Skip to main content

14-3-3 zeta Antibody

Novus Biologicals, part of Bio-Techne | Catalog # NBP2-24593

Novus Biologicals, part of Bio-Techne
Catalog #
Availability
Size / Price
Qty
Loading...
NBP2-24593SS
NBP2-24593

Key Product Details

Species Reactivity

Validated:

Human, Mouse, Rat

Cited:

Human

Applications

Validated:

Immunohistochemistry, Immunohistochemistry-Paraffin, Western Blot

Cited:

Western Blot

Label

Unconjugated

Antibody Source

Polyclonal Rabbit IgG

Concentration

0.5 mg/ml

Product Specifications

Immunogen

A portion of amino acids 200-245 of human 14-3-3 zeta was used as the immunogen for the antibody.

Reactivity Notes

The immunogen shows 100% sequence identity in human, cattle, rat, mouse, chimpanzee, rhesus monkey, opossum, pig, chicken and dog, and 94% in frog.

Clonality

Polyclonal

Host

Rabbit

Isotype

IgG

Scientific Data Images for 14-3-3 zeta Antibody

Western Blot: 14-3-3 zeta Antibody [NBP2-24593]

Western Blot: 14-3-3 zeta Antibody [NBP2-24593]

Western Blot: 14-3-3 zeta Antibody [NBP2-24593] - analysis of 14-3-3 zeta in human brain lysate in the 1) absence, 2) presence of immunizing peptide, 3) mouse brain lysate and 4) rat brain lysate in the absence of immunizing peptide using this antibody. I goat anti-rabbit Ig HRP secondary antibody and PicoTect ECL substrate solution were used for this test.
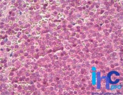
Immunohistochemistry-Paraffin: 14-3-3 zeta Antibody [NBP2-24593]

Immunohistochemistry-Paraffin: 14-3-3 zeta Antibody [NBP2-24593]

Immunohistochemistry-Paraffin: 14-3-3 zeta Antibody [NBP2-24593] - Formalin-fixed, paraffin-embedded human spleen stained with 14-3-3 zeta antibody at 10 ug/ml. Staining of formalin-fixed tissues is enhanced by boiling tissue sections in 10 mM sodium citrate buffer, pH 6.0 for 10-20 min followed by cooling at RT for 20 min.

Applications for 14-3-3 zeta Antibody

Application
Recommended Usage

Immunohistochemistry-Paraffin

10 ug/ml

Western Blot

1-3 ug/ml

Formulation, Preparation, and Storage

Purification

Protein A purified

Formulation

PBS and 0.05% BSA

Preservative

0.05% Sodium Azide

Concentration

0.5 mg/ml

Shipping

The product is shipped with polar packs. Upon receipt, store it immediately at the temperature recommended below.

Stability & Storage

Store at -20C. Avoid freeze-thaw cycles.

Background: 14-3-3 zeta

14-3-3 zeta is a protein that mediates signal transduction by binding to phosphoserine-containing proteins. The protein is widely expressed in various gray matter regions of the brain. Overexpression of the 14-3-3 zeta gene has been found to correlate with chemoresistance to anthracyclines and metastatis recurrence of human breast cancer. These effects are likely caused by an anti-apoptotic mechanism of 14-3-3 zeta during anthracycline treatment.

Alternate Names

1433 zeta, KCIP-1, YWHAZ

Gene Symbol

YWHAZ

Additional 14-3-3 zeta Products

Product Documents for 14-3-3 zeta Antibody

Certificate of Analysis

To download a Certificate of Analysis, please enter a lot number in the search box below.

Product Specific Notices for 14-3-3 zeta Antibody

This product is for research use only and is not approved for use in humans or in clinical diagnosis. Primary Antibodies are guaranteed for 1 year from date of receipt.

Loading...
Loading...
Loading...
Loading...