Skip to main content

Recombinant Human IFN-alpha H2/IFNA14 Protein, CF

R&D Systems, part of Bio-Techne | Catalog # 11019-IF

R&D Systems, part of Bio-Techne
Catalog #
Availability
Size / Price
Qty
Loading...
11019-IF-050
11019-IF-010

Key Product Details

  • R&D Systems HEK293-derived Recombinant Human IFN-alpha H2/IFNA14 Protein (11019-IF)
  • Quality control testing to verify active proteins with lot specific assays by in-house scientists
  • All R&D Systems proteins are covered with a 100% guarantee

Source

HEK293

Accession #

Conjugate

Unconjugated

Applications

Bioactivity

Product Specifications

Source

Human embryonic kidney cell, HEK293-derived IFN-alpha H2/IFNA14 protein
Cys24-Asp189

Purity

>95%, by SDS-PAGE under reducing conditions and visualized by silver stain.

Endotoxin Level

<0.10 EU per 1 μg of the protein by the LAL method.

N-terminal Sequence Analysis

Cys24

Predicted Molecular Mass

20 kDa

SDS-PAGE

22-26 kDa, under reducing conditions.

Activity

Measured in anti-viral assays using HeLa human cervical epithelial carcinoma cells infected with encephalomyocarditis (EMC) virus. Meager, A. (1987) in Lymphokines and Interferons, a Practical Approach. Clemens, M.J. et al. (eds): IRL Press. 129.
The ED50 for this effect is 1.50-15.0 pg/mL.

Scientific Data Images for Recombinant Human IFN-alpha H2/IFNA14 Protein, CF

Recombinant Human IFN-alpha H2/IFNA14 Protein Binding Activity.

Recombinant Human IFN-alpha H2/IFNA14 (Catalog # 11019-IF) demonstrates anti-viral activity in HeLa human cervical epithelial carcinoma cells infected with encephalomyocarditis (EMC) virus. The ED50 for this effect is 1.50-15.0 pg/mL

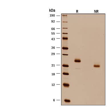
Recombinant Human IFN-alpha H2/IFNA14 Protein SDS-PAGE.

1 μg/lane of Recombinant Human IFN-alpha H2/IFNA14 Protein (Catalog # 11019-IF) was resolved with SDS-PAGE under reducing (R) and non-reducing (NR) conditions and visualized by silver staining, showing bands at 22-26 kDa, respectively.

Formulation, Preparation and Storage

11019-IF
Formulation Lyophilized from a 0.2 μm filtered solution in PBS.
Reconstitution Reconstitute at 100 μg/mL in PBS.
Shipping The product is shipped with polar packs. Upon receipt, store it immediately at the temperature recommended below.
Stability & Storage Use a manual defrost freezer and avoid repeated freeze-thaw cycles.
  • 12 months from date of receipt, -20 to -70 °C as supplied.
  • 1 month, 2 to 8 °C under sterile conditions after reconstitution.
  • 3 months, -20 to -70 °C under sterile conditions after reconstitution.

Background: IFN-alpha H2/IFNA14

Interferons (IFN) are a family of cytokines with potent antiviral, antiproliferative and immunomodulatory properties, classified based on their binding specificity to cell surface receptors (1). Human IFNA2 was originally cloned in the early ‘80s and now more than a dozen closely related IFN alpha subtypes have been identified in both the human and mouse genome, each sharing about 80% amino acid (aa) sequence homology (2-4). Structurally, type I IFNs belong to the class of five helical‑bundle cytokines, with the IFNA subtypes containing 2 conserved disulfide bonds (5). The extracellular domain (ECD) of mature human IFNA14, shares 58% aa sequence identity with mouse IFNA14. The type I IFNs bind to the interferon alpha receptor (IFNAR), which consists of two subunits: IFNAR1 (alpha‑subunit) and IFNAR2 (beta-subunit) (6, 7). Individual IFNA subtypes are known to display unique efficacies to viral protection, and IFNA14 has been shown to be a strong inducer of IFN-stimulated genes and anti-viral protection (8). IFNA14 has been shown to be potent against HIV-1 by up‑regulating the transcription of two intrinsic restriction factors with well-established anti-HIV-1 activity, MX2 and tetherin (9).

References

  1. Pestka, S. et al. (1987) Annu Rev Biochem. 56:727.
  2. Goeddel, D.V. et al. (1980) Nature 287:411.
  3. Matsumiya, T. et al. (2007) J. Immunol. 179:4542.
  4. Schreiber, G. and J. Piehler (2015) Trends Immunol. 36:139.
  5. Wittling, M.C. et al. (2021) Front Immunol. 11:605673.
  6. van Pesch, V. et al. (2004) J. Virol. 78:8219.
  7. James, C.M. et al. (2007) Vaccine. 25(10):1856.
  8. Moll, H.P. et al. (2011) Cytokine. 53:52.
  9. Lavender, K.J. et al. (2016) J Virol. 90:6001.

Long Name

Interferon alpha H2

Alternate Names

IFN-alphaH, IFNA14, IFNalpha H2, LEIF2H

Entrez Gene IDs

3448 (Human); 404549 (Mouse)

Gene Symbol

IFNA14

UniProt

Additional IFN-alpha H2/IFNA14 Products

Product Documents for Recombinant Human IFN-alpha H2/IFNA14 Protein, CF

Certificate of Analysis

To download a Certificate of Analysis, please enter a lot number in the search box below.

Note: Certificate of Analysis not available for kit components.

Product Specific Notices for Recombinant Human IFN-alpha H2/IFNA14 Protein, CF

For research use only

Loading...
Loading...
Loading...