Skip to main content

ALDH2 Antibody (7-D8-R)

Novus Biologicals, part of Bio-Techne | Catalog # NBP3-32022

Recombinant Monoclonal Antibody
Novus Biologicals, part of Bio-Techne
Catalog #
Availability
Size / Price
Qty
Loading...
NBP3-32022

Key Product Details

Species Reactivity

Human, Rat

Applications

Immunohistochemistry, Immunohistochemistry-Paraffin, Western Blot, Immunocytochemistry/ Immunofluorescence

Label

Unconjugated

Antibody Source

Recombinant Monoclonal Mouse IgG1 Clone # 7-D8-R expressed in HEK293

Concentration

1 mg/ml

Product Specifications

Immunogen

Synthetic peptide within Human ALDH2 aa 1-50 / 517. (Uniprot: P05091)

Localization

Mitochondrion matrix.

Clonality

Monoclonal

Host

Mouse

Isotype

IgG1

Theoretical MW

56 kDa.
Disclaimer note: The observed molecular weight of the protein may vary from the listed predicted molecular weight due to post translational modifications, post translation cleavages, relative charges, and other experimental factors.

Description

Novus Biologicals Mouse ALDH2 Antibody (7-D8-R) (NBP3-32022) is a recombinant monoclonal antibody validated for use in IHC, WB and ICC/IF. All Novus Biologicals antibodies are covered by our 100% guarantee.

Scientific Data Images for ALDH2 Antibody (7-D8-R)

ALDH2 Antibody (7-D8-R)

Western Blot: ALDH2 Antibody (7-D8-R) [NBP3-32022]

Western Blot: ALDH2 Antibody (7-D8-R) [NBP3-32022] - Western blot analysis of ALDH2 on different lysates with Mouse anti-ALDH2 antibody (NBP3-32022) at 1/1,000 dilution.

Lane 1: 293T cell lysate (20 ug/Lane)
Lane 2: HepG2 cell lysate (20 ug/Lane)
Lane 3: K-562 cell lysate (20 ug/Lane)
Lane 4: A549 cell lysate (20 ug/Lane)
Lane 5: THP-1 cell lysate (20 ug/Lane)
Lane 6: Human liver tissue lysate (40 ug/Lane)
Lane 7: Rat liver tissue lysate (40 ug/Lane)
Lane 8: Rat testis tissue lysate (40 ug/Lane)

Predicted band size: 56 kDa
Observed band size: 54 kDa

Exposure time: 1 minute 30 seconds;

4-20% SDS-PAGE gel.

Proteins were transferred to a PVDF membrane and blocked with 5% NFDM/TBST for 1 hour at room temperature. The primary antibody (NBP3-32022) at 1/1,000 dilution was used in 5% NFDM/TBST at 4℃ overnight. Goat Anti-Mouse IgG - HRP Secondary Antibody at 1/50,000 dilution was used for 1 hour at room temperature.
ALDH2 Antibody (7-D8-R)

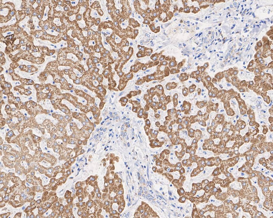
Immunohistochemistry: ALDH2 Antibody (7-D8-R) [NBP3-32022]

Immunohistochemistry: ALDH2 Antibody (7-D8-R) [NBP3-32022] - Immunohistochemical analysis of paraffin-embedded human liver tissue with Mouse anti-ALDH2 antibody (NBP3-32022) at 1/2,000 dilution.

The section was pre-treated using heat mediated antigen retrieval with Tris-EDTA buffer (pH 9.0) for 20 minutes. The tissues were blocked in 1% BSA for 20 minutes at room temperature, washed with ddH2O and PBS, and then probed with the primary antibody (NBP3-32022) at 1/2,000 dilution for 1 hour at room temperature. The detection was performed using an HRP conjugated compact polymer system. DAB was used as the chromogen. Tissues were counterstained with hematoxylin and mounted with DPX.
ALDH2 Antibody (7-D8-R)

Immunocytochemistry/ Immunofluorescence: ALDH2 Antibody (7-D8-R) [NBP3-32022]

Immunocytochemistry/ Immunofluorescence: ALDH2 Antibody (7-D8-R) [NBP3-32022] - Immunocytochemistry analysis of HepG2 cells labeling ALDH2 with Mouse anti-ALDH2 antibody (NBP3-32022) at 1/100 dilution.

Cells were fixed in 4% paraformaldehyde for 20 minutes at room temperature, permeabilized with 0.1% Triton X-100 in PBS for 5 minutes at room temperature, then blocked with 1% BSA in 10% negative goat serum for 1 hour at room temperature. Cells were then incubated with Mouse anti-ALDH2 antibody (NBP3-32022) at 1/100 dilution in 1% BSA in PBST overnight at 4 ℃. Goat Anti-Mouse IgG H&L (iFluor™ 488) was used as the secondary antibody at 1/1,000 dilution. PBS instead of the primary antibody was used as the secondary antibody only control. Nuclear DNA was labelled in blue with DAPI.

beta Tubulin (red) was stained at 1/100 dilution overnight at +4℃. Goat Anti-Rabbit IgG H&L (iFluor™ 594) were used as the secondary antibody at 1/1,000 dilution.

Applications for ALDH2 Antibody (7-D8-R)

Application
Recommended Usage

Immunocytochemistry/ Immunofluorescence

1:100

Immunohistochemistry-Paraffin

1:2000

Western Blot

1:1000

Formulation, Preparation, and Storage

Purification

Protein A purified

Formulation

PBS (pH7.4), 0.1% BSA and 40% Glycerol

Preservative

0.05% Sodium Azide

Concentration

1 mg/ml

Shipping

The product is shipped with polar packs. Upon receipt, store it immediately at the temperature recommended below.

Stability & Storage

Store at 4C short term. Aliquot and store at -20C long term. Avoid freeze-thaw cycles.

Background: ALDH2

ALDH2 belongs to the aldehyde dehydrogenase family of proteins. Aldehyde dehydrogenase is the second enzyme of the major oxidative pathway of alcohol metabolism. Two major liver isoforms of this enzyme, cytosolic and mitochondrial, can be distinguished by their electrophoretic mobilities, kinetic properties, and subcellular localizations. Most Caucasians have two major isozymes, while approximately 50% of Orientals have only the cytosolic isozyme, missing the mitochondrial isozyme. A remarkably higher frequency of acute alcohol intoxication among Orientals than among Caucasians could be related to the absence of the mitochondrial isozyme. This gene encodes a mitochondrial isoform, which has a low Km for acetaldehydes, and is localized in mitochondrial matrix. [provided by RefSeq]

Long Name

Aldehyde Dehydrogenase 2 Family Member

Alternate Names

ALDHI, ALDM

Gene Symbol

ALDH2

Additional ALDH2 Products

Product Documents for ALDH2 Antibody (7-D8-R)

Certificate of Analysis

To download a Certificate of Analysis, please enter a lot number in the search box below.

Product Specific Notices for ALDH2 Antibody (7-D8-R)

This product is for research use only and is not approved for use in humans or in clinical diagnosis. Primary Antibodies are guaranteed for 1 year from date of receipt.

Loading...
Loading...
Loading...
Loading...