Skip to main content

alpha Tubulin Antibody - BSA Free

Novus Biologicals, part of Bio-Techne | Catalog # NBP2-54687

Novus Biologicals, part of Bio-Techne
Catalog #
Availability
Size / Price
Qty
Loading...
NBP2-54687
NBP2-54687-25ul

Key Product Details

Validated by

Independent Antibodies

Species Reactivity

Human, Mouse, Rat

Applications

Immunohistochemistry, Immunohistochemistry-Paraffin, Western Blot, Immunocytochemistry/ Immunofluorescence

Label

Unconjugated

Antibody Source

Polyclonal Rabbit IgG

Format

BSA Free

Concentration

Concentrations vary lot to lot. See vial label for concentration. If unlisted please contact technical services.

Product Specifications

Immunogen

This alpha Tubulin Antibody was developed against a recombinant protein corresponding to amino acids: LEHGIQPDGQMPSDKTIGGGDDSFNTFF

Clonality

Polyclonal

Host

Rabbit

Isotype

IgG

Theoretical MW

50 kDa.
Disclaimer note: The observed molecular weight of the protein may vary from the listed predicted molecular weight due to post translational modifications, post translation cleavages, relative charges, and other experimental factors.

Description

Novus Biologicals Rabbit alpha Tubulin Antibody - BSA Free (NBP2-54687) is a polyclonal antibody validated for use in IHC, WB and ICC/IF. All Novus Biologicals antibodies are covered by our 100% guarantee.

Scientific Data Images for alpha Tubulin Antibody - BSA Free

Western Blot: alpha Tubulin Antibody [NBP2-54687]

Western Blot: alpha Tubulin Antibody [NBP2-54687]

Western Blot: alpha Tubulin Antibody [NBP2-54687] - Analysis NBP2-54687 (A) shows similar pattern to independent antibody NBP2-54708 (B). Alpha tubulin molecular weight: 50 kDa.
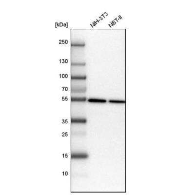
Western Blot: alpha Tubulin Antibody [NBP2-54687]

Western Blot: alpha Tubulin Antibody [NBP2-54687]

Western Blot: alpha Tubulin Antibody [NBP2-54687] - Analysis in mouse cell line NIH-3T3 and rat cell line NBT-II.
Immunocytochemistry/ Immunofluorescence: alpha Tubulin Antibody [NBP2-54687]

Immunocytochemistry/ Immunofluorescence: alpha Tubulin Antibody [NBP2-54687]

Immunocytochemistry/Immunofluorescence: alpha Tubulin Antibody [NBP2-54687] - Staining of human cell line U-251 MG shows localization to microtubules. Antibody staining is shown in green.

Applications for alpha Tubulin Antibody - BSA Free

Application
Recommended Usage

Immunocytochemistry/ Immunofluorescence

0.25-2 ug/ml

Immunohistochemistry

1:500 - 1:1000

Immunohistochemistry-Paraffin

1:500 - 1:1000

Western Blot

0.04-0.4 ug/ml
Application Notes
For IHC-Paraffin, HIER pH 6 retrieval is recommended. ICC/IF, Fixation Permeabilization: Use PFA/Triton X-100.

Formulation, Preparation, and Storage

Purification

Immunogen affinity purified

Formulation

PBS (pH 7.2) and 40% Glycerol

Format

BSA Free

Preservative

0.02% Sodium Azide

Concentration

Concentrations vary lot to lot. See vial label for concentration. If unlisted please contact technical services.

Shipping

The product is shipped with polar packs. Upon receipt, store it immediately at the temperature recommended below.

Stability & Storage

Store at 4C short term. Aliquot and store at -20C long term. Avoid freeze-thaw cycles.

Background: alpha Tubulin

Tubulin is the major building block of microtubules. Microtubules function as structural and mobile elements in mitosis, intracellular transport, flagellar movement and in the cytoskeleton. The tubulin superfamily is composed of six distinct families. Genes from the alpha, beta and gamma tubulin families are found in all eukaryotes. Microtubules of the eukaryotic cytoskeleton perform essential and diverse functions and are composed of a heterodimer of alpha and beta tubulins. Alpha and beta tubulin dimers are assembled to 13 protofilaments that form a microtubule of 22 nm diameter with a theoretical molecular weight of 50 kDa.

Tyrosine ligase adds a C-terminal tyrosine to monomeric alpha tubulin. Assembled microtubules can again be detyrosinated by a cytoskeleton associated carboxypeptidase. Detyrosinated alpha tubulin is referred to as Glu-tubulin. Another post-translational modification of detyrosinated alpha tubulin is C-terminal polyglutamylation which is characteristic for microtubules in neuronal cells and the mitotic spindle.

Like GAPDH and beta-actin, alpha/beta tubulin is often used as a loading control in immunoblot applications (1). Alpha/beta tubulin is also good for counterstaining microtubules in immunofluorescence (2).

References

1. Hannen, R., Selmansberger, M., Hauswald, M., Pagenstecher, A., Nist, A., Stiewe, T., . . . Bartsch, J. W. (2019). Comparative Transcriptomic Analysis of Temozolomide Resistant Primary GBM Stem-Like Cells and Recurrent GBM Identifies Up-Regulation of the Carbonic Anhydrase CA2 Gene as Resistance Factor. Cancers (Basel), 11(7). doi:10.3390/cancers11070921

2. Nel, M., Joubert, A. M., Dohle, W., Potter, B. V., & Theron, A. E. (2018). Modes of cell death induced by tetrahydroisoquinoline-based analogs in MDA-MB-231 breast and A549 lung cancer cell lines. Drug Des Devel Ther, 12, 1881-1904. doi:10.2147/dddt.S152718

Long Name

Tubulin Alpha 1a

Alternate Names

Alpha-Tubulin 3, B-ALPHA-1, LIS3, TUBA1A, TUBA3, Tubulin B-Alpha-1

Gene Symbol

TUBA1A

Additional alpha Tubulin Products

Product Documents for alpha Tubulin Antibody - BSA Free

Certificate of Analysis

To download a Certificate of Analysis, please enter a lot number in the search box below.

Product Specific Notices for alpha Tubulin Antibody - BSA Free

This product is for research use only and is not approved for use in humans or in clinical diagnosis. Primary Antibodies are guaranteed for 1 year from date of receipt.

Loading...
Loading...
Loading...
Loading...
Loading...