Skip to main content

SLC7A8 Antibody (OTI7D6) - Azide and BSA Free

Novus Biologicals, part of Bio-Techne | Catalog # NBP2-74215

Novus Biologicals, part of Bio-Techne

Key Product Details

Species Reactivity

Human, Mouse, Rat

Applications

Immunohistochemistry, Immunohistochemistry-Paraffin, Western Blot

Label

Unconjugated

Antibody Source

Monoclonal Mouse IgG1 Clone # OTI7D6

Format

Azide and BSA Free

Concentration

LYOPH mg/ml

Product Specifications

Immunogen

Full-length protein expressed in 293T cell transfected with human SLC7A8 expression vector

Reactivity Notes

Please note that this antibody is reactive to Mouse and derived from the same host, Mouse. Mouse-On-Mouse blocking reagent may be needed for IHC and ICC experiments to reduce high background signal. You can find these reagents under catalog numbers PK-2200-NB and MP-2400-NB. Please contact Technical Support if you have any questions.

Clonality

Monoclonal

Host

Mouse

Isotype

IgG1

Theoretical MW

58.4 kDa.
Disclaimer note: The observed molecular weight of the protein may vary from the listed predicted molecular weight due to post translational modifications, post translation cleavages, relative charges, and other experimental factors.

Description

Novus Biologicals Mouse SLC7A8 Antibody (OTI7D6) - Azide and BSA Free (NBP1-47989) is a monoclonal antibody validated for use in IHC and WB. All Novus Biologicals antibodies are covered by our 100% guarantee.

Scientific Data Images for SLC7A8 Antibody (OTI7D6) - Azide and BSA Free

Western Blot: SLC7A8 Antibody (OTI7D6)Azide and BSA Free [NBP2-74215]

Western Blot: SLC7A8 Antibody (OTI7D6)Azide and BSA Free [NBP2-74215]

Western Blot: SLC7A8 Antibody (OTI7D6) - Azide and BSA Free [NBP2-74215] - HEK293T cells were transfected with the pCMV6-ENTRY control (Left lane) or pCMV6-ENTRY SLC7A8 (Right lane) cDNA for 48 hrs and lysed. Equivalent amounts of cell lysates (5 ug per lane) were separated by SDS-PAGE and immunoblotted with anti-SLC7A8.
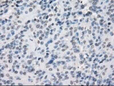
Immunohistochemistry: SLC7A8 Antibody (OTI7D6) - Azide and BSA Free [NBP2-74215]

Immunohistochemistry: SLC7A8 Antibody (OTI7D6) - Azide and BSA Free [NBP2-74215]

Immunohistochemistry: SLC7A8 Antibody (OTI7D6) - Azide and BSA Free [NBP2-74215] - Staining of paraffin-embedded pancreas tissue using anti-SLC7A8 mouse monoclonal antibody.
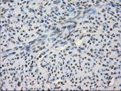
Immunohistochemistry: SLC7A8 Antibody (OTI7D6) - Azide and BSA Free [NBP2-74215]

Immunohistochemistry: SLC7A8 Antibody (OTI7D6) - Azide and BSA Free [NBP2-74215]

Immunohistochemistry: SLC7A8 Antibody (OTI7D6) - Azide and BSA Free [NBP2-74215] - Carcinoma of bladder tissue.

Applications for SLC7A8 Antibody (OTI7D6) - Azide and BSA Free

Application
Recommended Usage

Immunohistochemistry

1:50

Western Blot

1:200-1:1000

Formulation, Preparation, and Storage

Purification

Immunogen affinity purified

Reconstitution

we recommend adding 100uL distilled water to a final antibody concentration of about 1 mg/mL. To use this carrier-free antibody for conjugation experiment, we strongly recommend performing another round of desalting process.

Formulation

Lyophilized from PBS (pH 7.3) with 8% Trehalose

Format

Azide and BSA Free

Preservative

No Preservative

Concentration

LYOPH mg/ml

Shipping

The product is shipped with polar packs. Upon receipt, store it immediately at the temperature recommended below.

Stability & Storage

Store at -20C. Avoid freeze-thaw cycles.

Background: SLC7A8

Sodium-independent, high-affinity transport of small and large neutral amino acids such as alanine, serine, threonine, cysteine, phenylalanine, tyrosine, leucine, arginine and tryptophan, when associated with SLC3A2/4F2hc. Acts as an amino acid exchanger. Has higher affinity for L-phenylalanine than LAT1 but lower affinity for glutamine and serine. L-alanine is transported at physiological concentrations. Plays a role in basolateral (re)absorption of neutral amino acids. Involved in the uptake of methylmercury (MeHg) when administered as the L-cysteine or D,L-homocysteine complexes, and hence plays a role in metal ion homeostasis and toxicity. Involved in the cellular activity of small molecular weight nitrosothiols, via the stereoselective transport of L-nitrosocysteine (L-CNSO) across the transmembrane. Plays an essential role in the reabsorption of neutral amino acids from the epithelial cells to the bloodstream in the kidney

Alternate Names

hLAT2, integral membrane protein E16H, large neutral amino acids transporter small subunit 2, LAT2L-type amino acid transporter 2, LPI-PC1, solute carrier family 7 (amino acid transporter, L-type), member 8, Solute carrier family 7 member 8, y+ system), member 8

Gene Symbol

SLC7A8

Additional SLC7A8 Products

Product Documents for SLC7A8 Antibody (OTI7D6) - Azide and BSA Free

Certificate of Analysis

To download a Certificate of Analysis, please enter a lot number in the search box below.

Product Specific Notices for SLC7A8 Antibody (OTI7D6) - Azide and BSA Free

This product is for research use only and is not approved for use in humans or in clinical diagnosis. Primary Antibodies are guaranteed for 1 year from date of receipt.

Loading...
Loading...
Loading...
Loading...
Loading...