Skip to main content

ACF Antibody - BSA Free

Novus Biologicals, part of Bio-Techne | Catalog # NBP3-42352

Novus Biologicals, part of Bio-Techne
Catalog #
Availability
Size / Price
Qty
Loading...
NBP3-42352

Key Product Details

Species Reactivity

Human, Mouse, Rat, Porcine

Applications

Immunohistochemistry, Immunohistochemistry-Paraffin, Western Blot

Label

Unconjugated

Antibody Source

Polyclonal Rabbit

Format

BSA Free

Concentration

0.75 mg/ml

Product Specifications

Immunogen

Immunogen sequence: Gly389-Arg587 (Uniprot#: Q9NQ94)

Clonality

Polyclonal

Host

Rabbit

Description

Novus Biologicals Rabbit ACF Antibody - BSA Free (NBP3-42352) is a polyclonal antibody validated for use in IHC and WB. All Novus Biologicals antibodies are covered by our 100% guarantee.

Scientific Data Images for ACF Antibody - BSA Free

ACF Antibody

Western Blot: ACF Antibody [NBP3-42352] -

Western Blot: ACF Antibody [NBP3-42352] - Sample: Recombinant ACF, Human.
ACF Antibody

Western Blot: ACF Antibody [NBP3-42352] -

Western Blot: ACF Antibody [NBP3-42352] - Sample: Lane1: Porcine Liver Tissue; Lane2: Human Hela Cells; Lane3: Human Jurkat Cells; Lane4: Human 293T Cells.
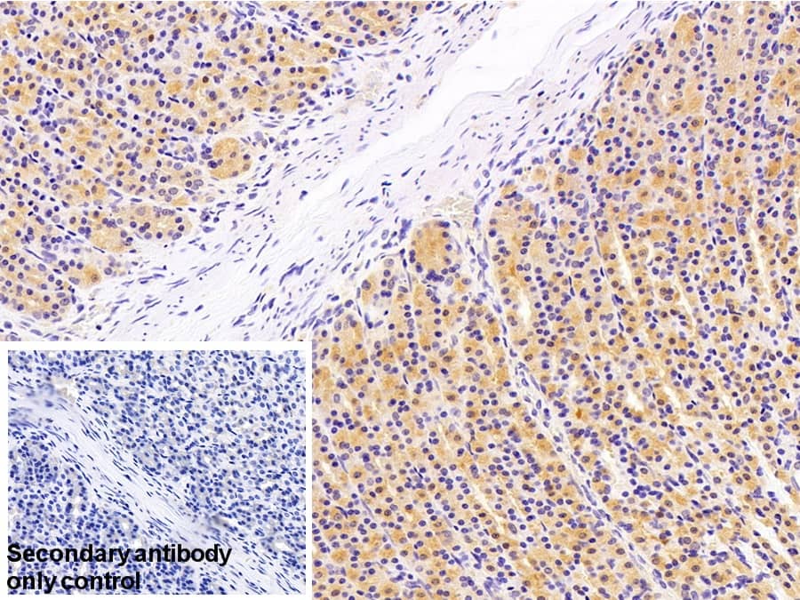
ACF Antibody

Immunohistochemistry-Paraffin: ACF Antibody [NBP3-42352] -

Immunohistochemistry-Paraffin: ACF Antibody [NBP3-42352] - DAB staining on IHC-P; Samples: Human Stomach Tissue; Primary Ab: 10ug/ml NBP3-42352

Applications for ACF Antibody - BSA Free

Application
Recommended Usage

Immunohistochemistry

5-20ug/mL

Immunohistochemistry-Paraffin

5-20ug/mL

Western Blot

0.5-2ug/mL

Formulation, Preparation, and Storage

Purification

Antigen and protein A Affinity-purified

Formulation

0.01M PBS, pH7.4, 50% glycerol

Format

BSA Free

Preservative

0.05% Proclin 300

Concentration

0.75 mg/ml

Shipping

The product is shipped with polar packs. Upon receipt, store it immediately at the temperature recommended below.

Stability & Storage

Store at 4C short term. Aliquot and store at -20C long term. Avoid freeze-thaw cycles.

Background: ACF

Mammalian apolipoprotein B mRNA undergoes site-specific C to U deamination, which is mediated by a multi-component enzyme complex containing a minimal core composed of APOBEC-1 and a complementation factor encoded by this gene. The gene product has three non-identical RNA recognition motifs and belongs to the hnRNP R family of RNA-binding proteins. It has been proposed that this complementation factor functions as an RNA-binding subunit and docks APOBEC-1 to deaminate the upstream cytidine. Studies suggest that the protein may also be involved in other RNA editing or RNA processing events. Alternative splicing occurs at this locus and three full-length transcript variants, encoding three distinct isoforms, have been described. Additional splicing has been observed but the full-length nature of these variants has not been determined. [provided by RefSeq]

Alternate Names

ACF65, ACFASPACF64, apo-B RNA editing protein, APOBEC1 complementation factor, apobec-1 complementation factor (ACF) (ASP), APOBEC-1 stimulating protein, APOBEC1CF, APOBEC1-stimulating protein, MGC163391

Gene Symbol

A1CF

Additional ACF Products

Product Documents for ACF Antibody - BSA Free

Certificate of Analysis

To download a Certificate of Analysis, please enter a lot number in the search box below.

Product Specific Notices for ACF Antibody - BSA Free

This product is for research use only and is not approved for use in humans or in clinical diagnosis. Primary Antibodies are guaranteed for 1 year from date of receipt.

Loading...
Loading...
Loading...
Loading...