Skip to main content

GSTO2 Antibody (OTI2A12)

Novus Biologicals, part of Bio-Techne | Catalog # NBP2-01626

Novus Biologicals, part of Bio-Techne

Key Product Details

Species Reactivity

Human, Rat

Applications

Immunohistochemistry, Immunohistochemistry-Paraffin, Western Blot

Label

Unconjugated

Antibody Source

Monoclonal Mouse IgG2A Clone # OTI2A12

Concentration

0.78 mg/ml

Product Specifications

Immunogen

Full length human recombinant protein of human GSTO2(NP_899062) produced in HEK293T cell.

Clonality

Monoclonal

Host

Mouse

Isotype

IgG2A

Theoretical MW

28.1 kDa.
Disclaimer note: The observed molecular weight of the protein may vary from the listed predicted molecular weight due to post translational modifications, post translation cleavages, relative charges, and other experimental factors.

Description

Novus Biologicals Mouse GSTO2 Antibody (OTI2A12) (NBP2-01626) is a monoclonal antibody validated for use in IHC and WB. All Novus Biologicals antibodies are covered by our 100% guarantee.

Scientific Data Images for GSTO2 Antibody (OTI2A12)

Western Blot: GSTO2 Antibody (OTI2A12) [NBP2-01626]

Western Blot: GSTO2 Antibody (OTI2A12) [NBP2-01626]

Western Blot: GSTO2 Antibody (OTI2A12) [NBP2-01626] - HEK293T cells were transfected with the pCMV6-ENTRY control (Left lane) or pCMV6-ENTRY GSTO2 (Right lane) cDNA for 48 hrs and lysed. Equivalent amounts of cell lysates (5 ug per lane) were separated by SDS-PAGE and immunoblotted with anti-GSTO2.
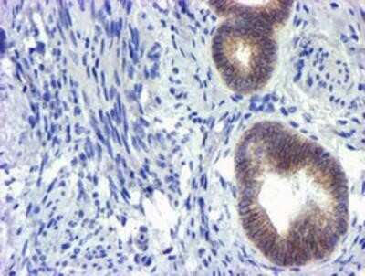
Immunohistochemistry-Paraffin: GSTO2 Antibody (OTI2A12) [NBP2-01626]

Immunohistochemistry-Paraffin: GSTO2 Antibody (OTI2A12) [NBP2-01626]

Immunohistochemistry-Paraffin: GSTO2 Antibody (OTI2A12) [NBP2-01626] - Staining of paraffin-embedded Human endometrium tissue using anti-GSTO2 mouse monoclonal antibody.
Immunohistochemistry-Paraffin: GSTO2 Antibody (OTI2A12) [NBP2-01626]

Immunohistochemistry-Paraffin: GSTO2 Antibody (OTI2A12) [NBP2-01626]

Immunohistochemistry-Paraffin: GSTO2 Antibody (OTI2A12) [NBP2-01626] - Staining of paraffin-embedded Adenocarcinoma of Human endometrium tissue using anti-GSTO2 mouse monoclonal antibody.

Applications for GSTO2 Antibody (OTI2A12)

Application
Recommended Usage

Immunohistochemistry

1:150

Immunohistochemistry-Paraffin

1:150

Western Blot

1:2000

Formulation, Preparation, and Storage

Purification

Immunogen affinity purified

Formulation

PBS (pH 7.3), 1.0% BSA and 50% Glycerol

Preservative

0.02% Sodium Azide

Concentration

0.78 mg/ml

Shipping

The product is shipped with polar packs. Upon receipt, store it immediately at the temperature recommended below.

Stability & Storage

Store at -20C. Avoid freeze-thaw cycles.

Background: GSTO2

The protein encoded by this gene is an omega class glutathione S-transferase (GST). GSTs are involved in the metabolism of xenobiotics and carcinogens. Four transcript variants encoding different isoforms have been found for this gene.

Alternate Names

bA127L20.1, bA127L20.1 (novel glutathione-S-transferase), EC 2.5.1.18, glutathione S-transferase omega 2, glutathione S-transferase omega-2, glutathione-S-transferase-like protein, GSTO-2

Entrez Gene IDs

119391 (Human)

Gene Symbol

GSTO2

Additional GSTO2 Products

Product Documents for GSTO2 Antibody (OTI2A12)

Certificate of Analysis

To download a Certificate of Analysis, please enter a lot number in the search box below.

Product Specific Notices for GSTO2 Antibody (OTI2A12)

This product is for research use only and is not approved for use in humans or in clinical diagnosis. Primary Antibodies are guaranteed for 1 year from date of receipt.

Loading...
Loading...
Loading...
Loading...