Skip to main content

Aldehyde Dehydrogenase 1-A1/ALDH1A1 Antibody (rALDH1A1/7285) - Azide and BSA Free

Novus Biologicals, part of Bio-Techne | Catalog # NBP3-49634

Recombinant Monoclonal Antibody
Novus Biologicals, part of Bio-Techne
Catalog #
Availability
Size / Price
Qty
Loading...
NBP3-49634

Key Product Details

Species Reactivity

Human

Applications

Immunohistochemistry, Western Blot

Label

Unconjugated

Antibody Source

Recombinant Monoclonal Mouse IgG1 kappa Clone # rALDH1A1/7285

Format

Azide and BSA Free

Concentration

Please see the vial label for concentration. If unlisted please contact technical services.

Product Specifications

Immunogen

Recombinant fragment (around aa 315-434) of human ALDH1A1 protein (exact sequence is proprietary). (Uniprot: P00352)

Localization

Axon, Cell projection, Cytoplasm, Cytosol

Clonality

Monoclonal

Host

Mouse

Isotype

IgG1 kappa

Theoretical MW

56 kDa.
Disclaimer note: The observed molecular weight of the protein may vary from the listed predicted molecular weight due to post translational modifications, post translation cleavages, relative charges, and other experimental factors.

Description

Prepared in 10mM PBS WITHOUT BSA & azide at 1.0mg/ml. Also available with 0.05% BSA & 0.05% azide.

Antibody with azide - store at 2 to 8 C. Antibody without azide - store at -20 to -80 C. Antibody is stable for 24 months. Non-hazardous.

Scientific Data Images

Aldehyde Dehydrogenase 1-A1/ALDH1A1 Antibody (rALDH1A1/7285) - Azide and BSA Free

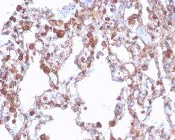
Immunohistochemistry-Paraffin: Aldehyde Dehydrogenase 1-A1/ALDH1A1 Antibody (rALDH1A1/7285) - Azide and BSA Free [NBP3-49634] -

Formalin-fixed, paraffin-embedded human lung stained with Aldehyde Dehydrogenase 1-A1/ALDH1A1 Antibody (rALDH1A1/7285) - Azide and BSA Free. Inset: PBS instead of primary antibody; secondary only negative control.
Aldehyde Dehydrogenase 1-A1/ALDH1A1 Antibody (rALDH1A1/7285) - Azide and BSA Free

Western Blot: Aldehyde Dehydrogenase 1-A1/ALDH1A1 Antibody (rALDH1A1/7285) - Azide and BSA Free [NBP3-49634] -

Western Blot Analysis of Human Brain tissue lysate using Aldehyde Dehydrogenase 1-A1/ALDH1A1 Antibody (rALDH1A1/7285) - Azide and BSA Free.
Aldehyde Dehydrogenase 1-A1/ALDH1A1 Antibody (rALDH1A1/7285) - Azide and BSA Free

Immunohistochemistry-Paraffin: Aldehyde Dehydrogenase 1-A1/ALDH1A1 Antibody (rALDH1A1/7285) - Azide and BSA Free [NBP3-49634] -

Formalin-fixed, paraffin-embedded human lung stained with Aldehyde Dehydrogenase 1-A1/ALDH1A1 Antibody (rALDH1A1/7285) - Azide and BSA Free. HIER: Tris/EDTA, pH9.0, 45min. 2 °: HRP-polymer, 30min. DAB, 5min.

Applications

Application
Recommended Usage

Immunohistochemistry

Optimal dilutions of this antibody should be experimentally determined.

Western Blot

Optimal dilutions of this antibody should be experimentally determined.

Formulation, Preparation, and Storage

Purification

Protein A or G purified

Formulation

10 mM PBS

Format

Azide and BSA Free

Preservative

No Preservative

Concentration

Please see the vial label for concentration. If unlisted please contact technical services.

Shipping

The product is shipped with polar packs. Upon receipt, store it immediately at the temperature recommended below.

Stability & Storage

Store at -20 to -80C. Avoid freeze-thaw cycles.

Background: Aldehyde Dehydrogenase 1-A1/ALDH1A1

Usual human livers contain two major ALDH isozymes, i.e., cytosolic ALDH1 and mitochondrial ALDH2(1). Human red cell aldehyde dehydrogenase (ALDH) resembles the liver cytosolic isozyme in numerous physicochemical properties. Thus, the erythrocyte enzyme, by virtue of its chemical and structural identity with the liver cytosolic enzyme, may serve as a suitable peripheral enzyme model to understand the cause and mechanism of alcohol abuse-related changes in liver cytosolic ALDH that has been found to be reduced in alcoholics (2). ALDH1A1 is known to catalyze the oxidation of retinaldehyde to retinoic acid. Overexpression of human ALDH1A1 in HEK cells led to a more than 20-fold increase in 3-deoxyglucosone dehydrogenase activity (3).

Alternate Names

ALDC, Aldehyde Dehydrogenase 1A1, ALDH-E1, ALDH1A1, PUMB1, RALDH1

Gene Symbol

ALDH1A1

Additional Aldehyde Dehydrogenase 1-A1/ALDH1A1 Products

Product Documents

Certificate of Analysis

To download a Certificate of Analysis, please enter a lot number in the search box below.

Product Specific Notices

This product is for research use only and is not approved for use in humans or in clinical diagnosis. Primary Antibodies are guaranteed for 1 year from date of receipt.

Loading...
Loading...
Loading...
Loading...