Skip to main content

5'-Nucleotidase/CD73 Antibody (BLR054F)

Novus Biologicals, part of Bio-Techne | Catalog # NBP3-14679

Recombinant Monoclonal
Novus Biologicals, part of Bio-Techne
Catalog #
Availability
Size / Price
Qty
Loading...
NBP3-14679

Key Product Details

Species Reactivity

Human

Applications

Immunocytochemistry/ Immunofluorescence, Immunohistochemistry, Western Blot

Label

Unconjugated

Antibody Source

Recombinant Monoclonal Rabbit Clone # BLR054F

Concentration

Please see the vial label for concentration. If unlisted please contact technical services.

Product Specifications

Immunogen

residues 27-552 (ECD)

Clonality

Monoclonal

Host

Rabbit

Description

Novus Biologicals Rabbit 5'-Nucleotidase/CD73 Antibody (BLR054F) (NBP3-14679) is a recombinant monoclonal antibody validated for use in IHC, WB and ICC/IF. All Novus Biologicals antibodies are covered by our 100% guarantee.

Scientific Data Images for 5'-Nucleotidase/CD73 Antibody (BLR054F)

Western Blot: 5'-Nucleotidase/CD73 Antibody (BLR054F) [NBP3-14679]

Western Blot: 5'-Nucleotidase/CD73 Antibody (BLR054F) [NBP3-14679]

Western Blot: 5'-Nucleotidase/CD73 Antibody (BLR054F) [NBP3-14679] - FFPE section of IMR-90 cells. Antibody: Rabbit anti-CD73 recombinant monoclonal antibody used at 1:100. HRP-conjugated goat anti-rabbit IgG.
Immunocytochemistry: 5'-Nucleotidase/CD73 Antibody (BLR054F) [NBP3-14679]

Immunocytochemistry: 5'-Nucleotidase/CD73 Antibody (BLR054F) [NBP3-14679]

Immunocytochemistry: 5'-Nucleotidase/CD73 Antibody (BLR054F) [NBP3-14679] - FFPE section of IMR-90 cells. Rabbit anti-CD73 recombinant monoclonal antibody used at 1:100. HRP-conjugated goat anti-rabbit IgG Substrate DAB.
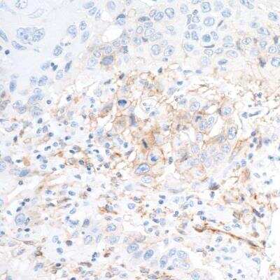
Immunohistochemistry: 5'-Nucleotidase/CD73 Antibody (BLR054F) [NBP3-14679]

Immunohistochemistry: 5'-Nucleotidase/CD73 Antibody (BLR054F) [NBP3-14679]

Immunohistochemistry: 5'-Nucleotidase/CD73 Antibody (BLR054F) [NBP3-14679] - FFPE section of human tonsil. Antibody: rabbit anti-CD73 recombinant monoclonal antibody used at 1:250. secondary: HRP- conjugated goat anti-rabbit igG

Applications for 5'-Nucleotidase/CD73 Antibody (BLR054F)

Application
Recommended Usage

Immunocytochemistry/ Immunofluorescence

Optimal dilutions of this antibody should be experimentally determined.

Immunohistochemistry

Optimal dilutions of this antibody should be experimentally determined.

Western Blot

Optimal dilutions of this antibody should be experimentally determined.

Formulation, Preparation, and Storage

Purification

>95%

Formulation

Borate Buffered Saline (BBS) pH 8.2 with 0.1% BSA and

Preservative

0.09% Sodium Azide

Concentration

Please see the vial label for concentration. If unlisted please contact technical services.

Shipping

The product is shipped with polar packs. Upon receipt, store it immediately at the temperature recommended below.

Stability & Storage

Store at 2 - 8 C / 1 year from date of receipt

Background: 5'-Nucleotidase/CD73

Ecto-5-prime-nucleotidase (5-prime-ribonucleotide phosphohydrolase; EC 3.1.3.5) catalyzes the conversion at neutral pH of purine 5-prime mononucleotides to nucleosides, the preferred substrate being AMP. The enzyme consists of a dimer of 2 identical 70-kD subunits bound by a glycosyl phosphatidyl inositol linkage to the external face of the plasma membrane. The enzyme is used as a marker of lymphocyte differentiation. Consequently, a deficiency of NT5 occurs in a variety of immunodeficiency diseases (e.g., see MIM 102700, MIM 300300). Other forms of 5-prime nucleotidase exist in the cytoplasm and lysosomes and can be distinguished from ecto-NT5 by their substrate affinities, requirement for divalent magnesium ion, activation by ATP, and inhibition by inorganic phosphate.[supplied by OMIM]

Alternate Names

5-NT, CD73, E5NT, eNT, NT5E, NTE

Gene Symbol

NT5E

Additional 5'-Nucleotidase/CD73 Products

Product Documents for 5'-Nucleotidase/CD73 Antibody (BLR054F)

Certificate of Analysis

To download a Certificate of Analysis, please enter a lot number in the search box below.

Product Specific Notices for 5'-Nucleotidase/CD73 Antibody (BLR054F)

This product is for research use only and is not approved for use in humans or in clinical diagnosis. Primary Antibodies are guaranteed for 1 year from date of receipt.

Loading...
Loading...
Loading...
Loading...
Loading...