Skip to main content

Human CD63 Antibody

R&D Systems, part of Bio-Techne | Catalog # MAB50482

Recombinant Monoclonal Antibody.
R&D Systems, part of Bio-Techne
Catalog #
Availability
Size / Price
Qty
Loading...
MAB50482-100
MAB50482-SP

Key Product Details

Species Reactivity

Validated:

Human

Cited:

Human, Porcine

Applications

Validated:

Immunohistochemistry, Western Blot, Flow Cytometry, Simple Western, CyTOF-ready

Cited:

Western Blot, Simple Western

Label

Unconjugated

Antibody Source

Recombinant Monoclonal Rabbit IgG Clone # 2585J

Product Specifications

Immunogen

Chinese Hamster Ovary cell line CHO-derived human CD63
Ala103-Val203
Accession # P08962-1

Specificity

Detects human CD63 in direct ELISAs.

Clonality

Monoclonal

Host

Rabbit

Isotype

IgG

Scientific Data Images for Human CD63 Antibody

Detection of Human CD63 antibody by Western Blot.

Detection of Human CD63 by Western Blot.

Western blot shows lysates of human platelets. PVDF membrane was probed with 0.5 µg/mL of Rabbit Anti-Human CD63 Monoclonal Antibody (Catalog # MAB50482) followed by HRP-conjugated Anti-Rabbit IgG Secondary Antibody (HAF008). A specific band was detected for CD63 at approximately 55 kDa (as indicated). This experiment was conducted under reducing conditions and using Immunoblot Buffer Group 1.
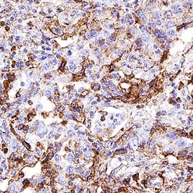
CD63 antibody in Human Lung Cancer Tissue by Immunohistochemistry (IHC-P).

CD63 in Human Lung Cancer Tissue.

CD63 was detected in immersion fixed paraffin-embedded sections of human lung cancer tissue using Rabbit Anti-Human CD63 Monoclonal Antibody (Catalog # MAB50482) at 0.3 µg/mL for 1 hour at room temperature followed by incubation with the Anti-Rabbit IgG VisUCyte™ HRP Polymer Antibody (VC003). Before incubation with the primary antibody, tissue was subjected to heat-induced epitope retrieval using Antigen Retrieval Reagent-Basic (Catalog # CTS013). Tissue was stained using DAB (brown) and counterstained with hematoxylin (blue). Specific staining was localized to cell membrane in sperm cells. View our protocol for IHC Staining with VisUCyte HRP Polymer Detection Reagents.
Detection of CD63 antibody in Human PBMC antibody by Flow Cytometry.

Detection of CD63 in Human PBMC by Flow Cytometry.

Human PBMC were stained with Rabbit Anti-Human CD63 Monoclonal Antibody (Catalog # MAB50482, filled histogram) or isotype control antibody (Catalog # MAB1050, open histogram), followed by Phycoerythrin-conjugated Anti-Rabbit IgG Secondary Antibody (F0111). To facilitate intracellular staining, cells were fixed and permeabilized with FlowX FoxP3/Transcription Factor Fixation & Perm Buffer Kit (FC012). View our protocol for Staining Intracellular Molecules.

Applications for Human CD63 Antibody

Application
Recommended Usage

CyTOF-ready

Ready to be labeled using established conjugation methods. No BSA or other carrier proteins that could interfere with conjugation.

Flow Cytometry

0.25 µg/106 cells
Sample: Human PBMCs fixed and permeabilized with FlowX FoxP3/Transcription Factor Fixation & Perm Buffer Kit (Catalog # FC012); PBMC monocytes (surface stain)

Immunohistochemistry

0.3-25 µg/mL
Sample: Immersion fixed paraffin-embedded sections of human lung cancer tissue

Simple Western

20 µg/mL
Sample: Human platelets

Western Blot

0.5 µg/mL
Sample: Human platelets

Reviewed Applications

Read 1 review rated 5 using MAB50482 in the following applications:

Formulation, Preparation, and Storage

Purification

Protein A or G purified from cell culture supernatant

Reconstitution

Reconstitute at 0.5 mg/mL in sterile PBS. For liquid material, refer to CoA for concentration.

Reconstitution Buffer Available:
Size / Price
Qty
Loading...

Formulation

Lyophilized from a 0.2 μm filtered solution in PBS with Trehalose. *Small pack size (SP) is supplied either lyophilized or as a 0.2 µm filtered solution in PBS.

Shipping

Lyophilized product is shipped at ambient temperature. Liquid small pack size (-SP) is shipped with polar packs. Upon receipt, store immediately at the temperature recommended below.

Stability & Storage

Use a manual defrost freezer and avoid repeated freeze-thaw cycles.
  • 12 months from date of receipt, -20 to -70 °C as supplied.
  • 1 month, 2 to 8 °C under sterile conditions after reconstitution.
  • 6 months, -20 to -70 °C under sterile conditions after reconstitution.

Background: CD63

CD63, also known as LAMP-3 or ME491 (melanoma-associated antigen), is a 30-60 kDa member of the tetraspanin superfamily of protein trafficking proteins. CD63 is ubiquitously expressed and found in late endocytic vesicles, but following cell activation is also present on the plasma membrane. Interaction of CD63 with other membrane proteins or adaptors regulates cell activities such as adhesion, migration and degranulation. Extracellular regions of human CD63 share 67% and 65% amino acid sequence identity with mouse and rat CD63, respectively.

Alternate Names

CD63, Granulophysin, Lamp-3, ME491, OMA81H, Tspan30

Entrez Gene IDs

967 (Human); 12512 (Mouse); 29186 (Rat); 474391 (Canine)

Gene Symbol

CD63

UniProt

Additional CD63 Products

Product Documents for Human CD63 Antibody

Certificate of Analysis

To download a Certificate of Analysis, please enter a lot number in the search box below.

Note: Certificate of Analysis not available for kit components.

Product Specific Notices for Human CD63 Antibody

For research use only

Loading...
Loading...
Loading...
Loading...
Loading...