Skip to main content

ALDH2 Antibody (3F10) - BSA Free

Novus Biologicals, part of Bio-Techne | Catalog # NBP3-15140

Recombinant monoclonal antibody expressed in HEK293F cells
Novus Biologicals, part of Bio-Techne
Catalog #
Availability
Size / Price
Qty
Loading...
NBP3-15140

Key Product Details

Species Reactivity

Human, Mouse, Rat

Applications

ELISA, Immunohistochemistry, Western Blot

Label

Unconjugated

Antibody Source

Recombinant Monoclonal Rabbit IgG Clone # 3F10 expressed in HEK293

Format

BSA Free

Concentration

Please see the vial label for concentration. If unlisted please contact technical services.

Product Specifications

Immunogen

A synthesized peptide derived from human ALDH2. UniProt ID (P05091).

Clonality

Monoclonal

Host

Rabbit

Isotype

IgG

Description

Novus Biologicals Rabbit ALDH2 Antibody (3F10) - BSA Free (NBP3-15140) is a recombinant monoclonal antibody validated for use in IHC, WB and ELISA. All Novus Biologicals antibodies are covered by our 100% guarantee.

Scientific Data Images for ALDH2 Antibody (3F10) - BSA Free

Western Blot: ALDH2 Antibody (3F10) [NBP3-15140]

Western Blot: ALDH2 Antibody (3F10) [NBP3-15140]

Western Blot: ALDH2 Antibody (3F10) [NBP3-15140] - Positive WB detected in: Ntera-2 whole cell lysate, Mouse Liver whole cell lysate, Rat Liver cell lysate. All lanes: ALDH2 antibody at 1:1000. Secondary: Goat polyclonal to rabbit IgG at 1/50000 dilution. Predicted band size: 57, 51 KDa. Observed band size: 57 KDa.
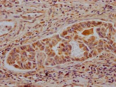
Immunohistochemistry: ALDH2 Antibody (3F10) [NBP3-15140]

Immunohistochemistry: ALDH2 Antibody (3F10) [NBP3-15140]

Immunohistochemistry: ALDH2 Antibody (3F10) [NBP3-15140] - IHC image of ALDH2 antibody diluted at 1:100 and staining in paraffin-embedded human liver cancer. After dewaxing and hydration, antigen retrieval was mediated by high pressure in a citrate buffer (pH 6.0). Section was blocked with 10% normal goat serum 30 minutes at RT. Then primary antibody (1% BSA) was incubated at 4C overnight. The primary is detected by a Goat anti-rabbit IgG polymer labeled by HRP and visualized using 0.05% DAB.

Applications for ALDH2 Antibody (3F10) - BSA Free

Application
Recommended Usage

Immunohistochemistry

1:50-1:200

Western Blot

1:500-1:5000

Formulation, Preparation, and Storage

Purification

Affinity purified

Formulation

PBS, pH 7.4, 150mM NaCl, and 50% glycerol

Format

BSA Free

Preservative

0.02% Sodium Azide

Concentration

Please see the vial label for concentration. If unlisted please contact technical services.

Shipping

The product is shipped with polar packs. Upon receipt, store it immediately at the temperature recommended below.

Stability & Storage

Store at -20 to -70C. Avoid freeze-thaw cycles.

Background: ALDH2

ALDH2 belongs to the aldehyde dehydrogenase family of proteins. Aldehyde dehydrogenase is the second enzyme of the major oxidative pathway of alcohol metabolism. Two major liver isoforms of this enzyme, cytosolic and mitochondrial, can be distinguished by their electrophoretic mobilities, kinetic properties, and subcellular localizations. Most Caucasians have two major isozymes, while approximately 50% of Orientals have only the cytosolic isozyme, missing the mitochondrial isozyme. A remarkably higher frequency of acute alcohol intoxication among Orientals than among Caucasians could be related to the absence of the mitochondrial isozyme. This gene encodes a mitochondrial isoform, which has a low Km for acetaldehydes, and is localized in mitochondrial matrix. [provided by RefSeq]

Long Name

Aldehyde Dehydrogenase 2 Family Member

Alternate Names

ALDHI, ALDM

Gene Symbol

ALDH2

Additional ALDH2 Products

Product Documents for ALDH2 Antibody (3F10) - BSA Free

Certificate of Analysis

To download a Certificate of Analysis, please enter a lot number in the search box below.

Product Specific Notices for ALDH2 Antibody (3F10) - BSA Free

This product is for research use only and is not approved for use in humans or in clinical diagnosis. Primary Antibodies are guaranteed for 1 year from date of receipt.

Loading...
Loading...
Loading...
Loading...