Skip to main content

5-HT3A Antibody - BSA Free

Novus Biologicals, part of Bio-Techne | Catalog # NBP3-46068

Novus Biologicals, part of Bio-Techne
Catalog #
Availability
Size / Price
Qty
Loading...
NBP3-46068

Key Product Details

Species Reactivity

Human, Mouse, Rat

Applications

Immunohistochemistry, Western Blot, ELISA

Label

Unconjugated

Antibody Source

Polyclonal Rabbit IgG

Format

BSA Free

Concentration

Please see the vial label for concentration. If unlisted please contact technical services.

Product Specifications

Immunogen

5-hydroxytryptamine (serotonin) receptor 3A. (Uniprot# P46098)

Clonality

Polyclonal

Host

Rabbit

Isotype

IgG

Theoretical MW

55 kDa.
Disclaimer note: The observed molecular weight of the protein may vary from the listed predicted molecular weight due to post translational modifications, post translation cleavages, relative charges, and other experimental factors.

Description

Novus Biologicals Rabbit 5-HT3A Antibody - BSA Free (NBP3-46068) is a polyclonal antibody validated for use in IHC, WB and ELISA. All Novus Biologicals antibodies are covered by our 100% guarantee.

Scientific Data Images for 5-HT3A Antibody - BSA Free

5-HT3A Antibody - BSA Free

Western Blot: 5-HT3A Antibody - BSA Free [NBP3-46068] -

Western Blot: 5-HT3A Antibody - BSA Free [NBP3-46068] - Mouse lung tissue were subjected to SDS PAGE followed by western blot with (5-HT3A antibody) at dilution of 1:1000
5-HT3A Antibody - BSA Free

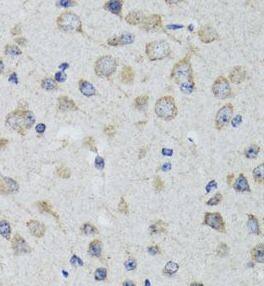
Immunohistochemistry: 5-HT3A Antibody - BSA Free [NBP3-46068] -

Immunohistochemistry: 5-HT3A Antibody - BSA Free [NBP3-46068] - Immunohistochemistry of paraffin-embedded rat brain using ( 5-HT3A Antibody) at dilution of 1:50

Applications for 5-HT3A Antibody - BSA Free

Application
Recommended Usage

Immunohistochemistry

1:50 - 1:200

Western Blot

1:500 - 1:2000

Formulation, Preparation, and Storage

Purification

Immunogen affinity purified

Formulation

PBS, 50% Glycerol, pH (7.3)

Format

BSA Free

Preservative

0.02% Sodium Azide

Concentration

Please see the vial label for concentration. If unlisted please contact technical services.

Shipping

The product is shipped with polar packs. Upon receipt, store it immediately at the temperature recommended below.

Stability & Storage

Store at -20C. Avoid freeze-thaw cycles.

Background: 5-HT3A

The product of this gene belongs to the ligand-gated ion channel receptor superfamily. This gene encodes subunit A of the type 3 receptor for 5-hydroxytryptamine (serotonin), a biogenic hormone that functions as a neurotransmitter, a hormone, and a mitogen. This receptor causes fast, depolarizing responses in neurons after activation. It appears that the heteromeric combination of A and B subunits is necessary to provide the full functional features of this receptor, since either subunit alone results in receptors with very low conductance and response amplitude. Alternatively spliced transcript variants encoding different isoforms have been identified.

Long Name

5-Hydroxytryptamine Receptor 3A

Alternate Names

5HT3A, HTR3A

Gene Symbol

HTR3A

Additional 5-HT3A Products

Product Documents for 5-HT3A Antibody - BSA Free

Certificate of Analysis

To download a Certificate of Analysis, please enter a lot number in the search box below.

Product Specific Notices for 5-HT3A Antibody - BSA Free

This product is for research use only and is not approved for use in humans or in clinical diagnosis. Primary Antibodies are guaranteed for 1 year from date of receipt.

Loading...
Loading...
Loading...
Loading...