Skip to main content

AGTR-1 Antibody - BSA Free

Novus Biologicals, part of Bio-Techne | Catalog # NBP1-77078

Novus Biologicals, part of Bio-Techne

Key Product Details

Validated by

Biological Validation

Species Reactivity

Validated:

Human, Mouse, Rat, Rabbit

Cited:

Mouse, Rabbit

Predicted:

Bovine (94%), Guinea Pig (100%), Porcine (100%), Rabbit (100%), Sheep (94%). Backed by our 100% Guarantee.

Applications

Validated:

Immunohistochemistry, Immunohistochemistry-Paraffin, Western Blot, ELISA, Immunocytochemistry/ Immunofluorescence

Cited:

Immunohistochemistry-Paraffin, Western Blot, IF/IHC

Label

Unconjugated

Antibody Source

Polyclonal Rabbit IgG

Format

BSA Free

Concentration

1 mg/ml

Product Specifications

Immunogen

Antibody was raised against a 16 amino acid synthetic peptide from near the center of human AGTR1. The immunogen is located within amino acids 210 - 260 of AGTR1. Amino Acid Squence: KKAYEIQKNKPRNDDI

Reactivity Notes

Use in Rabbit reported in scientific literature (PMID:35372645).Immunogen displays the following percentage of sequence identity for non-tested species: Chicken (81%).

Clonality

Polyclonal

Host

Rabbit

Isotype

IgG

Theoretical MW

41 kDa.
Disclaimer note: The observed molecular weight of the protein may vary from the listed predicted molecular weight due to post translational modifications, post translation cleavages, relative charges, and other experimental factors.

Description

Novus Biologicals Rabbit AGTR-1 Antibody - BSA Free (NBP1-77078) is a polyclonal antibody validated for use in IHC, WB, ELISA and ICC/IF. Anti-AGTR-1 Antibody: Cited in 10 publications. All Novus Biologicals antibodies are covered by our 100% guarantee.

Scientific Data Images for AGTR-1 Antibody - BSA Free

Western Blot: AGTR-1 AntibodyBSA Free [NBP1-77078]

Western Blot: AGTR-1 AntibodyBSA Free [NBP1-77078]

AGTR-1-Antibody-Western-Blot-NBP1-77078-img0012.jpg
Western Blot: AGTR-1 AntibodyBSA Free [NBP1-77078]

Western Blot: AGTR-1 AntibodyBSA Free [NBP1-77078]

Western Blot: AGTR-1 Antibody [NBP1-77078] - Mouse kidney tissue lysate with Angiotensin II Type 1 Receptor antibody at (A) 1 and (B) 2 ug/ml.
AGTR-1 Antibody - BSA Free

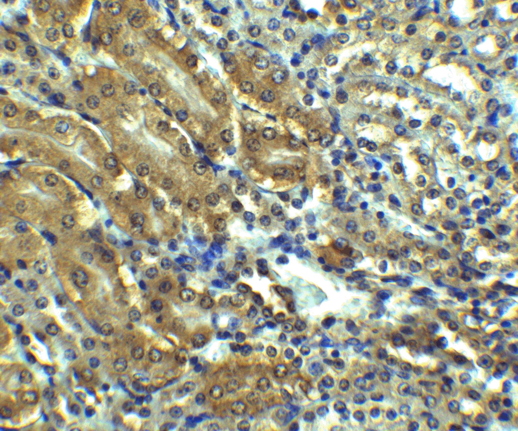
Immunohistochemistry: AGTR-1 Antibody - BSA Free [NBP1-77078] -

Immunohistochemistry: AGTR-1 Antibody - BSA Free [NBP1-77078] - Immunohistochemistry of AGTR-1 in mouse kidney tissue with AGTR-1 antibody at 2.5 ug/ml.

Applications for AGTR-1 Antibody - BSA Free

Application
Recommended Usage

Immunocytochemistry/ Immunofluorescence

20 ug/mL

Immunohistochemistry

2.5 ug/ml

Immunohistochemistry-Paraffin

2.5 ug/ml

Western Blot

1-2 ug/ml

Formulation, Preparation, and Storage

Purification

Peptide affinity purified

Formulation

PBS

Format

BSA Free

Preservative

0.02% Sodium Azide

Concentration

1 mg/ml

Shipping

The product is shipped with polar packs. Upon receipt, store it immediately at the temperature recommended below.

Stability & Storage

Store at 4C short term. Aliquot and store at -20C long term. Avoid freeze-thaw cycles.

Background: AGTR-1

Angiotensin II is a potent vasopressor hormone and a primary regulator of aldosterone secretion that acts through at least two types of receptors, AGTR1 and AGTR2. It is an important effector controlling blood pressure and volume in the cardiovascular system and plays a major role in the development of the mammalian kidney and urinary tract. AGTR1, the type 1 receptor, is thought to mediate the major cardiovascular effects of angiotensin II and may play a role in the generation of reperfusion arrhythmias following restoration of blood flow to ischemic or infarcted myocardium. AGTR1 has recently been found to regulate the differentiation of bone marrow-derived monocyte lineage progenitors from hematopoietic stem cells, indicating the diversity of the roles of AGTR1.

Long Name

Angiotensin II Receptor Type 1

Alternate Names

AG2S, AGTR1, AT1, AT1AR, AT1BR, AT1R, AT2R1

Entrez Gene IDs

185 (Human)

Gene Symbol

AGTR1

UniProt

Additional AGTR-1 Products

Product Documents for AGTR-1 Antibody - BSA Free

Certificate of Analysis

To download a Certificate of Analysis, please enter a lot number in the search box below.

Product Specific Notices for AGTR-1 Antibody - BSA Free

This product is for research use only and is not approved for use in humans or in clinical diagnosis. Primary Antibodies are guaranteed for 1 year from date of receipt.

Loading...
Loading...
Loading...
Loading...