Skip to main content

Key Product Details

Species Reactivity

Human, Mouse, Rat

Applications

Immunohistochemistry, Western Blot, Intracellular Staining by Flow Cytometry, Immunocytochemistry, Simple Western, CyTOF-ready

Label

Unconjugated

Antibody Source

Recombinant Monoclonal Rabbit IgG Clone # 2562A

Product Specifications

Immunogen

Mouse myeloma cell line NS0-derived mouse SF20/MYDGF
Val25-Leu166
Accession # Q9CPT4

Specificity

Detects mouse SF20/MYDGF in direct ELISAs. Detects human, mouse, and rat SF20/MYDGF in Western blots.

Clonality

Monoclonal

Host

Rabbit

Isotype

IgG

Scientific Data Images for Human/Mouse/Rat SF20/MYDGF Antibody

Detection of Human, Mouse, and Rat SF20/MYDGF antibody by Western Blot.

Detection of Human, Mouse, and Rat SF20/MYDGF by Western Blot.

Western blot shows lysates of HT-2 mouse T cell line, NIH-3T3 mouse embryonic fibroblast cell line, DU145 human prostate carcinoma cell line, NRK rat normal kidney cell line, and Rat-2 rat embryonic fibroblast cell line. PVDF membrane was probed with 1 µg/mL of Rabbit Anti-Human/Mouse/Rat SF20/MYDGF Monoclonal Antibody (Catalog # MAB1104) followed by HRP-conjugated Anti-Rabbit IgG Secondary Antibody (Catalog # HAF008). A specific band was detected for SF20/MYDGF at approximately 18 kDa (as indicated). This experiment was conducted under reducing conditions and using Immunoblot Buffer Group 1.
Detection of SF20/MYDGF on Tramp-C1 Mouse Cell Line antibody by Flow Cytometry.

Detection of SF20/MYDGF on Tramp-C1 Mouse Cell Line by Flow Cytometry.

Tramp-C1 mouse cell line was stained with Rabbit Anti-Human/Mouse/Rat SF20/MYDGF Monoclonal Antibody (Catalog # MAB1104, filled histogram) or Rabbit IgG isotype control antibody (Catalog # MAB1050, open histogram) followed by APC-conjugated Anti-Rabbit IgG Secondary Antibody (Catalog # F0111). To facilitate intracellular staining, cells were fixed with paraformaldehyde and permeabilized with saponin. View our protocol for Staining Intracellular Molecules.
SF20/MYDGF antibody in RAW 264 by Immunocytochemistry (ICC).7 Mouse Cell Line by Immunocytochemistry (ICC).

SF20/MYDGF in RAW 264.7 Mouse Cell Line.

SF20/MYDGF was detected in immersion fixed RAW 264.7 mouse monocyte/macrophage cell line using Rabbit Anti-Mouse SF20/MYDGF Monoclonal Antibody (Catalog # MAB1104) at 3 µg/mL for 3 hours at room temperature. Cells were stained using the NorthernLights™ 557-conjugated Anti-Rabbit IgG Secondary Antibody (red; Catalog # NL004) and counterstained with DAPI (blue). Specific staining was localized to cytoplasm. View our protocol for Fluorescent ICC Staining of Cells on Coverslips.

Applications for Human/Mouse/Rat SF20/MYDGF Antibody

Application
Recommended Usage

CyTOF-ready

Ready to be labeled using established conjugation methods. No BSA or other carrier proteins that could interfere with conjugation.

