Skip to main content

Human ErbB2/Her2 Antibody

R&D Systems, part of Bio-Techne | Catalog # MAB1129

Catalog #
Availability
Size / Price
Qty
Loading...
MAB1129-100
MAB1129-500
MAB1129-SP

Key Product Details

Species Reactivity

Validated:

Human

Cited:

Human, Mouse

Applications

Validated:

Immunohistochemistry, Western Blot, ELISA Capture (Matched Antibody Pair), Flow Cytometry, Immunocytochemistry, CyTOF-ready

Cited:

Western Blot, Flow Cytometry, Immunocytochemistry, Immunoprecipitation, ELISA Capture, Luminex Development

Label

Unconjugated

Antibody Source

Monoclonal Mouse IgG2B Clone # 191924

Product Specifications

Immunogen

Mouse myeloma cell line NS0-derived recombinant human ErbB2/Her2
Thr23-Thr652
Accession # P04626

Specificity

Detects human ErbB2/Her2 in ELISAs and Western blots. In ELISAs and Western blots, this antibody does not cross-react with recombinant human (rh) EGF R, rhErbB3, or rhErbB4.

Clonality

Monoclonal

Host

Mouse

Isotype

IgG2B

Scientific Data Images for Human ErbB2/Her2 Antibody

Detection of ErbB2/Her2 antibody in MCF-7 Human Cell Line antibody by Flow Cytometry.

Detection of ErbB2/Her2 in MCF‑7 Human Cell Line by Flow Cytometry.

MCF-7 human breast cancer cell line was stained with Mouse Anti-Human ErbB2/Her2 Monoclonal Antibody (Catalog # MAB1129, filled histogram) or isotype control antibody (Catalog # MAB0041, open histogram), followed by Phycoerythrin-conjugated Anti-Mouse IgG Secondary Antibody (Catalog # F0102B). View our protocol for Staining Membrane-associated Proteins.
Detection of ErbB2/Her2 antibody in MDA-MB-453 Human Cell Line antibody by Flow Cytometry.

Detection of ErbB2/Her2 in MDA-MB-453 Human Cell Line by Flow Cytometry.

MDA-MB-453 human breast cancer cell line was stained with Mouse Anti-Human ErbB2/Her2 Monoclonal Antibody (Catalog # MAB1129, filled histogram) or isotype control antibody (Catalog # MAB0041, open histogram), followed by Phycoerythrin-conjugated Anti-Mouse IgG Secondary Antibody (Catalog # F0102B). View our protocol for Staining Membrane-associated Proteins.
ErbB2/Her2 antibody in MDA-MB-231 Human Cell Line by Immunocytochemistry (ICC).

ErbB2/Her2 in MDA‑MB‑231 Human Cell Line.

ErbB2/Her2 was detected in immersion fixed MDA-MB-231 human breast cancer cell line using Mouse Anti-Human ErbB2/Her2 Monoclonal Antibody (Catalog # MAB1129) at 10 µg/mL for 3 hours at room temperature. Cells were stained using the NorthernLights™ 557-conjugated Anti-Mouse IgG Secondary Antibody (yellow; Catalog # NL007) and counterstained with DAPI (blue). View our protocol for Fluorescent ICC Staining of Cells on Coverslips.

Applications for Human ErbB2/Her2 Antibody

Application
Recommended Usage

CyTOF-ready

Ready to be labeled using established conjugation methods. No BSA or other carrier proteins that could interfere with conjugation.

Flow Cytometry

0.25 µg/106 cells
Sample: MCF‑7 human breast cancer cell line and MDA-MB-453 human breast cancer cell line

Immunocytochemistry

8-25 µg/mL
Sample: Immersion fixed MDA-MB-231 human breast cancer cell line

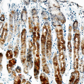
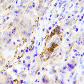
Immunohistochemistry

8-25 µg/mL
Sample:  Immersion fixed paraffin-embedded sections of human stomach and human breast cancer

Western Blot

1 µg/mL
Sample: Recombinant Human ErbB2/Her2 Fc Chimera (Catalog # 1129-ER)
under non-reducing conditions only

Human ErbB2/Her2 Sandwich Immunoassay

ELISA Capture (Matched Antibody Pair)
Recommended Concentration: 2-8 µg/mL
Use in combination with these reagents:
  • Detection Reagent: Human ErbB2/Her2 Biotinylated Antibody (Catalog # BAF1129)
  • Standard: Recombinant Human ErbB2/Her2 Fc Chimera Protein, CF (Catalog # 1129-ER)
Please Note: Optimal dilutions of this antibody should be experimentally determined.

