Skip to main content

Aminoacylase/ACY1 Antibody (OTI1D4) - Azide and BSA Free

Novus Biologicals, part of Bio-Techne | Catalog # NBP2-70080

Novus Biologicals, part of Bio-Techne

Key Product Details

Species Reactivity

Human, Mouse, Rat

Applications

Immunohistochemistry, Immunohistochemistry-Paraffin, Western Blot, Flow Cytometry, CyTOF-ready

Label

Unconjugated

Antibody Source

Monoclonal Mouse IgG1 Clone # OTI1D4

Format

Azide and BSA Free

Concentration

LYOPH mg/ml

Product Specifications

Immunogen

Full length human recombinant protein of human ACY1(NP_000657) produced in HEK293 cell.

Reactivity Notes

Please note that this antibody is reactive to Mouse and derived from the same host, Mouse. Mouse-On-Mouse blocking reagent may be needed for IHC and ICC experiments to reduce high background signal. You can find these reagents under catalog numbers PK-2200-NB and MP-2400-NB. Please contact Technical Support if you have any questions.

Clonality

Monoclonal

Host

Mouse

Isotype

IgG1

Theoretical MW

45.7 kDa.
Disclaimer note: The observed molecular weight of the protein may vary from the listed predicted molecular weight due to post translational modifications, post translation cleavages, relative charges, and other experimental factors.

Description

Novus Biologicals Mouse Aminoacylase/ACY1 Antibody (OTI1D4) - Azide and BSA Free (NBP2-00970) is a monoclonal antibody validated for use in IHC, WB and Flow. All Novus Biologicals antibodies are covered by our 100% guarantee.

Scientific Data Images for Aminoacylase/ACY1 Antibody (OTI1D4) - Azide and BSA Free

Western Blot: Aminoacylase/ACY1 Antibody (OTI1D4)Azide and BSA Free [NBP2-70080]

Western Blot: Aminoacylase/ACY1 Antibody (OTI1D4)Azide and BSA Free [NBP2-70080]

Western Blot: Aminoacylase/ACY1 Antibody (OTI1D4) - Azide and BSA Free [NBP2-70080] - HEK293T cells were transfected with the pCMV6-ENTRY control (Left lane) or pCMV6-ENTRY Aminoacylase 1 (Right lane) cDNA for 48 hrs and lysed. Equivalent amounts of cell lysates (5 ug per lane) were separated by SDS-PAGE and immunoblotted with anti-Aminoac
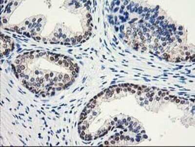
Immunohistochemistry: Aminoacylase/ACY1 Antibody (OTI1D4) - Azide and BSA Free [NBP2-70080]

Immunohistochemistry: Aminoacylase/ACY1 Antibody (OTI1D4) - Azide and BSA Free [NBP2-70080]

Immunohistochemistry: Aminoacylase/ACY1 Antibody (OTI1D4) - Azide and BSA Free [NBP2-70080] - Staining of paraffin-embedded Carcinoma of Human prostate tissue using anti-Aminoacylase 1 mouse monoclonal antibody.
Flow Cytometry: Aminoacylase/ACY1 Antibody (OTI1D4) - Azide and BSA Free [NBP2-70080]

Flow Cytometry: Aminoacylase/ACY1 Antibody (OTI1D4) - Azide and BSA Free [NBP2-70080]

Flow Cytometry: Aminoacylase/ACY1 Antibody (OTI1D4) - Azide and BSA Free [NBP2-70080] - HEK293T cells transfected with either overexpression plasmid (Red) or empty vector control plasmid (Blue) were immunostaining by anti-Aminoacylase 1 antibody, and then analyzed by flow cytometry.

Applications for Aminoacylase/ACY1 Antibody (OTI1D4) - Azide and BSA Free

Application
Recommended Usage

Flow Cytometry

1:100

Immunohistochemistry

1:150

Western Blot

1:500-2000

Formulation, Preparation, and Storage

Purification

Immunogen affinity purified

Reconstitution

we recommend adding 100uL distilled water to a final antibody concentration of about 1 mg/mL. To use this carrier-free antibody for conjugation experiment, we strongly recommend performing another round of desalting process.

Formulation

Lyophilized from PBS (pH 7.3) with 8% Trehalose

Format

Azide and BSA Free

Preservative

No Preservative

Concentration

LYOPH mg/ml

Shipping

The product is shipped with polar packs. Upon receipt, store it immediately at the temperature recommended below.

Stability & Storage

Store at -20C. Avoid freeze-thaw cycles.

Background: Aminoacylase/ACY1

Aminoacylase-1 is a cytosolic, homodimeric, zinc-binding enzyme that catalyzes the hydrolysis of acylated L-amino acids to L-amino acids and acyl group, and has been postulated to function in the catabolism and salvage of acylated amino acids. ACY1 has been assigned to chromosome 3p21.1, a region reduced to homozygosity in small-cell lung cancer (SCLC), and its expression has been reported to be reduced or undetectable in SCLC cell lines and tumors. The amino acid sequence of human aminoacylase-1 is highly homologous to the porcine counterpart, and ACY1 is the first member of a new family of zinc-binding enzymes.

Alternate Names

ACY1

Gene Symbol

ACY1

Additional Aminoacylase/ACY1 Products

Product Documents for Aminoacylase/ACY1 Antibody (OTI1D4) - Azide and BSA Free

Certificate of Analysis

To download a Certificate of Analysis, please enter a lot number in the search box below.

Product Specific Notices for Aminoacylase/ACY1 Antibody (OTI1D4) - Azide and BSA Free

This product is for research use only and is not approved for use in humans or in clinical diagnosis. Primary Antibodies are guaranteed for 1 year from date of receipt.

Loading...
Loading...
Loading...
Loading...
Loading...
Loading...