Skip to main content

hnRNP F Antibody (OTI5F5)

Novus Biologicals, part of Bio-Techne | Catalog # NBP2-02221

Novus Biologicals, part of Bio-Techne
Catalog #
Availability
Size / Price
Qty
Loading...
NBP2-02221

Key Product Details

Species Reactivity

Human, Mouse, Rat

Applications

Flow Cytometry, Immunocytochemistry/ Immunofluorescence, Immunohistochemistry, Immunohistochemistry-Paraffin, Western Blot

Label

Unconjugated

Antibody Source

Monoclonal Mouse IgG2A Clone # OTI5F5

Concentration

1 mg/ml

Product Specifications

Immunogen

Full length human recombinant protein of human HNRNPF (NP_004957) produced in HEK293T cell.

Reactivity Notes

Please note that this antibody is reactive to Mouse and derived from the same host, Mouse. Mouse-On-Mouse blocking reagent may be needed for IHC and ICC experiments to reduce high background signal. You can find these reagents under catalog numbers PK-2200-NB and MP-2400-NB. Please contact Technical Support if you have any questions.

Clonality

Monoclonal

Host

Mouse

Isotype

IgG2A

Theoretical MW

45.7 kDa.
Disclaimer note: The observed molecular weight of the protein may vary from the listed predicted molecular weight due to post translational modifications, post translation cleavages, relative charges, and other experimental factors.

Description

Novus Biologicals Mouse hnRNP F Antibody (OTI5F5) (NBP2-02221) is a monoclonal antibody validated for use in IHC, WB, Flow and ICC/IF. All Novus Biologicals antibodies are covered by our 100% guarantee.

Scientific Data Images for hnRNP F Antibody (OTI5F5)

Western Blot: hnRNP F Antibody (OTI5F5) [NBP2-02221]

Western Blot: hnRNP F Antibody (OTI5F5) [NBP2-02221]

Western Blot: hnRNP F Antibody (5F5) [NBP2-02221] - HEK293T cells were transfected with the pCMV6-ENTRY control (Left lane) or pCMV6-ENTRY hnRNP F (Right lane) cDNA for 48 hrs and lysed. Equivalent amounts of cell lysates (5 ug per lane) were separated by SDS-PAGE and immunoblotted with anti-hnRNP F.
Immunocytochemistry/Immunofluorescence: hnRNP F Antibody (5F5) [NBP2-02221] Staining of COS7 cells transiently transfected by pCMV6-ENTRY hnRNP F.
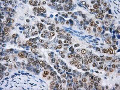
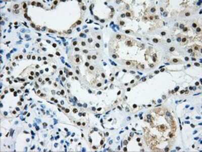
Immunohistochemistry-Paraffin: hnRNP F Antibody (OTI5F5) [NBP2-02221]

Immunohistochemistry-Paraffin: hnRNP F Antibody (OTI5F5) [NBP2-02221]

Immunohistochemistry-Paraffin: hnRNP F Antibody (5F5) [NBP2-02221] - Staining of paraffin-embedded Human prostate tissue using anti-hnRNP F mouse monoclonal antibody.

Applications for hnRNP F Antibody (OTI5F5)

Application
Recommended Usage

Flow Cytometry

1:100

Immunocytochemistry/ Immunofluorescence

1:50-100

Immunohistochemistry

1:50

Immunohistochemistry-Paraffin

1:50

Western Blot

1:2000

Formulation, Preparation, and Storage

Purification

Immunogen affinity purified

Formulation

PBS (pH 7.3), 1.0% BSA and 50% Glycerol

Preservative

0.02% Sodium Azide

Concentration

1 mg/ml

Shipping

The product is shipped with polar packs. Upon receipt, store it immediately at the temperature recommended below.

Stability & Storage

Store at -20C. Avoid freeze-thaw cycles.

Background: hnRNP F

This gene belongs to the subfamily of ubiquitously expressed heterogeneous nuclear ribonucleoproteins (hnRNPs). The hnRNPs are RNA binding proteins that complex with heterogeneous nuclear RNA (hnRNA). These proteins are associated with pre-mRNAs in the nucleus and regulate alternative splicing, polyadenylation, and other aspects of mRNA metabolism and transport. While all of the hnRNPs are present in the nucleus, some seem to shuttle between the nucleus and the cytoplasm. The hnRNP proteins have distinct nucleic acid binding properties. The protein encoded by this gene has three repeats of quasi-RRM domains that bind to RNAs which have guanosine-rich sequences. This protein is very similar to the family member hnRPH. Multiple alternatively spliced variants, encoding the same protein, have been identified.

Alternate Names

heterogeneous nuclear ribonucleoprotein F, hnRNP F, HNRPFHnRNP F protein, mcs94-1, MGC110997, Nucleolin-like protein mcs94-1, OK/SW-cl.23

Entrez Gene IDs

3185 (Human)

Gene Symbol

HNRNPF

Additional hnRNP F Products

Product Documents for hnRNP F Antibody (OTI5F5)

Certificate of Analysis

To download a Certificate of Analysis, please enter a lot number in the search box below.

Product Specific Notices for hnRNP F Antibody (OTI5F5)

This product is for research use only and is not approved for use in humans or in clinical diagnosis. Primary Antibodies are guaranteed for 1 year from date of receipt.

Loading...
Loading...
Loading...
Loading...
Loading...