Skip to main content

hnRNP F Antibody (OTI5F5) - Azide and BSA Free

Novus Biologicals, part of Bio-Techne | Catalog # NBP2-70907

Novus Biologicals, part of Bio-Techne

Key Product Details

Species Reactivity

Human, Mouse, Rat

Applications

Immunohistochemistry, Immunohistochemistry-Paraffin, Western Blot, Flow Cytometry, Immunocytochemistry/ Immunofluorescence, CyTOF-ready

Label

Unconjugated

Antibody Source

Monoclonal Mouse IgG2A Clone # OTI5F5

Format

Azide and BSA Free

Concentration

LYOPH mg/ml

Product Specifications

Immunogen

Full length human recombinant protein of human HNRNPF (NP_004957) produced in HEK293T cell.

Reactivity Notes

Please note that this antibody is reactive to Mouse and derived from the same host, Mouse. Mouse-On-Mouse blocking reagent may be needed for IHC and ICC experiments to reduce high background signal. You can find these reagents under catalog numbers PK-2200-NB and MP-2400-NB. Please contact Technical Support if you have any questions.

Clonality

Monoclonal

Host

Mouse

Isotype

IgG2A

Theoretical MW

45.7 kDa.
Disclaimer note: The observed molecular weight of the protein may vary from the listed predicted molecular weight due to post translational modifications, post translation cleavages, relative charges, and other experimental factors.

Description

Novus Biologicals Mouse hnRNP F Antibody (OTI5F5) - Azide and BSA Free (NBP2-02221) is a monoclonal antibody validated for use in IHC, WB, Flow and ICC/IF. All Novus Biologicals antibodies are covered by our 100% guarantee.

Scientific Data Images for hnRNP F Antibody (OTI5F5) - Azide and BSA Free

Western Blot: hnRNP F Antibody (OTI5F5)Azide and BSA Free [NBP2-70907]

Western Blot: hnRNP F Antibody (OTI5F5)Azide and BSA Free [NBP2-70907]

Western Blot: hnRNP F Antibody (OTI5F5) - Azide and BSA Free [NBP2-70907] - HEK293T cells were transfected with the pCMV6-ENTRY control (Left lane) or pCMV6-ENTRY hnRNP F (Right lane) cDNA for 48 hrs and lysed. Equivalent amounts of cell lysates (5 ug per lane) were separated by SDS-PAGE and immunoblotted with anti-hnRNP F.
Immunocytochemistry/ Immunofluorescence: hnRNP F Antibody (OTI5F5) - Azide and BSA Free [NBP2-70907]

Immunocytochemistry/ Immunofluorescence: hnRNP F Antibody (OTI5F5) - Azide and BSA Free [NBP2-70907]

Immunocytochemistry/Immunofluorescence: hnRNP F Antibody (OTI5F5) - Azide and BSA Free [NBP2-70907] - Staining of COS7 cells transiently transfected by pCMV6-ENTRY hnRNP F.
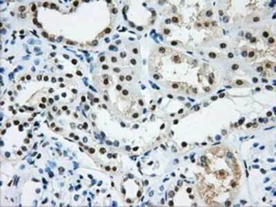
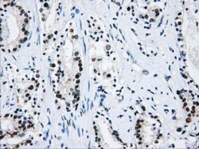
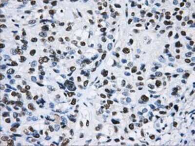
Immunohistochemistry: hnRNP F Antibody (OTI5F5) - Azide and BSA Free [NBP2-70907]

Immunohistochemistry: hnRNP F Antibody (OTI5F5) - Azide and BSA Free [NBP2-70907]

Immunohistochemistry: hnRNP F Antibody (OTI5F5) - Azide and BSA Free [NBP2-70907] - Staining of paraffin-embedded Human liver tissue using anti-hnRNP F mouse monoclonal antibody.

Applications for hnRNP F Antibody (OTI5F5) - Azide and BSA Free

Application
Recommended Usage

Flow Cytometry

1:100

Immunocytochemistry/ Immunofluorescence

1:50-100

Immunohistochemistry

1:50

Western Blot

1:2000

Formulation, Preparation, and Storage

Purification

Immunogen affinity purified

Reconstitution

we recommend adding 100uL distilled water to a final antibody concentration of about 1 mg/mL. To use this carrier-free antibody for conjugation experiment, we strongly recommend performing another round of desalting process.

Formulation

Lyophilized from PBS (pH 7.3) with 8% Trehalose

Format

Azide and BSA Free

Preservative

No Preservative

Concentration

LYOPH mg/ml

Shipping

The product is shipped with polar packs. Upon receipt, store it immediately at the temperature recommended below.

Stability & Storage

Store at -20C. Avoid freeze-thaw cycles.

Background: hnRNP F

Heterogeneous nuclear ribonucleoproteins (hnRNPs) constitute a set of polypeptides that contribute to pre-mRNA processing and transport, and also bind heterogeneous nuclear RNA (hnRNA), which are the transcripts produced by RNA polymerase II. hnRNP complexes are the major constituents of the spliceosome and in particular, the hnRNP A1 protein is one of the major premRNA/ mRNA binding proteins and also one of the most abundant proteins in the nucleus. hnRNP A1 and A2/B1 regulate the processing of pre-mRNA by directly antagonizing the association of various splicing factors and by influencing the splice site selection on pre-mRNA. The majority of hnRNP proteins components are localized to the nucleus; however some shuttle between the nucleus and the cytoplasm. Most hnRNP proteins, including hnRNP C1 and C2, contain one or more RNA binding domains and are implicated in the processing of pre-mRNA. hnRNPs F and H are largely related factors that preferentially associate with poly(rG) regions on RNA. Isoforms of these proteins are often generated by alternative processing of the premRNA and by posttranslational modifications such as phosphorylation on serines and threonines and methylation of arginines.

Alternate Names

heterogeneous nuclear ribonucleoprotein F, hnRNP F, HNRPFHnRNP F protein, mcs94-1, MGC110997, Nucleolin-like protein mcs94-1, OK/SW-cl.23

Gene Symbol

HNRNPF

Additional hnRNP F Products

Product Documents for hnRNP F Antibody (OTI5F5) - Azide and BSA Free

Certificate of Analysis

To download a Certificate of Analysis, please enter a lot number in the search box below.

Product Specific Notices for hnRNP F Antibody (OTI5F5) - Azide and BSA Free

This product is for research use only and is not approved for use in humans or in clinical diagnosis. Primary Antibodies are guaranteed for 1 year from date of receipt.

Loading...
Loading...
Loading...
Loading...
Loading...
Loading...