Skip to main content

alpha-Fetoprotein/AFP Antibody (CL9766) - BSA Free

Novus Biologicals, part of Bio-Techne | Catalog # NBP3-21173

Novus Biologicals, part of Bio-Techne
Catalog #
Availability
Size / Price
Qty
Loading...
NBP3-21173-25ul
NBP3-21173-100ul

Key Product Details

Species Reactivity

Human

Applications

Immunohistochemistry, Immunohistochemistry-Paraffin, Western Blot

Label

Unconjugated

Antibody Source

Monoclonal Mouse IgG2A Clone # CL9766

Format

BSA Free

Concentration

Concentrations vary lot to lot. See vial label for concentration. If unlisted please contact technical services.

Product Specifications

Immunogen

This antibody was developed using a recombinant protein derived from P02771, with the exact immunogen sequence remaining proprietary.

Clonality

Monoclonal

Host

Mouse

Isotype

IgG2A

Description

Novus Biologicals Mouse alpha-Fetoprotein/AFP Antibody (CL9766) - BSA Free (NBP3-21173) is a monoclonal antibody validated for use in IHC and WB. All Novus Biologicals antibodies are covered by our 100% guarantee.

Scientific Data Images for alpha-Fetoprotein/AFP Antibody (CL9766) - BSA Free

Immunohistochemistry-Paraffin: alpha-Fetoprotein/AFP Antibody [NBP3-21173] -

Immunohistochemistry-Paraffin: alpha-Fetoprotein/AFP Antibody [NBP3-21173] -

Staining of human placenta shows moderate positivity in secretion.
Immunohistochemistry-Paraffin: alpha-Fetoprotein/AFP Antibody [NBP3-21173] -

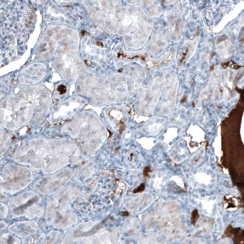
Immunohistochemistry-Paraffin: alpha-Fetoprotein/AFP Antibody [NBP3-21173] -

Staining of human kidney shows moderate positivity in secretion.
Immunohistochemistry-Paraffin: alpha-Fetoprotein/AFP Antibody [NBP3-21173] -

Immunohistochemistry-Paraffin: alpha-Fetoprotein/AFP Antibody [NBP3-21173] -

Staining of human skeletal muscle shows no positivity as expected.

Applications for alpha-Fetoprotein/AFP Antibody (CL9766) - BSA Free

Application
Recommended Usage

Immunohistochemistry

1:200 - 1:500

Immunohistochemistry-Paraffin

1:200 - 1:500

Western Blot

1 ug/ml
Application Notes
For IHC-Paraffin, HIER pH 6 retrieval is recommended.

Formulation, Preparation, and Storage

Purification

Protein A purified

Formulation

PBS (pH 7.2) and 40% Glycerol

Format

BSA Free

Preservative

0.02% Sodium Azide

Concentration

Concentrations vary lot to lot. See vial label for concentration. If unlisted please contact technical services.

Shipping

The product is shipped with polar packs. Upon receipt, store it immediately at the temperature recommended below.

Stability & Storage

Store at 4C short term. Aliquot and store at -20C long term. Avoid freeze-thaw cycles.

Background: alpha-Fetoprotein/AFP

Alpha 1 Fetoprotein encodes alpha-fetoprotein, a major plasma protein produced by the yolk sac and the liver during fetal life. Alpha-fetoprotein expression in adults is often associated with hepatoma or teratoma. However, hereditary persistance of alpha-fetoprotein may also be found in individuals with no obvious pathology. The protein is thought to be the fetal counterpart of serum albumin, and the alpha-fetoprotein and albumin genes are present in tandem in the same transcriptional orientation on chromosome 4. Alpha-fetoprotein is found in monomeric as well as dimeric and trimeric forms, and binds copper, nickel, fatty acids and bilirubin. The level of alpha-fetoprotein in amniotic fluid is used to measure renal loss of protein to screen for spina bifida and anencephaly.

Alternate Names

AFP, DSCAM2

Gene Symbol

AFP

Additional alpha-Fetoprotein/AFP Products

Product Documents for alpha-Fetoprotein/AFP Antibody (CL9766) - BSA Free

Certificate of Analysis

To download a Certificate of Analysis, please enter a lot number in the search box below.

Product Specific Notices for alpha-Fetoprotein/AFP Antibody (CL9766) - BSA Free

This product is for research use only and is not approved for use in humans or in clinical diagnosis. Primary Antibodies are guaranteed for 1 year from date of receipt.

Loading...
Loading...
Loading...
Loading...