Skip to main content

Androgen R/NR3C4 Antibody (DHTR/8698R)

Novus Biologicals, part of Bio-Techne | Catalog # NBP3-20564

Recombinant Monoclonal Antibody
Novus Biologicals, part of Bio-Techne
Catalog #
Availability
Size / Price
Qty
Loading...
NBP3-20564-100ug
NBP3-20564-20ug

Key Product Details

Species Reactivity

Human

Applications

Immunohistochemistry-Paraffin

Label

Unconjugated

Antibody Source

Recombinant Monoclonal Rabbit IgG Kappa Clone # DHTR/8698R

Concentration

0.2 mg/ml

Product Specifications

Immunogen

Synthetic peptide corresponding to residues (within aa 1-100) of human Androgen R/NR3C4.

Localization

Nucleus.

Clonality

Monoclonal

Host

Rabbit

Isotype

IgG Kappa

Description

Positive Controls: LNCap cells. Human testis, breast, prostate or prostate carcinoma.

Antibody with azide - store at 2 to 8C. Antibody without azide - store at -20 to -80C. Non-hazardous. No MSDS required.

Scientific Data Images for Androgen R/NR3C4 Antibody (DHTR/8698R)

Androgen R/NR3C4 Antibody (DHTR/8698R)

Androgen R/NR3C4 Antibody (DHTR/8698R)

Formalin-fixed, paraffin-embedded human breast carcinoma stained with Androgen R/NR3C4 antibody (DHTR/8698R). HIER: Tris/EDTA, pH9.0, 95C/45min. SecondaryAb: HRP-Poly:30min. DAB:5min.
Androgen R/NR3C4 Antibody (DHTR/8698R)

Androgen R/NR3C4 Antibody (DHTR/8698R)

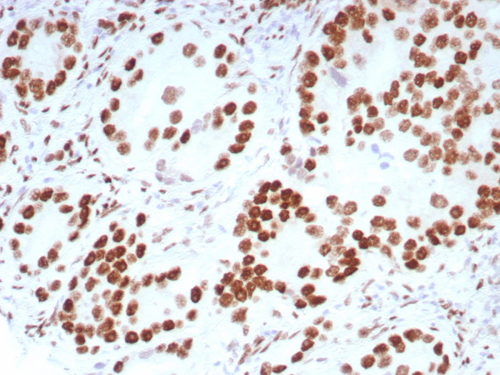
Formalin-fixed, paraffin-embedded human prostate carcinoma stained with Androgen R/NR3C4 antibody (DHTR/8698R). HIER: Tris/EDTA, pH9.0, 95C/45min. SecondaryAb: HRP-Poly:30min. DAB:5min.

Applications for Androgen R/NR3C4 Antibody (DHTR/8698R)

Application
Recommended Usage

Immunohistochemistry-Paraffin

1-2 ug/ml
Application Notes
Immunohistochemistry (Formalin-fixed): 1-2ug/ml for 30 minutes. at RT. Staining of formalin-fixed tissues requires heating tissue sections in 10mM Tris with 1mM EDTA, pH 9.0, for 45 min at 95C followed by cooling at RT for 20 minutes.

Optimal dilution for a specific application should be determined.

Formulation, Preparation, and Storage

Purification

Protein A or G purified

Formulation

1mM PBS with 0.05% BSA

Preservative

0.05% Sodium Azide

Concentration

0.2 mg/ml

Shipping

The product is shipped with polar packs. Upon receipt, store it immediately at the temperature recommended below.

Stability & Storage

Store at 4C. Do not freeze.

Background: Androgen R/NR3C4

Androgens have a broad range of effects on the appearance and maintenance of male secondary sexual characteristics. Like other members of the steroid superfamily, the androgen receptor (AR) consists of an amino terminal modulating domain, a central DNA binding domain, a hinge region and a carboxy terminal ligand binding domain. The androgen receptor (AR) is a 110 kDa androgen-dependent transcription factor that is a member of the steroid/nuclear receptor gene superfamily. The AR signaling pathway plays a key role in development and function of male reproductive organs, including the prostate and epididymis. AR also plays a role in nonreproductive organs, such as muscle, hair follicles, and brain. Abnormalities in the AR signaling pathway have been linked to a number of diseases, including prostate cancer, Kennedy's disease and male infertility. The PI3K/Akt signaling pathway plays an important role in regulating AR activity through phosphorylation of AR at Ser213/210 and Ser791/790. Growth factors or cytokines may induce phosphorylation of AR through the PI3K/Akt pathway. Activation of the PI3K/AKt pathway is thought to have a survival role in prostate cancer by protecting cells from apoptosis.

Long Name

Androgen Receptor

Alternate Names

AIS, AndrogenR, AR, DHTR, NR3C4, SBMA, SMAX1

Gene Symbol

AR

Additional Androgen R/NR3C4 Products

Product Documents for Androgen R/NR3C4 Antibody (DHTR/8698R)

Certificate of Analysis

To download a Certificate of Analysis, please enter a lot number in the search box below.

Product Specific Notices for Androgen R/NR3C4 Antibody (DHTR/8698R)

This product is for research use only and is not approved for use in humans or in clinical diagnosis. Primary Antibodies are guaranteed for 1 year from date of receipt.

Loading...
Loading...
Loading...
Loading...