Skip to main content

Alkaline Phosphatase/ALPL Antibody (10B1M5)

Novus Biologicals, part of Bio-Techne | Catalog # NBP3-15273

Recombinant Monoclonal Antibody
Novus Biologicals, part of Bio-Techne
Catalog #
Availability
Size / Price
Qty
Loading...
NBP3-15273-100ul
NBP3-15273-20ul

Key Product Details

Species Reactivity

Human, Mouse, Rat

Applications

ELISA, Immunohistochemistry, Immunohistochemistry-Paraffin, Western Blot

Label

Unconjugated

Antibody Source

Recombinant Monoclonal Rabbit IgG Clone # 10B1M5 expressed in HEK293

Concentration

Please see the vial label for concentration. If unlisted please contact technical services.

Product Specifications

Immunogen

A synthetic peptide corresponding to a sequence within amino acids 1-100 of human Alkaline Phosphatase/ALPL (P05186). MISPFLVLAIGTCLTNSLVPEKEKDPKYWRDQAQETLKYALELQKLNTNVAKNVIMFLGDGMGVSTVTAARILKGQLHHNPGEETRLEMDKFPFVALSKT

Clonality

Monoclonal

Host

Rabbit

Isotype

IgG

Theoretical MW

57 kDa.
Disclaimer note: The observed molecular weight of the protein may vary from the listed predicted molecular weight due to post translational modifications, post translation cleavages, relative charges, and other experimental factors.

Description

Novus Biologicals Rabbit Alkaline Phosphatase/ALPL Antibody (10B1M5) (NBP3-15273) is a recombinant monoclonal antibody validated for use in IHC, WB and ELISA. All Novus Biologicals antibodies are covered by our 100% guarantee.

Scientific Data Images for Alkaline Phosphatase/ALPL Antibody (10B1M5)

Alkaline Phosphatase/ALPL Antibody (10B1M5)

Immunohistochemistry: Alkaline Phosphatase/ALPL Antibody (10B1M5) [Alkaline Phosphatase/ALPL] -

Immunohistochemistry: Alkaline Phosphatase/ALPL Antibody (10B1M5) [Alkaline Phosphatase/ALPL] - Immunohistochemistry analysis of paraffin-embedded Mouse liver tissue using Alkaline Phosphatase/ALPL Rabbit mAb at a dilution of 1:1000 (40x lens). High pressure antigen retrieval performed with 0.01M Tris-EDTA Buffer (pH 9.0) prior to IHC staining.
Alkaline Phosphatase/ALPL Antibody (10B1M5)

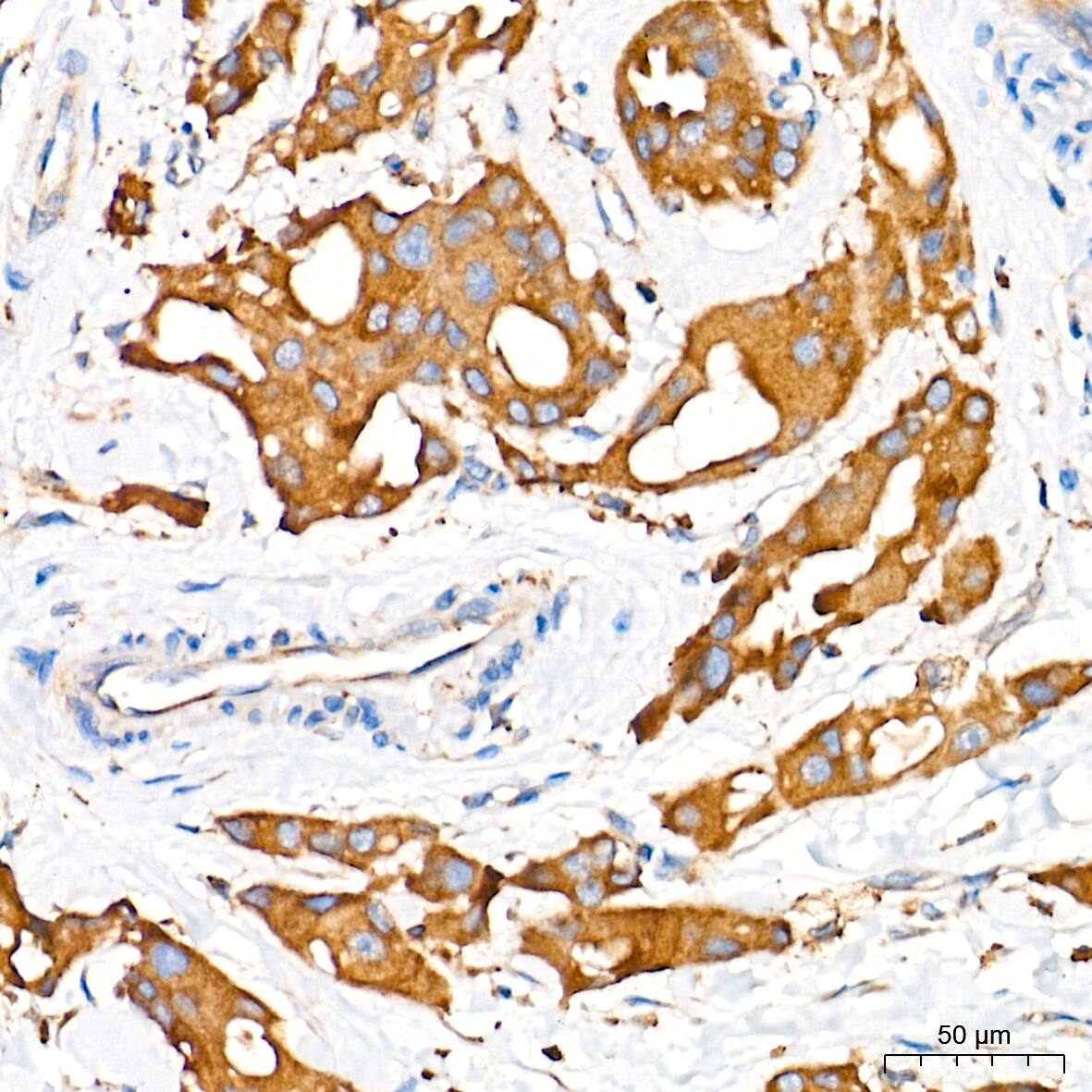
Immunohistochemistry: Alkaline Phosphatase/ALPL Antibody (10B1M5) [Alkaline Phosphatase/ALPL] -

