Skip to main content

Annexin A7 Antibody (JE65-60)

Novus Biologicals, part of Bio-Techne | Catalog # NBP3-32038

Recombinant Monoclonal Antibody
Novus Biologicals, part of Bio-Techne
Catalog #
Availability
Size / Price
Qty
Loading...
NBP3-32038

Key Product Details

Species Reactivity

Human

Applications

Immunohistochemistry, Immunohistochemistry-Paraffin, Western Blot

Label

Unconjugated

Antibody Source

Recombinant Monoclonal Rabbit IgG Clone # JE65-60 expressed in HEK293

Concentration

1 mg/ml

Product Specifications

Immunogen

Recombinant protein within human Annexin A7 aa 1-200/488. (Uniprot: P20073)

Localization

Endoplasmic reticulum membrane, extracellular exosome, nucleus, collagen-containing extracellular matrix, cytoplasm, membrane.

Clonality

Monoclonal

Host

Rabbit

Isotype

IgG

Theoretical MW

53 kDa.
Disclaimer note: The observed molecular weight of the protein may vary from the listed predicted molecular weight due to post translational modifications, post translation cleavages, relative charges, and other experimental factors.

Description

Novus Biologicals Rabbit Annexin A7 Antibody (JE65-60) (NBP3-32038) is a recombinant monoclonal antibody validated for use in IHC and WB. All Novus Biologicals antibodies are covered by our 100% guarantee.

Scientific Data Images for Annexin A7 Antibody (JE65-60)

Annexin A7 Antibody (JE65-60)

Western Blot: Annexin A7 Antibody (JE65-60) [NBP3-32038]

Western Blot: Annexin A7 Antibody (JE65-60) [NBP3-32038] - Western blot analysis of Annexin A7 on different lysates with Rabbit anti-Annexin A7 antibody (NBP3-32038) at 1/500 dilution.

Lane 1: 293T cell lysate
Lane 2: A431 cell lysate
Lane 1: Hela cell lysate
Lane 2: HepG2 cell lysate


Lysates/proteins at 10 ug/Lane.

Predicted band size: 53 kDa
Observed band size: 53 kDa

Exposure time: 1 minute;

10% SDS-PAGE gel.

Proteins were transferred to a PVDF membrane and blocked with 5% NFDM/TBST for 1 hour at room temperature. The primary antibody (NBP3-32038) at 1/500 dilution was used in 5% NFDM/TBST at room temperature for 2 hours. Goat Anti-Rabbit IgG - HRP Secondary Antibody at 1:300,000 dilution was used for 1 hour at room temperature.
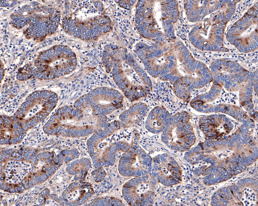
Annexin A7 Antibody (JE65-60)

Immunohistochemistry: Annexin A7 Antibody (JE65-60) [NBP3-32038]

Immunohistochemistry: Annexin A7 Antibody (JE65-60) [NBP3-32038] - Immunohistochemical analysis of paraffin-embedded human colon carcinoma tissue with Rabbit anti-Annexin A7 antibody (NBP3-32038) at 1/100 dilution.

The section was pre-treated using heat mediated antigen retrieval with Tris-EDTA buffer (pH 9.0) for 20 minutes. The tissues were blocked in 1% BSA for 20 minutes at room temperature, washed with ddH2O and PBS, and then probed with the primary antibody (NBP3-32038) at 1/100 dilution for 1 hour at room temperature. The detection was performed using an HRP conjugated compact polymer system. DAB was used as the chromogen. Tissues were counterstained with hematoxylin and mounted with DPX.

Applications for Annexin A7 Antibody (JE65-60)

Application
Recommended Usage

Immunohistochemistry-Paraffin

1:100-1:400

Western Blot

1:500

Formulation, Preparation, and Storage

Purification

Protein A purified

Formulation

1*TBS (pH7.4), 0.05% BSA and 40% Glycerol

Preservative

0.05% Sodium Azide

Concentration

1 mg/ml

Shipping

The product is shipped with polar packs. Upon receipt, store it immediately at the temperature recommended below.

Stability & Storage

Store at 4C short term. Aliquot and store at -20C long term. Avoid freeze-thaw cycles.

Background: Annexin A7

Annexins are a multigene family of Ca++-regulated phospholipid-binding proteins. They serve as membrane-membrane, or membrane-cytoskeleton linkers, and regulate the formation of lipid domains in the plasma membrane. The name annexin derives from the fact that initial studies suggested that acidic membrane phospholipids and Ca++ annexed, or recruited, special cytosolic proteins into a membrane-interacting ternary complex. Annexins possess a series of unique 70 amino acid annexin-repeat modules that form a curved disk and allow for the creation of an intercessory complex between plasma membrane and cytofilaments.

Alternate Names

ANX7, ANXA7, Synexin

Gene Symbol

ANXA7

Additional Annexin A7 Products

Product Documents for Annexin A7 Antibody (JE65-60)

Certificate of Analysis

To download a Certificate of Analysis, please enter a lot number in the search box below.

Product Specific Notices for Annexin A7 Antibody (JE65-60)

This product is for research use only and is not approved for use in humans or in clinical diagnosis. Primary Antibodies are guaranteed for 1 year from date of receipt.

Loading...
Loading...
Loading...
Loading...