Skip to main content

SLC7A8 Antibody (OTI7D6)

Novus Biologicals, part of Bio-Techne | Catalog # NBP1-47989

Novus Biologicals, part of Bio-Techne

Key Product Details

Species Reactivity

Human, Mouse, Rat

Applications

Immunohistochemistry, Immunohistochemistry-Paraffin, Western Blot

Label

Unconjugated

Antibody Source

Monoclonal Mouse IgG1 Clone # OTI7D6

Concentration

0.8 mg/ml

Product Specifications

Immunogen

Full-length protein expressed in 293T cell transfected with human SLC7A8 expression vector

Reactivity Notes

Please note that this antibody is reactive to Mouse and derived from the same host, Mouse. Mouse-On-Mouse blocking reagent may be needed for IHC and ICC experiments to reduce high background signal. You can find these reagents under catalog numbers PK-2200-NB and MP-2400-NB. Please contact Technical Support if you have any questions.

Specificity

This antibody is specific for Homo sapiens solute carrier family 7 (amino acid transporter, L-type), member 8 (SLC7A8), transcript variant 1.

Clonality

Monoclonal

Host

Mouse

Isotype

IgG1

Theoretical MW

58.4 kDa.
Disclaimer note: The observed molecular weight of the protein may vary from the listed predicted molecular weight due to post translational modifications, post translation cleavages, relative charges, and other experimental factors.

Scientific Data Images for SLC7A8 Antibody (OTI7D6)

Western Blot: SLC7A8 Antibody (OTI7D6) [NBP1-47989]

Western Blot: SLC7A8 Antibody (OTI7D6) [NBP1-47989]

Western Blot: SLC7A8 Antibody (7D6) [NBP1-47989] - HEK293T cells were transfected with the pCMV6-ENTRY control (Left lane) or pCMV6-ENTRY SLC7A8 (Right lane) cDNA for 48 hrs and lysed. Equivalent amounts of cell lysates (5 ug per lane) were separated by SDS-PAGE and immunoblotted with anti-SLC7A8.
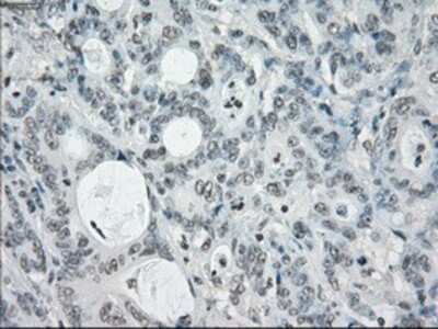
Immunohistochemistry-Paraffin: SLC7A8 Antibody (OTI7D6) [NBP1-47989]

Immunohistochemistry-Paraffin: SLC7A8 Antibody (OTI7D6) [NBP1-47989]

Immunohistochemistry-Paraffin: SLC7A8 Antibody (7D6) [NBP1-47989] - Carcinoma of bladder tissue.
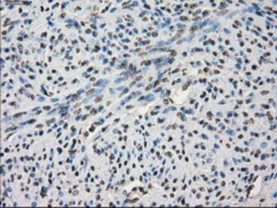
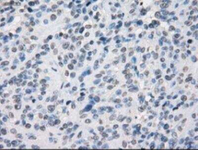
Immunohistochemistry-Paraffin: SLC7A8 Antibody (OTI7D6) [NBP1-47989]

Immunohistochemistry-Paraffin: SLC7A8 Antibody (OTI7D6) [NBP1-47989]

Immunohistochemistry-Paraffin: SLC7A8 Antibody (7D6) [NBP1-47989] - Staining of paraffin-embedded Adenocarcinoma of breast tissue using anti-SLC7A8 mouse monoclonal antibody.

Applications for SLC7A8 Antibody (OTI7D6)

Application
Recommended Usage

Immunohistochemistry

1:50

Immunohistochemistry-Paraffin

1:50

Western Blot

1:200-1:1000

Reviewed Applications

Read 1 review rated 2 using NBP1-47989 in the following applications:

Formulation, Preparation, and Storage

Purification

Immunogen affinity purified

Formulation

PBS (pH 7.3), 1.0% BSA and 50% Glycerol

Preservative

0.02% Sodium Azide

Concentration

0.8 mg/ml

Shipping

The product is shipped with polar packs. Upon receipt, store it immediately at the temperature recommended below.

Stability & Storage

Store at -20C. Avoid freeze-thaw cycles.

Background: SLC7A8

Sodium-independent, high-affinity transport of small and large neutral amino acids such as alanine, serine, threonine, cysteine, phenylalanine, tyrosine, leucine, arginine and tryptophan, when associated with SLC3A2/4F2hc. Acts as an amino acid exchanger. Has higher affinity for L-phenylalanine than LAT1 but lower affinity for glutamine and serine. L-alanine is transported at physiological concentrations. Plays a role in basolateral (re)absorption of neutral amino acids. Involved in the uptake of methylmercury (MeHg) when administered as the L-cysteine orD,L-homocysteine complexes, and hence plays a role in metal ion homeostasis and toxicity. Involved in the cellular activity of small molecular weight nitrosothiols, via the stereoselective transport of L-nitrosocysteine (L-CNSO) across the transmembrane. Plays an essential role in the reabsorption of neutral amino acids from the epithelial cells to the bloodstream in the kidney.

Alternate Names

hLAT2, integral membrane protein E16H, large neutral amino acids transporter small subunit 2, LAT2L-type amino acid transporter 2, LPI-PC1, solute carrier family 7 (amino acid transporter, L-type), member 8, Solute carrier family 7 member 8, y+ system), member 8

Entrez Gene IDs

23428 (Human)

Gene Symbol

SLC7A8

Additional SLC7A8 Products

Product Documents for SLC7A8 Antibody (OTI7D6)

Certificate of Analysis

To download a Certificate of Analysis, please enter a lot number in the search box below.

Product Specific Notices for SLC7A8 Antibody (OTI7D6)

This product is for research use only and is not approved for use in humans or in clinical diagnosis. Primary Antibodies are guaranteed for 1 year from date of receipt.

Loading...
Loading...
Loading...
Loading...
Loading...