Skip to main content

Key Product Details

Species Reactivity

Validated:

Human

Cited:

Human, Mouse, Rat, Xenograft

Applications

Validated:

Immunohistochemistry, ELISA, Neutralization, Dual RNAscope ISH-IHC Compatible, Immunocytochemistry

Cited:

Immunohistochemistry, Immunohistochemistry-Paraffin, Western Blot, Neutralization, Flow Cytometry, Immunocytochemistry, Immunoaffinity Purification, ELISA Capture, Flourescense Microscopy, Functional Assay, Protein Adsorption

Label

Unconjugated

Antibody Source

Polyclonal Goat IgG

Product Specifications

Immunogen

Human milk-derived Osteopontin/OPN

Specificity

Detects human Osteopontin/OPN in direct ELISAs and Western blots.

Clonality

Polyclonal

Host

Goat

Isotype

IgG

Endotoxin Level

<0.10 EU per 1 μg of the antibody by the LAL method.

Scientific Data Images for Human Osteopontin/OPN Antibody

Osteopontin/OPN antibody in HepG2 Human Cell Line by Immunocytochemistry (ICC).

Osteopontin/OPN in HepG2 Human Cell Line.

Osteopontin/OPN was detected in immersion fixed HepG2 human hepatocellular carcinoma cell line (positive staining; left panel) and Daudi human Burkitt's lymphoma cell line (negative staining; right panel) using Goat Anti-Human Osteopontin/OPN Antigen Affinity-purified Polyclonal Antibody (Catalog # AF1433) at 1.7 µg/mL for 3 hours at room temperature. Cells were stained using the NorthernLights™ 557-conjugated Anti-Goat IgG Secondary Antibody (red; Catalog # NL001) and counterstained with DAPI (blue). Specific staining was localized to cytoplasm. View our protocol for Fluorescent ICC Staining of Cells on Coverslips.
Osteopontin/OPN antibody in Human Breast Cancer Tissue by Immunohistochemistry (IHC-P).

Osteopontin/OPN in Human Breast Cancer Tissue.

Osteopontin/OPN was detected in immersion fixed paraffin-embedded sections of human breast cancer tissue using 8 µg/mL Goat Anti-Human Osteopontin/OPN Antigen Affinity-purified Polyclonal Antibody (Catalog # AF1433) overnight at 4 °C. Tissue was stained with the Anti-Goat HRP-DAB Cell & Tissue Staining Kit (brown; Catalog # CTS008) and counterstained with hematoxylin (blue). Specific labeling was localized to the surface of epithelial cells in the intralobular duct. View our protocol for Chromogenic IHC Staining of Paraffin-embedded Tissue Sections.
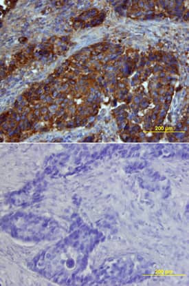
Osteopontin/OPN antibody in Human Breast Cancer Tissue by Immunohistochemistry (IHC-P).

Osteopontin/OPN in Human Breast Cancer Tissue.

Osteopontin/OPN was detected in immersion fixed paraffin-embedded sections of human breast cancer tissue using Goat Anti-Human Osteopontin/OPN Antigen Affinity-purified Polyclonal Antibody (Catalog # AF1433) at 15 µg/mL overnight at 4 °C. Tissue was stained using the Anti-Goat HRP-DAB Cell & Tissue Staining Kit (brown; Catalog # CTS008) and counterstained with hematoxylin (blue). Lower panel shows a lack of labeling if primary antibodies are omitted and tissue is stained only with secondary antibody followed by incubation with detection reagents. View our protocol for Chromogenic IHC Staining of Paraffin-embedded Tissue Sections.

Applications for Human Osteopontin/OPN Antibody

Application
Recommended Usage

Dual RNAscope ISH-IHC Compatible

5-15 µg/mL
Sample: Immersion fixed paraffin-embedded sections of human kidney

ELISA

This antibody functions as an ELISA detection antibody when paired with Mouse Anti-Human Osteopontin/OPN Monoclonal Antibody (Catalog # MAB14332R).

This product is intended for assay development on various assay platforms requiring antibody pairs. We recommend the Human Osteopontin (OPN) DuoSet ELISA Kit (Catalog # DY1433) for convenient development of a sandwich ELISA or the Human Osteopontin (OPN) Quantikine ELISA Kit (Catalog # DOST00) for a complete optimized ELISA.

