Human Fibronectin Antibody
R&D Systems, part of Bio-Techne | Catalog # MAB1918
Conjugate
Catalog #
Key Product Details
Species Reactivity
Validated:
Human
Cited:
Human, Mouse, Canine
Applications
Validated:
Immunohistochemistry, Western Blot, Flow Cytometry, Immunocytochemistry, Simple Western, Immunoprecipitation
Cited:
Immunohistochemistry, Immunohistochemistry-Paraffin, Western Blot, Neutralization, Immunocytochemistry, Cell Culture
Label
Unconjugated
Antibody Source
Monoclonal Mouse IgG1 Clone # P1H11
Product Specifications
Immunogen
Human plasma-derived Fibronectin
Specificity
Detects human Fibronectin in Western blots.
Clonality
Monoclonal
Host
Mouse
Isotype
IgG1
Scientific Data Images for Human Fibronectin Antibody
Detection of Fibronectin in HepG2 cells by Flow Cytometry
HepG2 (filled histogram) and Jurkat (open histogram) cells were stained with Mouse Anti-Human Fibronectin Monoclonal Antibody (Catalog # MAB1918, filled histogram) followed by Allophycocyanin-conjugated Anti-Mouse IgG Secondary Antibody (Catalog # F0101B). To facilitate intracellular staining, cells were fixed with Flow Cytometry Fixation Buffer (Catalog # FC004) and permeabilized with Flow Cytometry Permeabilization/Wash Buffer I (Catalog # FC005). View our protocol for Staining Intracellular Molecules.Detection of Human Fibronectin by Western Blot.
Western blot shows lysates of HepG2 human hepatocellular carcinoma cell line and C6 rat glioma cell line. PVDF membrane was probed with 1 µg/mL of Mouse Anti-Human Fibronectin Monoclonal Antibody (Catalog # MAB1918) followed by HRP-conjugated Anti-Mouse IgG Secondary Antibody (HAF018). A specific band was detected for Fibronectin at approximately 300 kDa (as indicated). This experiment was conducted under reducing conditions and using Western Blot Buffer Group 1.Detection of Human Fibronectin by Simple WesternTM.
Simple Western shows lysates of Exosome Standards (PC-3) (NBP2-49856), Exosome Standards (Human Urine) (NBP2-49840) and HepG2 human hepatocellular carcinoma cell line, loaded at 0.5 mg/ml. A specific band was detected for Fibronectin at approximately 290 kDa (as indicated) using 10 µg/mL of Mouse Anti-Human Fibronectin Monoclonal Antibody (Catalog # MAB1918). This experiment was conducted under reducing conditions and using the 66-440kDa separation system.Applications for Human Fibronectin Antibody
Application
Recommended Usage
Flow Cytometry
0.25 µg/106 cells
Sample: HepG2 human hepatocellular carcinoma cell line
Sample: HepG2 human hepatocellular carcinoma cell line
Immunocytochemistry
3-25 µg/mL
Sample: Immersion fixed HepG2 human hepatocellular carcinoma cell line
Sample: Immersion fixed HepG2 human hepatocellular carcinoma cell line
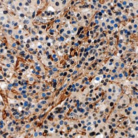
Immunohistochemistry
8-25 µg/mL
Sample: Immersion fixed paraffin-embedded sections of human intestine, kidney, and liver, and human breast cancer tissue
Sample: Immersion fixed paraffin-embedded sections of human intestine, kidney, and liver, and human breast cancer tissue
Immunoprecipitation
Yu, H. et al. (2004) Mol. Carcinog. 41:85.
Simple Western
10 µg/mL
Sample: Exosome Standards (PC-3) (Catalog # NBP2-49856), Exosome Standards (Human Urine) (Catalog # NBP2-49840) and HepG2 human hepatocellular carcinoma cell line
Sample: Exosome Standards (PC-3) (Catalog # NBP2-49856), Exosome Standards (Human Urine) (Catalog # NBP2-49840) and HepG2 human hepatocellular carcinoma cell line
Western Blot
1 µg/mL
Sample: HepG2 human hepatocellular carcinoma cell line and C6 rat glioma cell line
Sample: HepG2 human hepatocellular carcinoma cell line and C6 rat glioma cell line
Reviewed Applications
Read 7 reviews rated 4.4 using MAB1918 in the following applications:
Formulation, Preparation, and Storage
Purification
Protein A or G purified from hybridoma culture supernatant
Reconstitution
Reconstitute at 0.5 mg/mL in sterile PBS. For liquid material, refer to CoA for concentration.
Formulation
Lyophilized from a 0.2 μm filtered solution in PBS with Trehalose. See Certificate of Analysis for details.
*Small pack size (-SP) is supplied either lyophilized or as a 0.2 µm filtered solution in PBS.
*Small pack size (-SP) is supplied either lyophilized or as a 0.2 µm filtered solution in PBS.
Shipping
Lyophilized product is shipped at ambient temperature. Liquid small pack size (-SP) is shipped with polar packs. Upon receipt, store immediately at the temperature recommended below.
Stability & Storage
Use a manual defrost freezer and avoid repeated freeze-thaw cycles.
- 12 months from date of receipt, -20 to -70 °C as supplied.
- 1 month, 2 to 8 °C under sterile conditions after reconstitution.
- 6 months, -20 to -70 °C under sterile conditions after reconstitution.
Background: Fibronectin
Alternate Names
CIG, ED-B, FINC, FN1, FNZ, GFND2, LETS, SMDCF
Gene Symbol
FN1
Additional Fibronectin Products
Product Documents for Human Fibronectin Antibody
Product Specific Notices for Human Fibronectin Antibody
For research use only
Loading...
Loading...
Loading...
Loading...
Loading...