Skip to main content

Recombinant Human Latent TGF-beta 1 Protein

R&D Systems, part of Bio-Techne | Catalog # 299-LT

Soon to be discontinued. New Cat# will be 299-LTB
R&D Systems, part of Bio-Techne
Discontinued Product
299-LT has been discontinued. An alternative/replacement product is available: 299-LTB. View all TGF-beta 1 products.

Key Product Details

Source

CHO

Accession #

Conjugate

Unconjugated

Applications

Bioactivity

Product Specifications

Source

Chinese Hamster Ovary cell line, CHO-derived human TGF-beta 1 protein
Leu30-Ser390

Purity

>97%, by SDS-PAGE under reducing conditions and visualized by silver stain.

Endotoxin Level

<0.10 EU per 1 μg of the protein by the LAL method.

N-terminal Sequence Analysis

Leu30 (LAP) & Ala279 (Mature)

Predicted Molecular Mass

28.5 kDa (LAP) & 12.8 kDa (Mature), Monomer

SDS-PAGE

36-42 kDa & 11 kDa, reducing conditions
80-95 kDa & 24 kDa, non-reducing conditions

Activity

Measured by its ability to inhibit the IL-4-dependent proliferation of HT-2 mouse T cells. Tsang, M. et al. (1995) Cytokine 7:389.
The ED50 for this effect is 10-70 ng/mL before acid activation and 0.15‑0.9 ng/mL after acid activation.

Reviewed Applications

Read 3 reviews rated 5 using 299-LT in the following applications:

Scientific Data Images for Recombinant Human Latent TGF-beta 1 Protein

Recombinant Human Latent TGF-beta 1 Protein Bioactivity

Recombinant Human Latent TGF-beta 1 Protein Bioactivity

Recombinant Human Latent TGF-beta beta1 (Catalog # 299-LT) after acid activation inhibits Recombinant Mouse IL-4 (Catalog # 404-ML) induced cell proliferation in the HT-2 mouse T cell line. The ED50 for this effect is 0.15-0.9 ng/mL after acid activation.
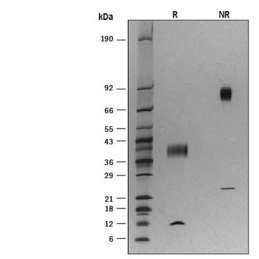
Recombinant Human Latent TGF-beta 1 Protein SDS-PAGE

Recombinant Human Latent TGF-beta 1 Protein SDS-PAGE

1 μg/lane of Recombinant Human Latent TGF‑ beta1 was resolved with SDS-PAGE under reducing (R) and non-reducing (NR) conditions and visualized by silverstaining, showing bands at 11, 36-42 kDa (R) and 24, 80-95 kDa (NR).

Formulation, Preparation and Storage

299-LT
Formulation Supplied as a 0.2 μm filtered solution in PBS and Glycerol with BSA as a carrier protein.
Shipping The product is shipped with dry ice or equivalent. Upon receipt, store it immediately at the temperature recommended below.
Stability & Storage Use a manual defrost freezer and avoid repeated freeze-thaw cycles.
  • 12 months from date of receipt, -70 °C as supplied.
  • 1 month, 2 to 8 °C under sterile conditions after opening.
  • 3 months, ≤ -20 °C under sterile conditions after opening.

Background: TGF-beta 1

TGF-  beta1 (transforming growth factor beta 1) and the closely related TGF-beta 2 and -3 are members of the large TGF-beta  superfamily. TGF-  beta proteins are highly pleiotropic cytokines that regulate processes such as immune function, proliferation and epithelial-mesenchymal transition (1-3). Human TGF-beta 1 cDNA encodes a 390 amino acid (aa) precursor that contains a 29 aa signal peptide and a 361 aa proprotein (4). A furin-like convertase processes the proprotein within the trans-Golgi to generate an N‑terminal 249 aa latency-associated peptide (LAP) and a C-terminal 112 aa mature TGF-beta 1 (4-6). Disulfide-linked homodimers of LAP and TGF-beta 1 remain non‑covalently associated after secretion, forming the small latent TGF-beta 1 complex (4-8). Purified LAP is also capable of associating with active TGF-beta with high affinity, and can neutralize TGF-beta activity (9). Covalent linkage of LAP to one of three latent TGF-beta binding proteins (LTBPs) creates a large latent complex that may interact with the extracellular matrix (5-7). TGF-beta activation from latency is controlled both spatially and temporally, by multiple pathways that include actions of proteases such as plasmin and MMP9, and/or by thrombospondin 1 or selected integrins (5, 8). The LAP portion of human TGF-beta 1 shares 91%, 92%, 85%, 86% and 88% aa identity with porcine, canine, mouse, rat and equine TGF-beta 1 LAP, respectively, while the mature human TGF-beta 1 portion shares 100% aa identity with procine, canine and bovine TGF-beta 1, and 99% aa identity with mouse, rat and equine TGF-beta 1. Although different isoforms of TGF-beta are naturally associated with their own distinct LAPs, the TGF-beta 1 LAP is capable of complexing with, and inactivating, all other human TGF-beta isoforms and those of most other species (9). Mutations within the LAP are associated with Camurati-Engelmann disease, a rare sclerosing bone dysplasia characterized by inappropriate presence of active TGF-beta 1 (10).

References

  1. Dunker, N. and K. Krieglstein (2000) Eur. J. Biochem. 267:6982.
  2. Wahl, S.M. (2006) Immunol. Rev. 213:213.
  3. Chang, H. et al. (2002) Endocr. Rev. 23:787.
  4. Derynck, R. et al. (1985) Nature 316:701.
  5. Dabovic, B. and D.B. Rifkin (2008) “TGF-beta Bioavailability” in The TGF-beta Family. Derynck, R. and K. Miyazono (eds): Cold Spring Harbor Laboratory Press, p. 179.
  6. Brunner, A.M. et al. (1989) J. Biol. Chem. 264:13660.
  7. Miyazono, K. et al. (1991) EMBO J. 10:1091.
  8. Oklu, R. and R. Hesketh (2000) Biochem. J. 352:601.
  9. Miller, D.M. et al. (1992) Mol. Endocrinol. 6:694.
  10. Janssens, K. et al. (2003) J. Biol. Chem. 278:7718.

Long Name

Transforming Growth Factor beta 1

Alternate Names

TGF beta1, TGFB, TGFB1, TGFbeta 1

Entrez Gene IDs

7040 (Human); 21803 (Mouse); 59086 (Rat); 397078 (Porcine); 100033900 (Equine)

Gene Symbol

TGFB1

UniProt

Additional TGF-beta 1 Products

Product Documents for Recombinant Human Latent TGF-beta 1 Protein

Certificate of Analysis

To download a Certificate of Analysis, please enter a lot number in the search box below.

Note: Certificate of Analysis not available for kit components.

Product Specific Notices for Recombinant Human Latent TGF-beta 1 Protein

For research use only

Loading...
Loading...