Reviewed Applications

Read 2 reviews rated 5 using MAB1129 in the following applications:

Formulation, Preparation, and Storage

Purification

Protein A or G purified from hybridoma culture supernatant

Reconstitution

Reconstitute at 0.5 mg/mL in sterile PBS. For liquid material, refer to CoA for concentration.

Reconstitution Buffer Available:
Size / Price
Qty
Loading...

Formulation

Lyophilized from a 0.2 μm filtered solution in PBS with Trehalose. *Small pack size (SP) is supplied either lyophilized or as a 0.2 µm filtered solution in PBS.

Shipping

Lyophilized product is shipped at ambient temperature. Liquid small pack size (-SP) is shipped with polar packs. Upon receipt, store immediately at the temperature recommended below.

Stability & Storage

Use a manual defrost freezer and avoid repeated freeze-thaw cycles.
  • 12 months from date of receipt, -20 to -70 °C as supplied.
  • 1 month, 2 to 8 °C under sterile conditions after reconstitution.
  • 6 months, -20 to -70 °C under sterile conditions after reconstitution.

Background: ErbB2/Her2

ErbB2, also called Neu and Her2 (human epidermal growth factor receptor 2), is a type I membrane glycoprotein that is a member of the ErbB family of tyrosine kinase receptors. ErbB family members serve as receptors for the epidermal growth factor (EGF) family of growth factors. ErbB2 is widely expressed in epithelial cells and has also been found to be over-expressed in a large number of breast carcinomas. Among ErbB family members, ErbB2 is unique in that it has no identified ligands. Rather, ErbB2 heterodimerizes with the other members of the ErbB family (ErbB1 (EGF R), ErbB3, ErbB4) to form higher affinity signaling complexes. Because ErbB3 contains a defective kinase domain, the kinase domain of ErbB2 is responsible for initiating the tyrosine phosphorylation signal through the heterodimeric receptor. It has been found that a discrete three amino acid signal in the ErbB3 cytoplasmic domain is critical for transactivation of ErbB2. Interestingly, this same three amino acid signal has also been found in ErbB1 and ErbB4. Phosphoinositide 3-kinase has been shown to play a role in ErbB2 signal transduction. The cytoplasmic domain of ErbB2 has been shown to associate with beta-catenin and plakoglobin. Human ErbB2 consists of 1255 amino acids (aa) with a 21 aa signal sequence, a 631 aa extracellular domain, a 23 aa transmembrane region, and a 580 aa cytoplasmic domain. ErbB2 can be shed from the cell surface by proteolytic cleavage by an unidentified protease. ErbB2 appears to play roles in development, cancer, communication at the neuromuscular junction, and regulation of cell growth and differentiation (1-10).

References

  1. Coussens, L. et. al. (1985) Science 230:1132.
  2. Yamamoto, T. et. al. (1986) Nature 319:230.
  3. Kanai, Y. et. al. (1995) Biochem. Biophys. Res. Commun. 208:1067.
  4. Codony-Servat, J. et. al. (1999) Cancer Res. 59:1196.
  5. Carraway, K.L. 3rd et. al.  (1994) J. Biol. Chem. 269:14303.
  6. Emkey, R. and C.R. Kahn (1997) J. Biol. Chem. 272:31172.
  7. Schaefer, G. et. al. (1999) J. Biol. Chem. 274:859.
  8. Schlessinger, J. (2000) Cell 103:211.
  9. Hellyer, N.J. et. al. (2001) J. Biol. Chem. 276:42153.
  10. Daly, R.J. (1999) Growth Factors 16:255.

Long Name

Receptor Tyrosine Protein Kinase ErbB2

Alternate Names

CD340, HER2, Neu Oncogene, NGL, TKR1

Entrez Gene IDs

2064 (Human); 13866 (Mouse); 24337 (Rat); 102146608 (Cynomolgus Monkey)

Gene Symbol

ERBB2

UniProt

Additional ErbB2/Her2 Products

Product Documents for Human ErbB2/Her2 Antibody

Certificate of Analysis

To download a Certificate of Analysis, please enter a lot number in the search box below.

Note: Certificate of Analysis not available for kit components.

Product Specific Notices for Human ErbB2/Her2 Antibody

For research use only

Loading...
Loading...
Loading...
Loading...
Loading...
Loading...