Skip to main content

WIPI2 Antibody - BSA Free

Novus Biologicals, part of Bio-Techne | Catalog # NBP1-88879

Novus Biologicals, part of Bio-Techne
Catalog #
Availability
Size / Price
Qty
Loading...
NBP1-88879
NBP1-88879-25ul

Key Product Details

Species Reactivity

Human, Mouse, Rat

Applications

Immunohistochemistry, Immunohistochemistry-Paraffin, Western Blot, Immunocytochemistry/ Immunofluorescence

Label

Unconjugated

Antibody Source

Polyclonal Rabbit IgG

Format

BSA Free

Concentration

Concentrations vary lot to lot. See vial label for concentration. If unlisted please contact technical services.

Product Specifications

Immunogen

This antibody was developed against Recombinant Protein corresponding to amino acids: ECALMKQHRLDGSLETTNEILDSASHDCPLVTQTYGAAAGKGTYVPSSPTRLAYTDDLGAVGGACLEDEASALRLDEDSEHPPMILRTD

Reactivity Notes

Reactivity reported in scientific literature (PMID: 23435261)

Clonality

Polyclonal

Host

Rabbit

Isotype

IgG

Description

Novus Biologicals Rabbit WIPI2 Antibody - BSA Free (NBP1-88879) is a polyclonal antibody validated for use in IHC, WB and ICC/IF. Anti-WIPI2 Antibody: Cited in 1 publication. All Novus Biologicals antibodies are covered by our 100% guarantee.

Scientific Data Images for WIPI2 Antibody - BSA Free

Western Blot: WIPI2 Antibody [NBP1-88879]

Western Blot: WIPI2 Antibody [NBP1-88879]

Western Blot: WIPI2 Antibody [NBP1-88879] - Analysis in mouse cell line NIH-3T3 and rat cell line NBT-II.
Immunocytochemistry/ Immunofluorescence: WIPI2 Antibody [NBP1-88879]

Immunocytochemistry/ Immunofluorescence: WIPI2 Antibody [NBP1-88879]

Immunocytochemistry/Immunofluorescence: WIPI2 Antibody [NBP1-88879] - Staining of human cell line A-431 shows localization to nucleoplasm & cytosol. Antibody staining is shown in green.
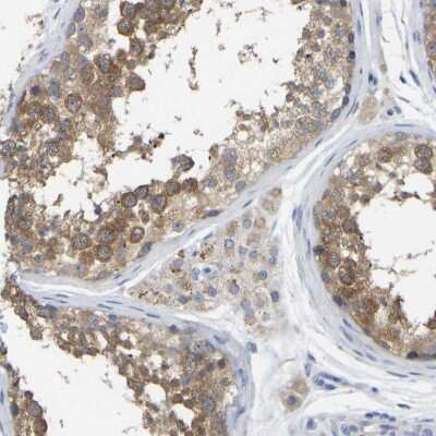
Immunohistochemistry-Paraffin: WIPI2 Antibody [NBP1-88879]

Immunohistochemistry-Paraffin: WIPI2 Antibody [NBP1-88879]

Immunohistochemistry-Paraffin: WIPI2 Antibody [NBP1-88879] - Staining of human testis shows cytoplasmic positivity in cells in seminiferous ducts and Leydig cells.

Applications for WIPI2 Antibody - BSA Free

Application
Recommended Usage

Immunocytochemistry/ Immunofluorescence

0.25-2 ug/ml

Immunohistochemistry

1:50 - 1:200

Immunohistochemistry-Paraffin

1:50 - 1:200

Western Blot

0.04-0.4 ug/ml
Application Notes
For IHC-Paraffin, HIER pH 6 retrieval is recommended. ICC/IF Fixation Permeabilization: Use PFA/Triton X-100.

Formulation, Preparation, and Storage

Purification

Immunogen affinity purified

Formulation

PBS (pH 7.2) and 40% Glycerol

Format

BSA Free

Preservative

0.02% Sodium Azide

Concentration

Concentrations vary lot to lot. See vial label for concentration. If unlisted please contact technical services.

Shipping

The product is shipped with polar packs. Upon receipt, store it immediately at the temperature recommended below.

Stability & Storage

Store at 4C short term. Aliquot and store at -20C long term. Avoid freeze-thaw cycles.

Background: WIPI2

WD40 repeat proteins are key components of many essential biologic functions. They regulate the assembly of multiprotein complexes by presenting a beta-propeller platform for simultaneous and reversible protein-protein interactions. Members of the WIPI subfamily of WD40 repeat proteins, such as WIPI2, have a 7-bladed propeller structure and contain a conserved motif for interaction with phospholipids (Proikas-Cezanne et al., 2004 [PubMed 15602573]).[supplied by OMIM]

Alternate Names

ATG18B, Atg21, CGI-50, DKFZP434J154, DKFZp686P02188, FLJ12979, FLJ14217, FLJ42984, WD repeat domain phosphoinositide-interacting protein 2, WD repeat domain, phosphoinositide interacting 2, WD40 repeat protein interacting with phosphoinositides 2, WIPI-2, WIPI49-like protein 2

Gene Symbol

WIPI2

Additional WIPI2 Products

Product Documents for WIPI2 Antibody - BSA Free

Certificate of Analysis

To download a Certificate of Analysis, please enter a lot number in the search box below.

Product Specific Notices for WIPI2 Antibody - BSA Free

This product is for research use only and is not approved for use in humans or in clinical diagnosis. Primary Antibodies are guaranteed for 1 year from date of receipt.

Loading...
Loading...
Loading...
Loading...