Skip to main content

Dysferlin Antibody (CL10888) - Azide and BSA Free

Novus Biologicals, part of Bio-Techne | Catalog # NBP3-43895

Novus Biologicals, part of Bio-Techne

Key Product Details

Validated by

Orthogonal Validation

Species Reactivity

Human

Applications

Immunohistochemistry-Paraffin, Western Blot

Label

Unconjugated

Antibody Source

Monoclonal Mouse IgG1 Clone # CL10888

Format

Azide and BSA Free

Concentration

LYOPH mg/ml

Product Specifications

Immunogen

This antibody was generated using a recombinant protein sequence of O75923, with the exact immunogen sequence remaining proprietary.

Clonality

Monoclonal

Host

Mouse

Isotype

IgG1

Description

Novus Biologicals Mouse Dysferlin Antibody (CL10888) - Azide and BSA Free (NBP3-07994) is a monoclonal antibody validated for use in IHC and WB. All Novus Biologicals antibodies are covered by our 100% guarantee.

Scientific Data Images for Dysferlin Antibody (CL10888) - Azide and BSA Free

Dysferlin Antibody (CL10888) - Azide and BSA Free Immunohistochemistry-Paraffin: Dysferlin Antibody [NBP3-43895]

Immunohistochemistry-Paraffin: Dysferlin Antibody [NBP3-43895]

Analysis in human spleen and skin tissues using NBP3-43895 antibody. Corresponding Dysferlin RNA-seq data are presented for the same tissues.
Dysferlin Antibody (CL10888) - Azide and BSA Free Immunohistochemistry-Paraffin: Dysferlin Antibody [NBP3-43895]

Immunohistochemistry-Paraffin: Dysferlin Antibody [NBP3-43895]

Staining of human lymph node shows strong membranous positivity in non-germinal center cells and endothelial cells.
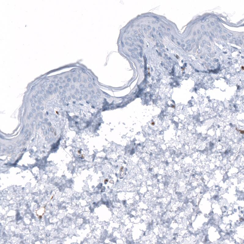
Dysferlin Antibody (CL10888) - Azide and BSA Free Immunohistochemistry-Paraffin: Dysferlin Antibody [NBP3-43895]

Immunohistochemistry-Paraffin: Dysferlin Antibody [NBP3-43895]

Staining of human skin shows no positivity in keratinocytes as expected.

Applications for Dysferlin Antibody (CL10888) - Azide and BSA Free

Application
Recommended Usage

Immunohistochemistry-Paraffin

1:1000 - 1:2500

Western Blot

1 ug/ml
Application Notes
For IHC-Paraffin, HIER pH 6 retrieval is recommended.

Formulation, Preparation, and Storage

Purification

Protein A purified

Reconstitution

Centrifuge the vial of lyophilized antibody at 12,000 x g for 20 seconds. Reconstitute by adding sterile, distilled water to achieve a final antibody concentration of 1mg/ml.

Formulation

Lyophilized from a 0.2 um filtered solution in PBS with Trehalose

Format

Azide and BSA Free

Preservative

No Preservative

Concentration

LYOPH mg/ml

Shipping

The product is shipped at ambient temperature. Upon receipt, store it immediately at the temperature recommended below.

Stability & Storage

Store at 4C short term. Aliquot and store at -20C long term. Avoid freeze-thaw cycles.

Background: Dysferlin

Dysferlin is the protein product of the 2p13 gene that is defective in patients with Limb-Girdle Muscular Dystrophy type 2B (LGMD2B) and Miyoshi Myopathy (MM). Dysferlin is normally localized to the muscle plasma membrane. In patients with LGMD2B and MM, immunoreactivity to dysferlin is severely reduced or lost, depending on the type of mutation. This antibody is used for the characterization of LGMD2B and MM.

Alternate Names

dysferlin, dysferlin, limb girdle muscular dystrophy 2B (autosomal recessive), dystrophy-associated fer-1-like 1, FER1L1Dystrophy-associated fer-1-like protein, Fer-1-like protein 1, FLJ00175, FLJ90168, LGMD2B

Gene Symbol

DYSF

Additional Dysferlin Products

Product Documents for Dysferlin Antibody (CL10888) - Azide and BSA Free

Certificate of Analysis

To download a Certificate of Analysis, please enter a lot number in the search box below.

Product Specific Notices for Dysferlin Antibody (CL10888) - Azide and BSA Free

This product is for research use only and is not approved for use in humans or in clinical diagnosis. Primary Antibodies are guaranteed for 1 year from date of receipt.

Loading...
Loading...
Loading...
Loading...
Loading...