Skip to main content

Wnt3 Antibody

Novus Biologicals, part of Bio-Techne | Catalog # NB100-40793

Novus Biologicals, part of Bio-Techne
Catalog #
Availability
Size / Price
Qty
Loading...
NB100-40793

Key Product Details

Species Reactivity

Validated:

Human

Predicted:

Canine (100%), Mouse (100%), Rat (100%). Backed by our 100% Guarantee.

Applications

Immunohistochemistry, Immunohistochemistry-Paraffin, Western Blot, ELISA

Label

Unconjugated

Antibody Source

Polyclonal Goat IgG

Concentration

0.5 mg/ml

Product Specifications

Immunogen

Peptide with sequence CGRGHNTRTEKRKEK corresponding to internal region according to NP_110380.1.

Clonality

Polyclonal

Host

Goat

Isotype

IgG

Description

Novus Biologicals Goat Wnt3 Antibody (NB100-40793) is a polyclonal antibody validated for use in IHC, WB and ELISA. Anti-Wnt3 Antibody: Cited in 2 publications. All Novus Biologicals antibodies are covered by our 100% guarantee.

Scientific Data Images for Wnt3 Antibody

Western Blot: Wnt3 Antibody [NB100-40793]

Western Blot: Wnt3 Antibody [NB100-40793]

Western Blot: Wnt3 Antibody [NB100-40793] - HEK293 cell lysate (35 ug protein in RIPA buffer). Primary antibody at 1 ug/ml, 1 hr incubation. Detected by chemiluminescence.
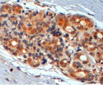
Immunohistochemistry-Paraffin: Wnt3 Antibody [NB100-40793]

Immunohistochemistry-Paraffin: Wnt3 Antibody [NB100-40793]

Immunohistochemistry-Paraffin: Wnt3 Antibody [NB100-40793] - Paraffin embedded human breast tissue. Antibody at 2 ug/ml. Steamed antigen retrieval with citrate buffer pH 6, HRP-staining.

Applications for Wnt3 Antibody

Application
Recommended Usage

ELISA

Detection limit 1:16000

Immunohistochemistry

2-4 ug/ul

Immunohistochemistry-Paraffin

2-4 ug/ml

Western Blot

1 - 3 ug/ml
Application Notes
Western blot: Approx 40 kDa band observed in lysates of cell line HEK293 (calculated MW of 39.6 kDa according to NP_110380.1).
IHC: In paraffin embedded Human Breast shows cytoplasm staining in some luminal epithelial cells.

Formulation, Preparation, and Storage

Purification

Immunogen affinity purified

Formulation

Tris saline (20 mM Tris pH 7.3, 150 mM NaCl), 0.5% BSA

Preservative

0.02% Sodium Azide

Concentration

0.5 mg/ml

Shipping

The product is shipped with polar packs. Upon receipt, store it immediately at the temperature recommended below.

Stability & Storage

Store at -20C. Avoid freeze-thaw cycles.

Background: Wnt-3

The WNT gene family consists of structurally related genes which encode secreted signaling proteins. These proteins have been implicated in oncogenesis and in several developmental processes, including regulation of cell fate and patterning during embryogenesis. This gene is a member of the WNT gene family. It encodes a protein which shows 98% amino acid identity to mouse Wnt3 protein, and 84% to human WNT3A protein, another WNT gene product. The mouse studies show the requirement of Wnt3 in primary axis formation in the mouse. Studies of the gene expression suggest that this gene may play a key role in some cases of human breast, rectal, lung, and gastric cancer through activation of the WNT-beta-catenin-TCF signaling pathway. This gene is clustered with WNT15, another family member, in the chromosome 17q21 region.

Long Name

Wingless-type MMTV Integration Site Family, Member 3

Alternate Names

INT4, TETAMS, WNT3

Entrez Gene IDs

7473 (Human); 22415 (Mouse); 24882 (Rat)

Gene Symbol

WNT3

Additional Wnt-3 Products

Product Documents for Wnt3 Antibody

Certificate of Analysis

To download a Certificate of Analysis, please enter a lot number in the search box below.

Product Specific Notices for Wnt3 Antibody

This product is for research use only and is not approved for use in humans or in clinical diagnosis. Primary Antibodies are guaranteed for 1 year from date of receipt.

Loading...
Loading...
Loading...
Loading...