Skip to main content

Key Product Details

Species Reactivity

Validated:

Human

Cited:

Human

Applications

Validated:

Immunohistochemistry, Western Blot, ELISA Detection (Matched Antibody Pair), Immunocytochemistry

Cited:

Western Blot, Detection Antibody, ELISA Capture, ELISA Detection, ELISA Microarray Development, Functional Assay, Immunoassay Development, Luminex Development

Label

Biotin

Antibody Source

Polyclonal Goat IgG

Product Specifications

Immunogen

Mouse myeloma cell line NS0-derived recombinant human ErbB2
Thr23-Thr652
Accession # P04626

Specificity

Detects human ErbB2 in ELISAs and Western blots. In sandwich immunoassays, less than 0.3% cross-reactivity with recombinant human (rh) ErbB3, rhErbB4, and rhEGF R is observed.

Clonality

Polyclonal

Host

Goat

Isotype

IgG

Scientific Data Images for Human ErbB2/Her2 Biotinylated Antibody

ErbB2/Her2 antibody in MCF-7 Human Cell Line by Immunocytochemistry (ICC).

ErbB2/Her2 in MCF-7 Human Cell Line.

ErbB2/Her2 was detected in immersion fixed MCF-7 human breast cancer cell line using Goat Anti-Human ErbB2/Her2 Biotinylated Antigen Affinity-purified Polyclonal Antibody (Catalog # BAF1129) at 10 µg/mL for 3 hours at room temperature. Cells were stained using the NorthernLights™ 557-conjugated Streptavidin (yellow; Catalog # NL999) and counterstained with DAPI (blue). View our protocol for Fluorescent ICC Staining of Cells on Coverslips.
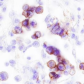
ErbB2/Her2 antibody in Human Breast Cancer Tissue by Immunohistochemistry (IHC-P).

ErbB2/Her2 in Human Breast Cancer Tissue.

ErbB2/Her2 was detected in immersion fixed paraffin-embedded sections of human breast cancer tissue using Goat Anti-Human ErbB2/Her2 Biotinylated Antigen Affinity-purified Polyclonal Antibody (Catalog # BAF1129) at 15 µg/mL overnight at 4 °C. Tissue was stained using the Anti-Goat HRP-DAB Cell & Tissue Staining Kit (brown; Catalog # CTS008) and counterstained with hematoxylin (blue). Specific staining was localized to plasma membrane. View our protocol for Chromogenic IHC Staining of Paraffin-embedded Tissue Sections.

Applications for Human ErbB2/Her2 Biotinylated Antibody

Application
Recommended Usage

Immunocytochemistry

5-15 µg/mL
Sample: Immersion fixed MCF-7 human breast cancer cell line

Immunohistochemistry

5-15 µg/mL
Sample: Immersion fixed paraffin-embedded sections of human breast cancer tissue

Western Blot

0.1 µg/mL
Sample: Recombinant Human ErbB2/Her2 Fc Chimera (Catalog # 1129-ER)

Human ErbB2/Her2 Sandwich Immunoassay

ELISA Detection (Matched Antibody Pair)
Recommended Concentration: 0.1-0.4 µg/mL
Use in combination with these reagents:
  • Capture Reagent: Human ErbB2/Her2 Antibody (Catalog # MAB1129)
  • Standard: Recombinant Human ErbB2/Her2 Fc Chimera Protein, CF (Catalog # 1129-ER)
Please Note: Optimal dilutions of this antibody should be experimentally determined.

Reviewed Applications

Read 1 review rated 5 using BAF1129 in the following applications:

Formulation, Preparation, and Storage

Purification

Antigen Affinity-purified

Reconstitution

Reconstitute at 0.2 mg/mL in sterile PBS.

Reconstitution Buffer Available:
Size / Price
Qty
Loading...

Formulation

Lyophilized from a 0.2 μm filtered solution in PBS with BSA as a carrier protein.

Shipping

The product is shipped at ambient temperature. Upon receipt, store it immediately at the temperature recommended below.

Stability & Storage

Use a manual defrost freezer and avoid repeated freeze-thaw cycles.
  • 12 months from date of receipt, -20 to -70 °C as supplied.
  • 1 month, 2 to 8 °C under sterile conditions after reconstitution.
  • 6 months, -20 to -70 °C under sterile conditions after reconstitution.

Background: ErbB2/Her2

ErbB2, also called Neu and Her2 (human epidermal growth factor receptor 2), is a type I membrane glycoprotein that is a member of the ErbB family of tyrosine kinase receptors. ErbB family members serve as receptors for the epidermal growth factor (EGF) family of growth factors. ErbB2 is widely expressed in epithelial cells and has also been found to be over-expressed in a large number of breast carcinomas. Among ErbB family members, ErbB2 is unique in that it has no identified ligands. Rather, ErbB2 heterodimerizes with the other members of the ErbB family (ErbB1 (EGF R), ErbB3, ErbB4) to form higher affinity signaling complexes. Because ErbB3 contains a defective kinase domain, the kinase domain of ErbB2 is responsible for initiating the tyrosine phosphorylation signal through the heterodimeric receptor. It has been found that a discrete three amino acid signal in the ErbB3 cytoplasmic domain is critical for transactivation of ErbB2. Interestingly, this same three amino acid signal has also been found in ErbB1 and ErbB4. Phosphoinositide 3-kinase has been shown to play a role in ErbB2 signal transduction. The cytoplasmic domain of ErbB2 has been shown to associate with beta-catenin and plakoglobin. Human ErbB2 consists of 1255 amino acids (aa) with a 21 aa signal sequence, a 631 aa extracellular domain, a 23 aa transmembrane region, and a 580 aa cytoplasmic domain. ErbB2 can be shed from the cell surface by proteolytic cleavage by an unidentified protease. ErbB2 appears to play roles in development, cancer, communication at the neuromuscular junction and regulation of cell growth and differentiation (1-10).

References

  1. Coussens, L. et al. (1985) Science 230:1132.
  2. Yamamoto, T. et al. (1986) Nature 319:230.
  3. Kanai, Y. et al. (1995) Biochem. Biophys. Res. Commun. 208:1067.
  4. Codony-Servat, J. et al. (1999) Cancer Res. 59:1196.
  5. Carraway, K.L. 3rd et al.  (1994) J. Biol. Chem. 269:14303.
  6. Emkey, R. and C.R. Kahn (1997) J. Biol. Chem. 272:31172.
  7. Schaefer, G. et al. (1999) J. Biol. Chem. 274:859.
  8. Schlessinger, J. (2000) Cell 103:211.
  9. Hellyer, N.J. et al. (2001) J. Biol. Chem. 276:42153.
  10. Daly, R.J. (1999) Growth Factors 16:255.

Long Name

Receptor Tyrosine Protein Kinase ErbB2

Alternate Names

CD340, HER2, Neu Oncogene, NGL, TKR1

Entrez Gene IDs

2064 (Human); 13866 (Mouse); 24337 (Rat); 102146608 (Cynomolgus Monkey)

Gene Symbol

ERBB2

UniProt

Additional ErbB2/Her2 Products

Product Documents for Human ErbB2/Her2 Biotinylated Antibody

Certificate of Analysis

To download a Certificate of Analysis, please enter a lot number in the search box below.

Note: Certificate of Analysis not available for kit components.

Product Specific Notices for Human ErbB2/Her2 Biotinylated Antibody

For research use only

Loading...
Loading...
Loading...
Loading...