Skip to main content

XK X-linked Kx blood group Antibody - BSA Free

Novus Biologicals, part of Bio-Techne | Catalog # NBP3-45540

Novus Biologicals, part of Bio-Techne
Catalog #
Availability
Size / Price
Qty
Loading...
NBP3-45540

Key Product Details

Species Reactivity

Human, Mouse, Rat

Applications

Immunohistochemistry, Western Blot, ELISA

Label

Unconjugated

Antibody Source

Polyclonal Rabbit IgG

Format

BSA Free

Concentration

Please see the vial label for concentration. If unlisted please contact technical services.

Product Specifications

Immunogen

Membrane transport protein XK. (Uniprot# P51811)

Clonality

Polyclonal

Host

Rabbit

Isotype

IgG

Theoretical MW

42 kDa.
Disclaimer note: The observed molecular weight of the protein may vary from the listed predicted molecular weight due to post translational modifications, post translation cleavages, relative charges, and other experimental factors.

Description

Novus Biologicals Rabbit XK X-linked Kx blood group Antibody - BSA Free (NBP3-45540) is a polyclonal antibody validated for use in IHC, WB and ELISA. All Novus Biologicals antibodies are covered by our 100% guarantee.

Scientific Data Images for XK X-linked Kx blood group Antibody - BSA Free

XK X-linked Kx blood group Antibody - BSA Free

Western Blot: XK X-linked Kx blood group Antibody - BSA Free [NBP3-45540] -

Western Blot: XK X-linked Kx blood group Antibody - BSA Free [NBP3-45540] - Mouse pancreas tissue were subjected to SDS PAGE followed by western blot with (XK X-linked Kx blood group Antibody) at dilution of 1:600
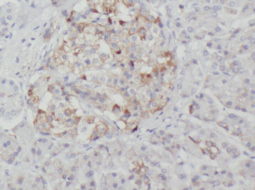
XK X-linked Kx blood group Antibody - BSA Free

Immunohistochemistry: XK X-linked Kx blood group Antibody - BSA Free [NBP3-45540] -

Immunohistochemistry: XK X-linked Kx blood group Antibody - BSA Free [NBP3-45540] - Immunohistochemistry of paraffin-embedded human pancreas cancer tissue slide using (XK X-linked Kx blood group Antibody) at dilution of 1:200

Applications for XK X-linked Kx blood group Antibody - BSA Free

Application
Recommended Usage

Immunohistochemistry

1:50-1:400

Western Blot

1:200-1:2000

Formulation, Preparation, and Storage

Purification

Immunogen affinity purified

Formulation

PBS, 50% Glycerol, pH (7.3)

Format

BSA Free

Preservative

0.02% Sodium Azide

Concentration

Please see the vial label for concentration. If unlisted please contact technical services.

Shipping

The product is shipped with polar packs. Upon receipt, store it immediately at the temperature recommended below.

Stability & Storage

Store at -20C. Avoid freeze-thaw cycles.

Background: XK X-linked Kx blood group

This locus controls the synthesis of the Kell blood group 'precursor substance' (Kx). Mutations in this gene have been associated with McLeod syndrome, an X-linked, recessive disorder characterized by abnormalities in the neuromuscular and hematopoietic systems. The encoded protein has structural characteristics of prokaryotic and eukaryotic membrane transport proteins. (provided by RefSeq)

Alternate Names

Kell blood group precursor (McLeod phenotype), Kell complex 37 kDa component, KX, Kx antigen, membrane transport protein XK, X1k, XK, Kell blood group complex subunit (McLeod syndrome), XKR1XK-related protein 1, X-linked Kx blood group (McLeod syndrome), XRG1

Gene Symbol

XK

Additional XK X-linked Kx blood group Products

Product Documents for XK X-linked Kx blood group Antibody - BSA Free

Certificate of Analysis

To download a Certificate of Analysis, please enter a lot number in the search box below.

Product Specific Notices for XK X-linked Kx blood group Antibody - BSA Free

This product is for research use only and is not approved for use in humans or in clinical diagnosis. Primary Antibodies are guaranteed for 1 year from date of receipt.

Loading...
Loading...
Loading...
Loading...