5'-Nucleotidase/CD73 Antibody (A6G2-R)
Novus Biologicals, part of Bio-Techne | Catalog # NBP3-32166
Recombinant Monoclonal Antibody
Key Product Details
Species Reactivity
Human, Mouse, Rat
Applications
Immunocytochemistry/ Immunofluorescence, Immunohistochemistry, Immunohistochemistry-Paraffin, Western Blot
Label
Unconjugated
Antibody Source
Recombinant Monoclonal Mouse IgG1 Clone # A6G2-R expressed in HEK293
Concentration
1 mg/ml
Product Specifications
Immunogen
Recombinant protein within Human 5'-Nucleotidase/CD73 27-549. (Uniprot: P21589)
Localization
Cell membrane.
Clonality
Monoclonal
Host
Mouse
Isotype
IgG1
Theoretical MW
63 kDa.
Disclaimer note: The observed molecular weight of the protein may vary from the listed predicted molecular weight due to post translational modifications, post translation cleavages, relative charges, and other experimental factors.
Disclaimer note: The observed molecular weight of the protein may vary from the listed predicted molecular weight due to post translational modifications, post translation cleavages, relative charges, and other experimental factors.
Description
Novus Biologicals Mouse 5'-Nucleotidase/CD73 Antibody (A6G2-R) (NBP3-32166) is a recombinant monoclonal antibody validated for use in IHC, WB and ICC/IF. All Novus Biologicals antibodies are covered by our 100% guarantee.
Scientific Data Images for 5'-Nucleotidase/CD73 Antibody (A6G2-R)
Western Blot: 5'-Nucleotidase/CD73 Antibody (A6G2-R) [NBP3-32166]
Western Blot: 5'-Nucleotidase/CD73 Antibody (A6G2-R) [NBP3-32166] - Western blot analysis of 5'-Nucleotidase/CD73 on different lysates with Mouse anti-5'-Nucleotidase/CD73 antibody (NBP3-32166) at 1/2,000 dilution.Lane 1: U-87 MG cell lysate
Lane 2: U-87 MG cell lysate (no heat)
Lysates/proteins at 30 ug/Lane.
Predicted band size: 63 kDa
Observed band size: 70 kDa
Exposure time: 24 seconds;
4-20% SDS-PAGE gel.
Proteins were transferred to a PVDF membrane and blocked with 5% NFDM/TBST for 1 hour at room temperature. The primary antibody (NBP3-32166) at 1/2,000 dilution was used in 5% NFDM/TBST at 4C overnight. Anti-Mouse IgG for IP Nano-secondary antibody (NBI02H) at 1/5,000 dilution was used for 1 hour at room temperature.
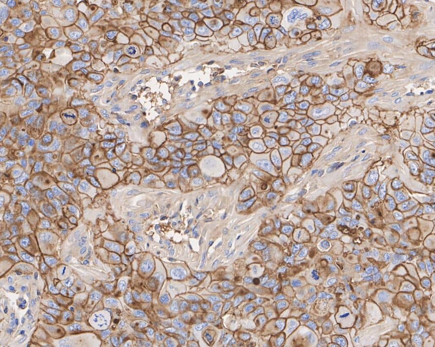
Immunohistochemistry: 5'-Nucleotidase/CD73 Antibody (A6G2-R) [NBP3-32166]
Immunohistochemistry: 5'-Nucleotidase/CD73 Antibody (A6G2-R) [NBP3-32166] - Immunohistochemical analysis of paraffin-embedded NCI-H441 xenograft tissue with Mouse anti-5'-Nucleotidase/CD73 antibody (NBP3-32166) at 1/1,000 dilution.The section was pre-treated using heat mediated antigen retrieval with Tris-EDTA buffer (pH 9.0) for 20 minutes. The tissues were blocked in 1% BSA for 20 minutes at room temperature, washed with ddH2O and PBS, and then probed with the primary antibody (NBP3-32166) at 1/1,000 dilution for 1 hour at room temperature. The detection was performed using an HRP conjugated compact polymer system. DAB was used as the chromogen. Tissues were counterstained with hematoxylin and mounted with DPX.
Immunocytochemistry/ Immunofluorescence: 5'-Nucleotidase/CD73 Antibody (A6G2-R) [NBP3-32166]
Immunocytochemistry/ Immunofluorescence: 5'-Nucleotidase/CD73 Antibody (A6G2-R) [NBP3-32166] - Immunocytochemistry analysis of U-87 MG cells labeling 5'-Nucleotidase/CD73 with Mouse anti-5'-Nucleotidase/CD73 antibody (NBP3-32166) at 1/100 dilution.Cells were fixed in 100% precooled methanol for 5 minutes at room temperature, then blocked with 1% BSA in 10% negative goat serum for 1 hour at room temperature. Cells were then incubated with Mouse anti-5'-Nucleotidase/CD73 antibody (NBP3-32166) at 1/100 dilution in 1% BSA in PBST overnight at 4 ℃. Goat Anti-Mouse IgG H&L (iFluor™ 488) was used as the secondary antibody at 1/1,000 dilution. PBS instead of the primary antibody was used as the secondary antibody only control. Nuclear DNA was labelled in blue with DAPI.
beta Tubulin (red) was stained at 1/100 dilution overnight at +4℃. Goat Anti-Rabbit IgG H&L (iFluor™ 594) were used as the secondary antibody at 1/1,000 dilution.
Applications for 5'-Nucleotidase/CD73 Antibody (A6G2-R)
Application
Recommended Usage
Immunocytochemistry/ Immunofluorescence
1:100
Immunohistochemistry-Paraffin
1:1000
Western Blot
1:1000
Formulation, Preparation, and Storage
Purification
Protein A purified
Formulation
PBS (pH7.4), 0.1% BSA and 40% Glycerol
Preservative
0.05% Sodium Azide
Concentration
1 mg/ml
Shipping
The product is shipped with polar packs. Upon receipt, store it immediately at the temperature recommended below.
Stability & Storage
Store at 4C short term. Aliquot and store at -20C long term. Avoid freeze-thaw cycles.
Background: 5'-Nucleotidase/CD73
Alternate Names
5-NT, CD73, E5NT, eNT, NT5E, NTE
Gene Symbol
NT5E
Additional 5'-Nucleotidase/CD73 Products
Product Documents for 5'-Nucleotidase/CD73 Antibody (A6G2-R)
Product Specific Notices for 5'-Nucleotidase/CD73 Antibody (A6G2-R)
This product is for research use only and is not approved for use in humans or in clinical diagnosis. Primary Antibodies are guaranteed for 1 year from date of receipt.
Loading...
Loading...
Loading...
Loading...
Loading...