Skip to main content

Human TL1A/TNFSF15 Antibody

R&D Systems, part of Bio-Techne | Catalog # MAB74422

Recombinant Monoclonal Antibody.
Catalog #
Availability
Size / Price
Qty
Loading...
MAB74422-100
MAB74422-SP

Key Product Details

Species Reactivity

Human

Applications

Immunohistochemistry, Western Blot, Neutralization, Flow Cytometry, CyTOF-ready

Label

Unconjugated

Antibody Source

Recombinant Monoclonal Rabbit IgG Clone # 2116A

Product Specifications

Immunogen

E. coli-derived recombinant human TL1A/TNFSF15
Leu72-Leu251
Accession # O95150

Specificity

Detects human TL1A/TNFSF15 in direct ELISAs.

Clonality

Monoclonal

Host

Rabbit

Isotype

IgG

Endotoxin Level

<0.10 EU per 1 μg of the antibody by the LAL method.

Scientific Data Images for Human TL1A/TNFSF15 Antibody

Detection of Human TL1A/TNFSF15 antibody by Western Blot.

Detection of Human TL1A/TNFSF15 by Western Blot.

Western blot shows lysates of HT-29 human colon adenocarcinoma cell line and human pancreas tissue. PVDF membrane was probed with 1 µg/mL of Rabbit Anti-Human TL1A/TNFSF15 Monoclonal Antibody (Catalog # MAB74422) followed by HRP-conjugated Anti-Rabbit IgG Secondary Antibody (HAF008). A specific band was detected for TL1A/TNFSF15 at approximately 22 kDa (as indicated). This experiment was conducted under reducing conditions and using Immunoblot Buffer Group 1.
Detection of TL1A/TNFSF15 antibody in Human PBMCs antibody by Flow Cytometry.

Detection of TL1A/TNFSF15 in Human PBMCs by Flow Cytometry.

Human peripheral blood mononuclear cells (PBMCs) were stained with (A) Rabbit Anti-Human TL1A/TNFSF15 Monoclonal Antibody (Catalog # MAB74422) or (B) Rabbit IgG control antibody (MAB1050) followed by Goat anti-Rabbit IgG PE-conjugated Secondary Antibody (F0110) and Mouse anti-Human CCR9 APC-conjugated Monoclonal Antibody (FAB1791A). Cells were gated on CD4+ lymphocytes using Mouse anti-Human CD4 FITC-conjugated Monoclonal Antibody (FAB3791F). View our protocol for Staining Membrane-associated Proteins.
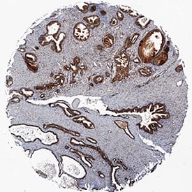
TL1A/TNFSF15 antibody in Human Prostate Cancer Tissue by Immunohistochemistry (IHC-P).

TL1A/TNFSF15 in Human Prostate Cancer Tissue.

TL1A/TNFSF15 was detected in immersion fixed paraffin-embedded sections of human prostate cancer tissue using Rabbit Anti-Human TL1A/TNFSF15 Monoclonal Antibody (Catalog # MAB74422) at 0.3 µg/mL for 1 hour at room temperature followed by incubation with the Anti-Rabbit IgG VisUCyte™ HRP Polymer Antibody (VC003). Before incubation with the primary antibody, tissue was subjected to heat-induced epitope retrieval using Antigen Retrieval Reagent-Basic (CTS013). Tissue was stained using DAB (brown) and counterstained with hematoxylin (blue). Specific staining was localized to cytoplasm in epithelial cells. View our protocol for IHC Staining with VisUCyte HRP Polymer Detection Reagents.

Applications for Human TL1A/TNFSF15 Antibody

Application
Recommended Usage

CyTOF-ready

Ready to be labeled using established conjugation methods. No BSA or other carrier proteins that could interfere with conjugation.

