4EBP1 Antibody (4B6G10)
Novus Biologicals, part of Bio-Techne | Catalog # NBP1-47554
Key Product Details
Species Reactivity
Human
Applications
ELISA, Immunohistochemistry, Immunohistochemistry-Paraffin, Western Blot
Label
Unconjugated
Antibody Source
Monoclonal Mouse IgG1 Clone # 4B6G10
Concentration
This product is unpurified. The exact concentration of antibody is not quantifiable.
Product Specifications
Immunogen
Purified recombinant fragment of 4EBP1 expressed in E. Coli.
Clonality
Monoclonal
Host
Mouse
Isotype
IgG1
Description
Novus Biologicals Mouse 4EBP1 Antibody (4B6G10) (NBP1-47554) is a monoclonal antibody validated for use in IHC, WB and ELISA. All Novus Biologicals antibodies are covered by our 100% guarantee.
Scientific Data Images for 4EBP1 Antibody (4B6G10)
Western Blot: 4EBP1 Antibody (4B6G10)BSA Free [NBP1-47554]
Western Blot: 4EBP1 Antibody (4B6G10) [NBP1-47554] - Analysis using 4E-BP1 mouse mAb against truncated 4E-BP1 recombinant protein(1)and A431 cell lysate (2).Immunohistochemistry-Paraffin: 4EBP1 Antibody (4B6G10) - BSA Free [NBP1-47554]
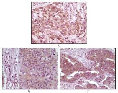
Immunohistochemistry-Paraffin: 4EBP1 Antibody (4B6G10) [NBP1-47554] - Analysis of human pancreas carcinoma (A), esophagus carcinoma tissue (B) and ovary tumor tissue (C), showing cytoplasmic and membrane localization using 4E-BP1 mouse mAb with DAB staining.Applications for 4EBP1 Antibody (4B6G10)
Application
Recommended Usage
ELISA
1:10000
Immunohistochemistry
1:10 - 1:500
Immunohistochemistry-Paraffin
1:200 - 1:1000
Western Blot
1:500 - 1:2000
Formulation, Preparation, and Storage
Purification
Unpurified
Formulation
Ascites
Preservative
0.03% Sodium Azide
Concentration
This product is unpurified. The exact concentration of antibody is not quantifiable.
Shipping
The product is shipped with polar packs. Upon receipt, store it immediately at the temperature recommended below.
Stability & Storage
Store at 4C short term. Aliquot and store at -20C long term. Avoid freeze-thaw cycles.
Background: 4EBP1
Long Name
Eukaryotic Translation Initiation Factor 4E Binding Protein 1
Alternate Names
EIF4EBP1, PHAS-I
Entrez Gene IDs
1978 (Human)
Gene Symbol
EIF4EBP1
Additional 4EBP1 Products
Product Documents for 4EBP1 Antibody (4B6G10)
Product Specific Notices for 4EBP1 Antibody (4B6G10)
This product is for research use only and is not approved for use in humans or in clinical diagnosis. Primary Antibodies are guaranteed for 1 year from date of receipt.
Loading...
Loading...
Loading...
Loading...