Skip to main content

GSTO2 Antibody (OTI2A12) - Azide and BSA Free

Novus Biologicals, part of Bio-Techne | Catalog # NBP2-72371

Novus Biologicals, part of Bio-Techne

Key Product Details

Species Reactivity

Human, Rat

Applications

Immunohistochemistry, Immunohistochemistry-Paraffin, Western Blot, Flow Cytometry

Label

Unconjugated

Antibody Source

Monoclonal Mouse IgG2A Clone # OTI2A12

Format

Azide and BSA Free

Concentration

LYOPH mg/ml

Product Specifications

Immunogen

Full length human recombinant protein of human GSTO2(NP_899062) produced in HEK293T cell.

Clonality

Monoclonal

Host

Mouse

Isotype

IgG2A

Theoretical MW

28.1 kDa.
Disclaimer note: The observed molecular weight of the protein may vary from the listed predicted molecular weight due to post translational modifications, post translation cleavages, relative charges, and other experimental factors.

Description

Novus Biologicals Mouse GSTO2 Antibody (OTI2A12) - Azide and BSA Free (NBP2-01626) is a monoclonal antibody validated for use in IHC, WB and Flow. All Novus Biologicals antibodies are covered by our 100% guarantee.

Scientific Data Images for GSTO2 Antibody (OTI2A12) - Azide and BSA Free

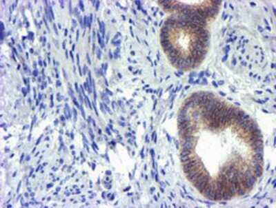
Immunohistochemistry: GSTO2 Antibody (OTI2A12) - Azide and BSA Free [NBP2-72371]

Immunohistochemistry: GSTO2 Antibody (OTI2A12) - Azide and BSA Free [NBP2-72371]

Immunohistochemistry: GSTO2 Antibody (OTI2A12) - Azide and BSA Free [NBP2-72371] - Staining of paraffin-embedded Carcinoma of Human thyroid tissue using anti-GSTO2 mouse monoclonal antibody.
Flow Cytometry: GSTO2 Antibody (OTI2A12) - Azide and BSA Free [NBP2-72371]

Flow Cytometry: GSTO2 Antibody (OTI2A12) - Azide and BSA Free [NBP2-72371]

Flow Cytometry: GSTO2 Antibody (OTI2A12) - Azide and BSA Free [NBP2-72371] - HEK293T cells were transfected with the pCMV6-ENTRY control (Left lane) or pCMV6-ENTRY GSTO2 (Right lane) cDNA for 48 hrs and lysed. Equivalent amounts of cell lysates (5 ug per lane) were separated by SDS-PAGE and immunoblotted with anti-GSTO2.
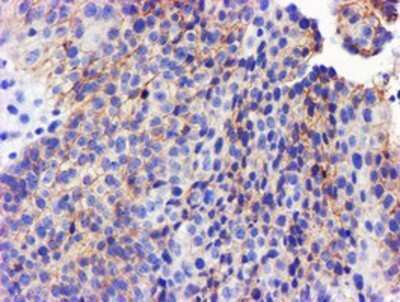
Immunohistochemistry: GSTO2 Antibody (OTI2A12) - Azide and BSA Free [NBP2-72371]

Immunohistochemistry: GSTO2 Antibody (OTI2A12) - Azide and BSA Free [NBP2-72371]

Immunohistochemistry: GSTO2 Antibody (OTI2A12) - Azide and BSA Free [NBP2-72371] - Staining of paraffin-embedded Adenocarcinoma of Human endometrium tissue using anti-GSTO2 mouse monoclonal antibody.

Applications for GSTO2 Antibody (OTI2A12) - Azide and BSA Free

Application
Recommended Usage

Immunohistochemistry

1:150

Western Blot

1:2000

Formulation, Preparation, and Storage

Purification

Immunogen affinity purified

Reconstitution

we recommend adding 100uL distilled water to a final antibody concentration of about 1 mg/mL. To use this carrier-free antibody for conjugation experiment, we strongly recommend performing another round of desalting process.

Formulation

Lyophilized from PBS (pH 7.3) with 8% Trehalose

Format

Azide and BSA Free

Preservative

No Preservative

Concentration

LYOPH mg/ml

Shipping

The product is shipped with polar packs. Upon receipt, store it immediately at the temperature recommended below.

Stability & Storage

Store at -20C. Avoid freeze-thaw cycles.

Background: GSTO2

The omega class glutathione transferases (GST; EC 2.5.1.18) have poor activity with common GST substrates, but exhibit novel glutathione-dependent thioltransferase, dehydroascorbate reductase, and monomethylarsonate reductase activities, and they modulate Ca(2+) release by ryanodine receptors (e.g., RYR1, MIM 180901) (Whitbread et al., 2003 [PubMed 12618591]). For background information on GSTs, see MIM 605482.[supplied by OMIM]

Alternate Names

bA127L20.1, bA127L20.1 (novel glutathione-S-transferase), EC 2.5.1.18, glutathione S-transferase omega 2, glutathione S-transferase omega-2, glutathione-S-transferase-like protein, GSTO-2

Gene Symbol

GSTO2

Additional GSTO2 Products

Product Documents for GSTO2 Antibody (OTI2A12) - Azide and BSA Free

Certificate of Analysis

To download a Certificate of Analysis, please enter a lot number in the search box below.

Product Specific Notices for GSTO2 Antibody (OTI2A12) - Azide and BSA Free

This product is for research use only and is not approved for use in humans or in clinical diagnosis. Primary Antibodies are guaranteed for 1 year from date of receipt.

Loading...
Loading...
Loading...
Loading...
Loading...
Loading...