Flow Cytometry

0.25 µg/106 cells
Sample: Human PBMC lymphocytes and HT-29 human colon adenocarcinoma cell line

Immunohistochemistry

0.3-25 µg/mL
Sample: Immersion fixed paraffin-embedded sections of human prostate cancer tissue

Western Blot

1 µg/mL
Sample: HT‑29 human colon adenocarcinoma cell line and Human pancreas tissue

Neutralization

Measured by its ability to neutralize TL1A/TNFSF15-induced apoptosis in the TF‑1 human erythroleukemic cell line. The Neutralization Dose (ND50) is typically 0.04-0.2 μg/mL in the presence of 80 ng/mL Recombinant Human TL1A/TNFSF15.

Formulation, Preparation, and Storage

Purification

Protein A or G purified from cell culture supernatant

Reconstitution

Reconstitute at 0.5 mg/mL in sterile PBS. For liquid material, refer to CoA for concentration.

Reconstitution Buffer Available:
Size / Price
Qty
Loading...

Formulation

Lyophilized from a 0.2 μm filtered solution in PBS with Trehalose. *Small pack size (SP) is supplied either lyophilized or as a 0.2 µm filtered solution in PBS.

Shipping

Lyophilized product is shipped at ambient temperature. Liquid small pack size (-SP) is shipped with polar packs. Upon receipt, store immediately at the temperature recommended below.

Stability & Storage

Use a manual defrost freezer and avoid repeated freeze-thaw cycles.
  • 12 months from date of receipt, -20 to -70 °C as supplied.
  • 1 month, 2 to 8 °C under sterile conditions after reconstitution.
  • 6 months, -20 to -70 °C under sterile conditions after reconstitution.

Background: TL1A/TNFSF15

TL1A is a type II transmembrane protein belonging to the TNF superfamily and has been designated TNF superfamily member 15 (TNFSF15). Human TL1A is a 251 aa protein consisting of a 35 aa cytoplasmic domain, a 24 aa transmembrane region and a 192 aa C-terminal extracellular domain. It is a longer variant of the previously cloned TL1 (also known as VEGI) that is possibly a cloning artifact. TL1A is predominantly expressed in endothelial cells and its expression is inducible by TNF-alpha and IL-1 alpha. TL1A binds with high affinity to death receptor 3 (DR3), which is now designated TNF receptor superfamily member 25 (TNFRSF25). DR3 was formerly designated TNFRSF12 when it was thought to be the receptor for TWEAK/TNFSF12. DR3 is expressed primarily on activated T cells. Depending on the cell context, ligation of DR3 by TL1A can trigger one of two signaling pathways, activation of the transcription factor NF-kappa-B or activation of caspases and apoptosis. On primary T cells, TL1A induces NF-kappa-B activation and a costimulatory signal to increase IL-2 responsiveness and the secretion of proinflammatory cytokines. However, in a tumor cell line, TF-1, TL1A has been shown to induce caspase activity and apoptosis. These effects of TL1A are blocked by the secreted, soluble decoy receptor 3 (DcR3), also known as TR6 and TNFRSF6B, which compete with DR3 for binding to TL1A. Consistent with the observed in vitro activities, TL1A promotes ex vivo splenocyte expansion and enhances in vivo graft-versus-host-response.

References

  1. Migone, T.S. et al. (2002) Immunity 16:479.

Long Name

TNF-like 1

Alternate Names

TNFSF15, VEGI

Entrez Gene IDs

9966 (Human); 326623 (Mouse)

Gene Symbol

TNFSF15

UniProt

Additional TL1A/TNFSF15 Products

Product Documents for Human TL1A/TNFSF15 Antibody

Certificate of Analysis

To download a Certificate of Analysis, please enter a lot number in the search box below.

Note: Certificate of Analysis not available for kit components.

Product Specific Notices for Human TL1A/TNFSF15 Antibody

For research use only

Loading...
Loading...
Loading...
Loading...
Loading...
Loading...