Skip to main content

Angiopoietin-like Protein 3/ANGPTL3 Antibody - BSA Free

Novus Biologicals, part of Bio-Techne | Catalog # NBP1-89087

Novus Biologicals, part of Bio-Techne
Catalog #
Availability
Size / Price
Qty
Loading...
NBP1-89087
NBP1-89087-25ul

Key Product Details

Species Reactivity

Validated:

Human

Predicted:

Mouse (91%), Rat (90%). Backed by our 100% Guarantee.

Applications

Immunohistochemistry, Immunohistochemistry-Paraffin, Western Blot

Label

Unconjugated

Antibody Source

Polyclonal Rabbit IgG

Format

BSA Free

Concentration

Concentrations vary lot to lot. See vial label for concentration. If unlisted please contact technical services.

Product Specifications

Immunogen

This antibody was developed against Recombinant Protein corresponding to amino acids: QDNSSFDSLSPEPKSRFAMLDDVKILANGLLQLGHGLKDFVHKTKGQINDIFQKLNIFDQSFYDLSLQTSEIKEEEKELRRT

Clonality

Polyclonal

Host

Rabbit

Isotype

IgG

Description

Novus Biologicals Rabbit Angiopoietin-like Protein 3/ANGPTL3 Antibody - BSA Free (NBP1-89087) is a polyclonal antibody validated for use in IHC and WB. All Novus Biologicals antibodies are covered by our 100% guarantee.

Scientific Data Images for Angiopoietin-like Protein 3/ANGPTL3 Antibody - BSA Free

Western Blot: Angiopoietin-like Protein 3/ANGPTL3 Antibody [NBP1-89087]

Western Blot: Angiopoietin-like Protein 3/ANGPTL3 Antibody [NBP1-89087]

Western Blot: Angiopoietin-like Protein 3/ANGPTL3 Antibody [NBP1-89087] - Lane 1: Marker [kDa] 250, 130, 95, 72, 55, 36, 28, 17, 10. Lane 2: Human cell line RT-4
Immunohistochemistry-Paraffin: Angiopoietin-like Protein 3/ANGPTL3 Antibody [NBP1-89087]

Immunohistochemistry-Paraffin: Angiopoietin-like Protein 3/ANGPTL3 Antibody [NBP1-89087]

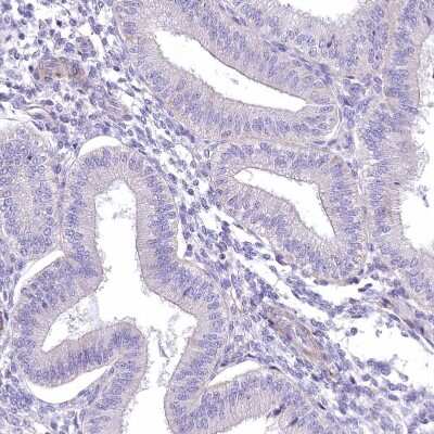
Immunohistochemistry-Paraffin: Angiopoietin-like Protein 3/ANGPTL3 Antibody [NBP1-89087] - Staining of human endometrium shows no positivity in glandular cells as expected.
Immunohistochemistry-Paraffin: Angiopoietin-like Protein 3/ANGPTL3 Antibody [NBP1-89087]

Immunohistochemistry-Paraffin: Angiopoietin-like Protein 3/ANGPTL3 Antibody [NBP1-89087]

Immunohistochemistry-Paraffin: Angiopoietin-like Protein 3/ANGPTL3 Antibody [NBP1-89087] - Staining of human liver shows strong granular cytoplasmic positivity in hepatocytes.

Applications for Angiopoietin-like Protein 3/ANGPTL3 Antibody - BSA Free

Application
Recommended Usage

Immunohistochemistry

1:50 - 1:200

Immunohistochemistry-Paraffin

1:50 - 1:200

Western Blot

0.04-0.4 ug/ml
Application Notes
For IHC-Paraffin, HIER pH 6 retrieval is recommended.

Formulation, Preparation, and Storage

Purification

Immunogen affinity purified

Formulation

PBS (pH 7.2) and 40% Glycerol

Format

BSA Free

Preservative

0.02% Sodium Azide

Concentration

Concentrations vary lot to lot. See vial label for concentration. If unlisted please contact technical services.

Shipping

The product is shipped with polar packs. Upon receipt, store it immediately at the temperature recommended below.

Stability & Storage

Store at 4C short term. Aliquot and store at -20C long term. Avoid freeze-thaw cycles.

Background: Angiopoietin-like Protein 3/ANGPTL3

ANGPTL3 is a 460 amino acid protein that is found most commonly in the liver, but has also been shown to reside in kidney samples, and contains three domains consisting of a signal peptide, N-terminal coiled-coil and C-terminal Fibrinogen (FBN) like domain. This protein is involved with the lipid metabolism disease pathways in relation to low levels of LDL (low density lipoproteins), HDL (High density lipoproteins), and triglycerides in plasma. This protein plays a role in angiogenesis and has been shown to interact with ITGAV, ITGB3, and ITGA5, and work is being done to study the protein and the related hypobetalipoproteinemia and atherosclerosis involvement.

Alternate Names

AGNPT5, Ang-5, Angiopoietin-5, ANGPTL3

Entrez Gene IDs

27329 (Human)

Gene Symbol

ANGPTL3

UniProt

Additional Angiopoietin-like Protein 3/ANGPTL3 Products

Product Documents for Angiopoietin-like Protein 3/ANGPTL3 Antibody - BSA Free

Certificate of Analysis

To download a Certificate of Analysis, please enter a lot number in the search box below.

Product Specific Notices for Angiopoietin-like Protein 3/ANGPTL3 Antibody - BSA Free

This product is for research use only and is not approved for use in humans or in clinical diagnosis. Primary Antibodies are guaranteed for 1 year from date of receipt.

Loading...
Loading...
Loading...
Loading...