Skip to main content

HLA DRB1 Antibody (HLA-DRB/1067) - Azide and BSA Free

Novus Biologicals, part of Bio-Techne | Catalog # NBP2-47671

Novus Biologicals, part of Bio-Techne
Catalog #
Availability
Size / Price
Qty
Loading...
NBP2-47671-0.1mg

Key Product Details

Species Reactivity

Human, Monkey

Applications

Immunohistochemistry, Immunohistochemistry-Paraffin, Western Blot, Flow Cytometry, Immunofluorescence, Immunocytochemistry/ Immunofluorescence, CyTOF-ready

Label

Unconjugated

Antibody Source

Monoclonal Mouse IgG2b Kappa Clone # HLA-DRB/1067

Format

Azide and BSA Free

Concentration

1.0 mg/ml

Product Specifications

Immunogen

Activated human peripheral blood mononuclear cells

Localization

Cell surface

Specificity

This monoclonal antibody reacts with the beta-chain of HLA-DRB1 antigen, a member of MHC class II molecules. It does not cross react with HLA-DP and HLA-DQ. Its epitope is different from that of monoclonal antibody L243. HLA-DR is a heterodimeric cell surface glycoprotein comprised of a 36kDa alpha (heavy) chain and a 28kDa beta (light) chain. It is expressed on B-cells, activated T-cells, monocytes/macrophages, dendritic cells and other non-professional APCs. In conjunction with the CD3/TCR complex and CD4 molecules, HLA-DR is critical for efficient peptide presentation to CD4+ T cells. It is an excellent histiocytic marker in paraffin sections producing intense cytoplasmic staining. True histiocytic neoplasms are similarly positive. HLA-DR antigens also occur on a variety of epithelial cells and their corresponding neoplastic counterparts. Loss of HLA-DR expression is related to tumor microenvironment and predicts adverse outcome in diffuse large B-cell lymphoma.

Clonality

Monoclonal

Host

Mouse

Isotype

IgG2b Kappa

Description

1.0 mg/ml of antibody purified from Bioreactor Concentrate by Protein A/G. Prepared in 10mM PBS WITHOUT BSA & azide. Also available at 200 ug/ml WITH BSA & azide (NBP2-45314).

Antibody with azide - store at 2 to 8C. Antibody without azide - store at -20 to -80C.

Scientific Data Images for HLA DRB1 Antibody (HLA-DRB/1067) - Azide and BSA Free

Western Blot: HLA DRB1 Antibody (HLA-DRB/1067)Azide and BSA Free [NBP2-47671]

Western Blot: HLA DRB1 Antibody (HLA-DRB/1067)Azide and BSA Free [NBP2-47671]

Western Blot: HLA DRB1 Antibody (HLA-DRB/1067) - Azide and BSA Free [NBP2-47671] - Western Blot Analysis of Ramos cell and human spleen tissue lysate using HLA DRB1 Antibody (HLA-DRB/1067).
Immunocytochemistry/ Immunofluorescence: HLA DRB1 Antibody (HLA-DRB/1067) - Azide and BSA Free [NBP2-47671]

Immunocytochemistry/ Immunofluorescence: HLA DRB1 Antibody (HLA-DRB/1067) - Azide and BSA Free [NBP2-47671]

Immunocytochemistry/Immunofluorescence: HLA DRB1 Antibody (HLA-DRB/1067) - Azide and BSA Free [NBP2-47671] - Immunofluorescence Analysis of Raji cells labeling HLA-DR with HLA DRB1 Antibody (HLA-DRB/1067) conjugated with APC (Green). The nuclear counterstain is Red Dot (Red)
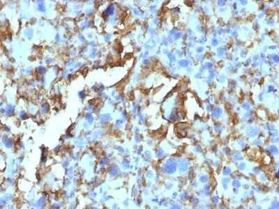
Immunohistochemistry-Paraffin: HLA DRB1 Antibody (HLA-DRB/1067) - Azide and BSA Free [NBP2-47671]

Immunohistochemistry-Paraffin: HLA DRB1 Antibody (HLA-DRB/1067) - Azide and BSA Free [NBP2-47671]

Immunohistochemistry-Paraffin: HLA DRB1 Antibody (HLA-DRB/1067) - Azide and BSA Free [NBP2-47671] - Human Tonsil stained with HLA-DRB Monoclonal Antibody (HLA-DRB/1067).

Applications for HLA DRB1 Antibody (HLA-DRB/1067) - Azide and BSA Free

Application
Recommended Usage

Flow Cytometry

0.5 - 1 ug/million cells in 0.1 ml

Immunofluorescence

0.5 - 1.0 ug/ml

Immunohistochemistry-Paraffin

0.25 - 0.5 ug/ml

Western Blot

0.5 - 1.0 ug/ml
Application Notes
Immunohistochemistry (Formalin-fixed): 0.25-0.5ug/ml for 30 minutes at RT. Staining of formalin-fixed tissues requires heating tissue sections in 10mM Tris with 1mM EDTA, pH 9.0, for 45 min at 95C followed by cooling at RT for 20 minutes.
Optimal dilution for a specific application should be determined.

Formulation, Preparation, and Storage

Purification

Protein A or G purified

Formulation

10 mM PBS

Format

Azide and BSA Free

Preservative

No Preservative

Concentration

1.0 mg/ml

Shipping

The product is shipped with polar packs. Upon receipt, store it immediately at the temperature recommended below.

Stability & Storage

Store at -20 to -80C. Avoid freeze-thaw cycles.

Background: HLA-DRB1

HLA DRB1 can be used for HLA typing.

Long Name

Major histocompatibility complex, class II, DR beta 1

Alternate Names

DRB1, HLA-DR1B, HLA-DRB, SS1

Gene Symbol

HLA-DRB1

Additional HLA-DRB1 Products

Product Documents for HLA DRB1 Antibody (HLA-DRB/1067) - Azide and BSA Free

Certificate of Analysis

To download a Certificate of Analysis, please enter a lot number in the search box below.

Product Specific Notices for HLA DRB1 Antibody (HLA-DRB/1067) - Azide and BSA Free

This product is for research use only and is not approved for use in humans or in clinical diagnosis. Primary Antibodies are guaranteed for 1 year from date of receipt.

Loading...
Loading...
Loading...
Loading...
Loading...
Loading...