HLA DRB1 Antibody (HLA-DRB/1067)
Novus Biologicals, part of Bio-Techne | Catalog # NBP2-45314
Conjugate
Catalog #
Forumulation
Catalog #
Key Product Details
Species Reactivity
Human, Monkey
Applications
Flow Cytometry, Immunocytochemistry/ Immunofluorescence, Immunofluorescence, Immunohistochemistry, Immunohistochemistry-Paraffin, Western Blot
Label
Unconjugated
Antibody Source
Monoclonal Mouse IgG2b Kappa Clone # HLA-DRB/1067
Concentration
0.2 mg/ml
Product Specifications
Immunogen
Activated human peripheral blood mononuclear cells
Localization
Cell surface
Specificity
This monoclonal antibody reacts with the beta-chain of HLA-DRB1 antigen, a member of MHC class II molecules. It does not cross react with HLA-DP and HLA-DQ. Its epitope is different from that of monoclonal antibody L243. HLA-DR is a heterodimeric cell surface glycoprotein comprised of a 36kDa alpha (heavy) chain and a 28kDa beta (light) chain. It is expressed on B-cells, activated T-cells, monocytes/macrophages, dendritic cells and other non-professional APCs. In conjunction with the CD3/TCR complex and CD4 molecules, HLA-DR is critical for efficient peptide presentation to CD4+ T cells. It is an excellent histiocytic marker in paraffin sections producing intense cytoplasmic staining. True histiocytic neoplasms are similarly positive. HLA-DR antigens also occur on a variety of epithelial cells and their corresponding neoplastic counterparts. Loss of HLA-DR expression is related to tumor microenvironment and predicts adverse outcome in diffuse large B-cell lymphoma.
Clonality
Monoclonal
Host
Mouse
Isotype
IgG2b Kappa
Description
200ug/ml of antibody purified from Bioreactor Concentrate by Protein A or G. Prepared in 10 mM PBS with 0.05% BSA & 0.05% azide. Also available WITHOUT BSA & azide at 1.0 mg/ml. (NBP2-47671)
Antibody with azide - store at 2 to 8C. Antibody without azide - store at -20 to -80C.
Antibody with azide - store at 2 to 8C. Antibody without azide - store at -20 to -80C.
Scientific Data Images for HLA DRB1 Antibody (HLA-DRB/1067)
Western Blot: HLA DRB1 Antibody (HLA-DRB/1067) [NBP2-45314]
Western Blot: HLA DRB1 Antibody (HLA-DRB/1067) [NBP2-45314] - Western Blot Analysis of Ramos cell and human spleen tissue lysate using HLA DRB1 Antibody (HLA-DRB/1067).Immunocytochemistry/ Immunofluorescence: HLA DRB1 Antibody (HLA-DRB/1067) [NBP2-45314]
Immunocytochemistry/Immunofluorescence: HLA DRB1 Antibody (HLA-DRB/1067) [NBP2-45314] - ICC/IF analysis of Raji cells labeling HLA-DR with conjugated with APC (Green). The nuclear counterstain is Red Dot (Red)Immunohistochemistry-Paraffin: HLA DRB1 Antibody (HLA-DRB/1067) [NBP2-45314]
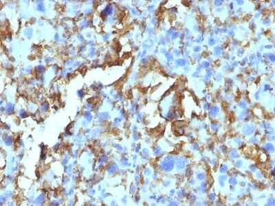
Immunohistochemistry-Paraffin: HLA DRB1 Antibody (HLA-DRB/1067) [NBP2-45314] - Human Tonsil stained with HLA-DRB Monoclonal Antibody (HLA-DRB/1067).Applications for HLA DRB1 Antibody (HLA-DRB/1067)
Application
Recommended Usage
Flow Cytometry
1-2 ug/million cells
Immunocytochemistry/ Immunofluorescence
1-4 ug/ml
Immunofluorescence
0.5 - 1.0 ug/ml
Immunohistochemistry-Paraffin
0.25-0.5 ug/ml
Western Blot
1-2 ug/ml
Application Notes
Immunohistochemistry (Formalin-fixed): 0.25-0.5ug/ml for 30 minutes at RT. Staining of formalin-fixed tissues requires heating tissue sections in 10mM Tris with 1mM EDTA, pH 9.0, for 45 min at 95C followed by cooling at RT for 20 minutes.
Optimal dilution for a specific application should be determined.
Optimal dilution for a specific application should be determined.
Formulation, Preparation, and Storage
Purification
Protein A or G purified
Formulation
10 mM PBS with 0.05% BSA
Preservative
0.05% Sodium Azide
Concentration
0.2 mg/ml
Shipping
The product is shipped with polar packs. Upon receipt, store it immediately at the temperature recommended below.
Stability & Storage
Store at 4C.
Background: HLA-DRB1
Long Name
Major histocompatibility complex, class II, DR beta 1
Alternate Names
DRB1, HLA-DR1B, HLA-DRB, SS1
Gene Symbol
HLA-DRB1
UniProt
Additional HLA-DRB1 Products
Product Documents for HLA DRB1 Antibody (HLA-DRB/1067)
Product Specific Notices for HLA DRB1 Antibody (HLA-DRB/1067)
This product is for research use only and is not approved for use in humans or in clinical diagnosis. Primary Antibodies are guaranteed for 1 year from date of receipt.
Loading...
Loading...
Loading...
Loading...
Loading...