Skip to main content

A33/GPA33 Antibody (071) - Azide and BSA Free

Novus Biologicals, part of Bio-Techne | Catalog # NBP2-89873

Recombinant Monoclonal Antibody
Novus Biologicals, part of Bio-Techne

Key Product Details

Species Reactivity

Human

Applications

ELISA, Immunohistochemistry, Immunohistochemistry-Paraffin

Label

Unconjugated

Antibody Source

Recombinant Monoclonal Rabbit IgG Clone # 071

Format

Azide and BSA Free

Concentration

Please see the vial label for concentration. If unlisted please contact technical services.

Product Specifications

Immunogen

This antibody was obtained from a rabbit immunized with purified, recombinant Human A33/GPA33 (Uniprot#: Q99795-1; Met1-Val235).

Specificity

No cross-reactivity in ELISA with: Mouse GPA33

Clonality

Monoclonal

Host

Rabbit

Isotype

IgG

Description

This antibody can be stored at 2C-8C for one month without detectable loss of activity. Antibody products are stable for twelve months from date of receipt when stored at -20C to -80C. Avoid repeated freeze-thaw cycles.

Scientific Data Images for A33/GPA33 Antibody (071) - Azide and BSA Free

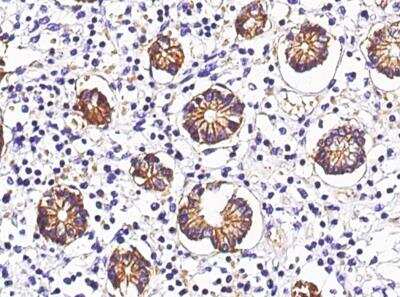
Immunohistochemistry-Paraffin: A33/GPA33 Antibody (071) [NBP2-89873]

Immunohistochemistry-Paraffin: A33/GPA33 Antibody (071) [NBP2-89873]

Immunohistochemistry-Paraffin: A33/GPA33 Antibody (071) [NBP2-89873] - Staining of human GPA33 in human colon carcinoma with rabbit monoclonal antibody (1:200).
Immunohistochemistry-Paraffin: A33/GPA33 Antibody (071) [NBP2-89873]

Immunohistochemistry-Paraffin: A33/GPA33 Antibody (071) [NBP2-89873]

Immunohistochemistry-Paraffin: A33/GPA33 Antibody (071) [NBP2-89873] - Staining of human GPA33 in human small intestine with rabbit monoclonal antibody (1:200).
Immunohistochemistry-Paraffin: A33/GPA33 Antibody (071) [NBP2-89873]

Immunohistochemistry-Paraffin: A33/GPA33 Antibody (071) [NBP2-89873]

Immunohistochemistry-Paraffin: A33/GPA33 Antibody (071) [NBP2-89873] - Staining of human GPA33 in human colon with rabbit monoclonal antibody (1:200).

Applications for A33/GPA33 Antibody (071) - Azide and BSA Free

Application
Recommended Usage

ELISA

1:5000-1:10000

Immunohistochemistry

1:100-1:500

Immunohistochemistry-Paraffin

1:100-1:500

Formulation, Preparation, and Storage

Purification

Protein A purified

Formulation

0.2 um filtered solution in PBS

Format

Azide and BSA Free

Preservative

No Preservative

Concentration

Please see the vial label for concentration. If unlisted please contact technical services.

Shipping

The product is shipped with polar packs. Upon receipt, store it immediately at the temperature recommended below.

Stability & Storage

Store at 4C short term. Aliquot and store at -20C long term. Avoid freeze-thaw cycles.

Background: A33

The glycoprotein encoded by this gene is a cell surface antigen that is expressed in greater than 95% of human colon cancers. The open reading frame encodes a 319-amino acid polypeptide having a putative secretory signal sequence and 3 potential glycosylation sites. The predicted mature protein has a 213-amino acid extracellular region, a single transmembrane domain, and a 62-amino acid intracellular tail. The sequence of the extracellular region contains 2 domains characteristic of the CD2 subgroup of the immunoglobulin (Ig) superfamily.

Long Name

Cell Surface A33 Antigen

Alternate Names

GPA33

Gene Symbol

GPA33

Additional A33 Products

Product Documents for A33/GPA33 Antibody (071) - Azide and BSA Free

Certificate of Analysis

To download a Certificate of Analysis, please enter a lot number in the search box below.

Product Specific Notices for A33/GPA33 Antibody (071) - Azide and BSA Free

This product is for research use only and is not approved for use in humans or in clinical diagnosis. Primary Antibodies are guaranteed for 1 year from date of receipt.

Loading...
Loading...
Loading...
Loading...