading...
Loading...
Loading...