Immunocytochemistry

3-25 µg/mL
Sample: Immersion fixed RAW 264.7 mouse monocyte/macrophage cell line

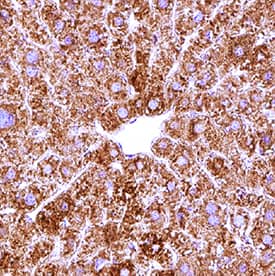
Immunohistochemistry

0.3-25 µg/mL
Sample: Immersion fixed paraffin-embedded sections of human liver

Intracellular Staining by Flow Cytometry

0.25 µg/106 cells
Sample: Mouse Tramp-C1 cell line

Simple Western

20 µg/mL
Sample: HT‑2 mouse T cell line and Rat‑2 rat embryonic fibroblast cell line

Western Blot

1 µg/mL
Sample: HT‑2 mouse T cell line, NIH‑3T3 mouse embryonic fibroblast cell line, DU145 human prostate carcinoma cell line, NRK rat normal kidney cell line, and Rat‑2 rat embryonic fibroblast cell line

Reviewed Applications

Read 1 review rated 5 using MAB1104 in the following applications:

Formulation, Preparation, and Storage

Purification

Protein A or G purified from cell culture supernatant

Reconstitution

Reconstitute at 0.5 mg/mL in sterile PBS. For liquid material, refer to CoA for concentration.

Reconstitution Buffer Available:
Size / Price
Qty
Loading...

Formulation

Lyophilized from a 0.2 μm filtered solution in PBS with Trehalose. *Small pack size (SP) is supplied either lyophilized or as a 0.2 µm filtered solution in PBS.

Shipping

Lyophilized product is shipped at ambient temperature. Liquid small pack size (-SP) is shipped with polar packs. Upon receipt, store immediately at the temperature recommended below.

Stability & Storage

Use a manual defrost freezer and avoid repeated freeze-thaw cycles.
  • 12 months from date of receipt, -20 to -70 °C as supplied.
  • 1 month, 2 to 8 °C under sterile conditions after reconstitution.
  • 6 months, -20 to -70 °C under sterile conditions after reconstitution.

Background: SF20/MYDGF

Myeloid-Derived Growth Factor, or MYDGF, is a Bone marrow-derived monocyte protein, and it is correlated with enhanced metabolic activity, suppression of apoptosis, and stimulation of cell proliferation (1). MYDGF is expressed predominantly in inflammatory cells, such as monocytes and macrophages (1). Up-regulation of MYDGF expression was also found during adipocyte differentiation (2). Expression of MYDGF was induced in the circulation and heart tissue after myocardial infarction. It promotes cardiac myocyte survival by stimulating endothelial cell proliferation through a MAPK1/3-, STAT3- and CCND1-mediated signaling pathway, and inhibits cardiac myocyte apoptosis in a PI3K/AKT-dependent signaling pathway (1). MYDGF was found over-expressed in approximately two-thirds of Hepatocellular Carcinoma (HCC) tissues, and its expression was significantly positively correlated with that of alpha-fetoprotein (AFP) (3). In HCC, MYDGF could regulate cell proliferation through activating Akt/mitogen-activated protein kinase pathways (3). Mouse MYDGF shares 92% amino acid sequence identity with both human and rat MYDGF. Intriguingly, virtually all homologs of MYDGF have a C-terminal putative ER retention sequence BXEL (B: Arg, His, or Lys; X: variable residue; E: Glu; L: Leu), which has the potential to retain human MYDGF and its homologs in the ER, whereas truncated MYDGF without BXEL is secreted from the cell (4). However, the functions of these different forms remain unclear.

References

  1. Korf-Klingebiel, M. et al. (2015) Nat. Med. 10:3778.
  2. Wang, P. et al. (2004) Cell. Mol. Life Sci. 61:2405.
  3. Sunagozaka, H. et al. (2011) Int. J. Cancer 129:1576.
  4. Bortnov, V. et al. (2018) J. Biol. Chem. 293:13166.

Long Name

Stromal Cell-derived Growth Factor SF20

Alternate Names

C19orf10, Ly6elg, MYDGF

Entrez Gene IDs

56005 (Human); 28106 (Mouse)

Gene Symbol

MYDGF

UniProt

Additional SF20/MYDGF Products

Product Documents for Human/Mouse/Rat SF20/MYDGF Antibody

Certificate of Analysis

To download a Certificate of Analysis, please enter a lot number in the search box below.

Note: Certificate of Analysis not available for kit components.

Product Specific Notices for Human/Mouse/Rat SF20/MYDGF Antibody

For research use only

Loading...
Loading...
Loading...
Loading...
Loading...