Immunohistochemistry: Alkaline Phosphatase/ALPL Antibody (10B1M5) [Alkaline Phosphatase/ALPL] - Immunohistochemistry analysis of paraffin-embedded Human colon carcinoma tissue using Alkaline Phosphatase/ALPL Rabbit mAb at a dilution of 1:1000 (40x lens). High pressure antigen retrieval performed with 0.01M Tris-EDTA Buffer (pH 9.0) prior to IHC staining.
Alkaline Phosphatase/ALPL Antibody (10B1M5)

Immunohistochemistry: Alkaline Phosphatase/ALPL Antibody (10B1M5) [Alkaline Phosphatase/ALPL] -

Immunohistochemistry: Alkaline Phosphatase/ALPL Antibody (10B1M5) [Alkaline Phosphatase/ALPL] - Immunohistochemistry analysis of paraffin-embedded Mouse testis tissue using Alkaline Phosphatase/ALPL Rabbit mAb at a dilution of 1:1000 (40x lens). High pressure antigen retrieval performed with 0.01M Tris-EDTA Buffer (pH 9.0) prior to IHC staining.

Applications for Alkaline Phosphatase/ALPL Antibody (10B1M5)

Application
Recommended Usage

ELISA

Recommended starting concentration is 1 μg/mL. Please optimize the concentration based on your specific assay requirements.

Immunohistochemistry

1:200 - 1:2000

Immunohistochemistry-Paraffin

1:200 - 1:2000

Western Blot

1:5000 - 1:30000

Formulation, Preparation, and Storage

Purification

Affinity purified

Formulation

PBS (pH 7.3), 50% glycerol, 0.05% BSA

Preservative

0.02% Sodium Azide

Concentration

Please see the vial label for concentration. If unlisted please contact technical services.

Shipping

The product is shipped with polar packs. Upon receipt, store it immediately at the temperature recommended below.

Stability & Storage

Store at -20C. Avoid freeze-thaw cycles.

Background: Alkaline Phosphatase/ALPL

Alkaline phosphatase (ALP) removes phosphate groups from the 5' end of DNA and RNA, and from proteins, at high pH. Most mammals have 4 different isozymes: placental, placental like, intestinal and non tissue specific (found in liver, kidney and bone). Tissues with particularly high concentrations of ALP include the liver, bile ducts, placenta, and bone. Damaged or diseased tissue releases enzymes into the blood, so serum ALP measurements can be abnormal in many conditions, including bone disease and liver disease.

Long Name

Alkaline Phosphatase Liver

Alternate Names

Akp2, AP-TNAP, HOPS, TNAP, TNSALP

Gene Symbol

ALPL

Additional Alkaline Phosphatase/ALPL Products

Product Documents for Alkaline Phosphatase/ALPL Antibody (10B1M5)

Certificate of Analysis

To download a Certificate of Analysis, please enter a lot number in the search box below.

Product Specific Notices for Alkaline Phosphatase/ALPL Antibody (10B1M5)

This product is for research use only and is not approved for use in humans or in clinical diagnosis. Primary Antibodies are guaranteed for 1 year from date of receipt.

Loading...
Loading...
Loading...
Loading...