Immunocytochemistry

1-15 µg/mL
Sample: Immersion fixed HepG2 human hepatocellular carcinoma cell line

Immunohistochemistry

5-15 µg/mL
Sample: Immersion fixed paraffin-embedded sections of human breast cancer tissue

Neutralization

Measured by its ability to neutralize Osteopontin/OPN-mediated adhesion of the HEK293 human embryonic kidney cell line. Hu, D.D. et al. (1995) J. Biol. Chem. 270:26232. The Neutralization Dose (ND50) is typically 0.300 - 3.60  µg/mL in the presence of 1 µg/mL Recombinant Human Osteopontin/OPN.

Formulation, Preparation, and Storage

Purification

Antigen Affinity-purified

Reconstitution

Reconstitute at 0.2 mg/mL in sterile PBS. For liquid material, refer to CoA for concentration.

Reconstitution Buffer Available:
Size / Price
Qty
Loading...

Formulation

Lyophilized from a 0.2 μm filtered solution in PBS with Trehalose. See Certificate of Analysis for details.
*Small pack size (-SP) is supplied either lyophilized or as a 0.2 µm filtered solution in PBS.

Shipping

Lyophilized product is shipped at ambient temperature. Liquid small pack size (-SP) is shipped with polar packs. Upon receipt, store immediately at the temperature recommended below.

Stability & Storage

Use a manual defrost freezer and avoid repeated freeze-thaw cycles.
  • 12 months from date of receipt, -20 to -70 °C as supplied.
  • 1 month, 2 to 8 °C under sterile conditions after reconstitution.
  • 6 months, -20 to -70 °C under sterile conditions after reconstitution.

Background: Osteopontin/OPN

Osteopontin (OPN, previously also referred to as transformation-associated secreted phosphoprotein, bone sialoprotein I, 2ar, 2B7, early T lymphocyte activation 1 protein, minopotin, calcium oxalate crystal growth inhibitor protein), is a secreted, highly acidic, calcium-binding, RGD-containing, phosphorylated glycoprotein originally isolated from bone matrix (1). Subsequently, OPN has been found in kidney, placenta, blood vessels and various tumor tissues. Many cell types (including macrophages, osteoclasts, activated T cells, fibroblasts, epithelial cells, vascular smooth muscle cells, and natural killer cells) can express OPN in response to activation by cytokines, growth factors or inflammatory mediators. Elevated expression of OPN has also been associated with numerous pathobiological conditions such as atherosclerotic plaques, renal tubulointerstitial fibrosis, granuloma formations in tuberculosis and silicosis, neointimal formation associated with balloon catheterization, metastasizing tumors, and cerebral ischemia. Human OPN cDNA encodes a 314 amino acid (aa) residue precursor protein with a 16 aa residue predicted signal peptide that is cleaved to yield a 298 aa residue mature protein with an integrin binding sequence (RGD), and N- and O-glycosylation sites. By alternative splicing, at least three human OPN isoforms exist. OPN has been shown to bind to different cell types through RGD-mediated interaction with the integrins alphav beta1, alphav beta3, alphav beta5, and non-RGD-mediated interaction with CD44 and the integrins alpha8 beta1 or alpha9 beta1. OPN exists both as a component of extracellular matrix and as a soluble molecule. Functionally, OPN is chemotactic for macrophages, smooth muscle cells, endothelial cells and glial cells. OPN has also been shown to inhibit nitric oxide production and cytotoxicity by activated macrophages. Human, mouse, rat, pig, and bovine OPN share from approximately 40-80% amino acid sequence identity. Osteopontin is a substrate for proteolytic cleavage by thrombin, enterokinase, MMP-3, and MMP-7. The functions of OPN in a variety of cell types were shown to be modified as a result of proteolytic cleavage (2, 3).

References

  1. Ann. N.Y. Acad. Sci. (1995) 760, Apr. 21.
  2. Senger, D.R. et al. (1996) Biochim. Biophys. Acta. 1314:13.
  3. Agnihotri, R. et al. (2001) J. Biol. Chem. 276:28261.

Long Name

Secreted Phosphoprotein 1 [BNSP]

Alternate Names

Eta-1, OPN, Spp1

Entrez Gene IDs

6696 (Human); 20750 (Mouse); 25353 (Rat); 281499 (Bovine)

Gene Symbol

SPP1

Additional Osteopontin/OPN Products

Product Documents for Human Osteopontin/OPN Antibody

Certificate of Analysis

To download a Certificate of Analysis, please enter a lot number in the search box below.

Note: Certificate of Analysis not available for kit components.

Product Specific Notices for Human Osteopontin/OPN Antibody

For research use only

Loading...
Loading...
Loading...
Loading...