Skip to main content

VSIG3/IGSF11 Antibody (OTI2H1)

Novus Biologicals, part of Bio-Techne | Catalog # NBP2-46046

Novus Biologicals, part of Bio-Techne
Catalog #
Availability
Size / Price
Qty
Loading...
NBP2-46046

Key Product Details

Species Reactivity

Human, Mouse, Rat

Applications

Immunohistochemistry, Immunohistochemistry-Paraffin, Western Blot

Label

Unconjugated

Antibody Source

Monoclonal Mouse IgG1 Clone # OTI2H1

Concentration

1 mg/ml

Product Specifications

Immunogen

Human recombinant protein fragment corresponding to amino acids 23-241 of human IGSF11 (NP_689751) produced in E.coli.

Reactivity Notes

Please note that this antibody is reactive to Mouse and derived from the same host, Mouse. Mouse-On-Mouse blocking reagent may be needed for IHC and ICC experiments to reduce high background signal. You can find these reagents under catalog numbers PK-2200-NB and MP-2400-NB. Please contact Technical Support if you have any questions.

Clonality

Monoclonal

Host

Mouse

Isotype

IgG1

Description

Novus Biologicals Mouse VSIG3/IGSF11 Antibody (OTI2H1) (NBP2-46046) is a monoclonal antibody validated for use in IHC and WB. All Novus Biologicals antibodies are covered by our 100% guarantee.

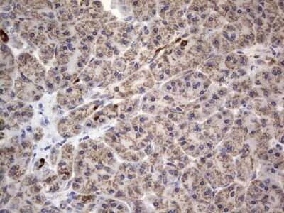
Scientific Data Images for VSIG3/IGSF11 Antibody (OTI2H1)

Western Blot: VSIG3/IGSF11 Antibody (OTI2H1) [NBP2-46046]

Western Blot: VSIG3/IGSF11 Antibody (OTI2H1) [NBP2-46046]

Western Blot: VSIG3/IGSF11 Antibody (OTI2H1) [NBP2-46046] - Analysis of HEK293T cells were transfected with the pCMV6-ENTRY control (Left lane) or pCMV6-ENTRY IGSF11 .
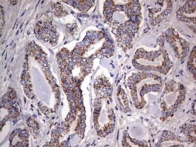
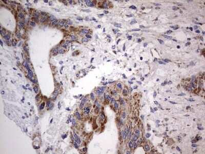
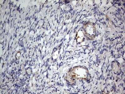
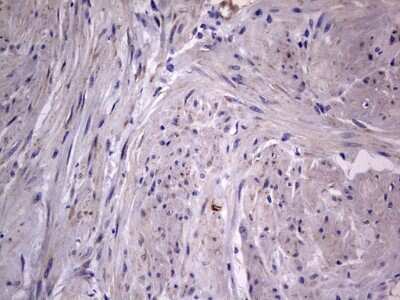
Immunohistochemistry: VSIG3/IGSF11 Antibody (OTI2H1) [NBP2-46046]

Immunohistochemistry: VSIG3/IGSF11 Antibody (OTI2H1) [NBP2-46046]

Immunohistochemistry: VSIG3/IGSF11 Antibody (OTI2H1) [NBP2-46046] - Analysis of Human lung tissue.
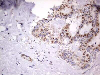
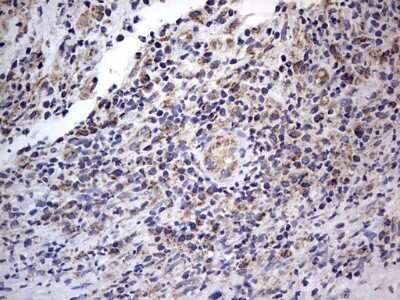
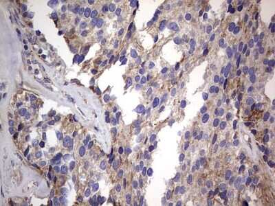
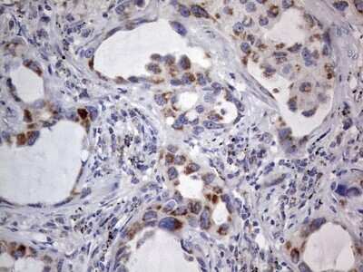
Immunohistochemistry: VSIG3/IGSF11 Antibody (OTI2H1) [NBP2-46046]

Immunohistochemistry: VSIG3/IGSF11 Antibody (OTI2H1) [NBP2-46046]

Immunohistochemistry: VSIG3/IGSF11 Antibody (OTI2H1) [NBP2-46046] - Analysis of Carcinoma of Human lung tissue using IGSF11 mouse monoclonal antibody. Dilution: 1:150

Applications for VSIG3/IGSF11 Antibody (OTI2H1)

Application
Recommended Usage

Immunohistochemistry

1:150

Immunohistochemistry-Paraffin

1:150

Western Blot

1:2000

Formulation, Preparation, and Storage

Purification

Immunogen affinity purified

Formulation

PBS (pH 7.3), 1.0% BSA and 50% Glycerol

Preservative

0.02% Sodium Azide

Concentration

1 mg/ml

Shipping

The product is shipped with polar packs. Upon receipt, store it immediately at the temperature recommended below.

Stability & Storage

Store at -20C. Avoid freeze-thaw cycles.

Background: VSIG3

IGSF11 is an immunoglobulin (Ig) superfamily member that is preferentially expressed in brain and testis. It sharessignificant homology with coxsackievirus and adenovirus receptor (CXADR; MIM 602621) and endothelial cell-selectiveadhesion molecule (ESAM).(supplied by OMIM)

Long Name

V-Set and Immunoglobulin Domain Containing 3

Alternate Names

BTIGSF, CXADRL1, IGSF11

Gene Symbol

IGSF11

Additional VSIG3 Products

Product Documents for VSIG3/IGSF11 Antibody (OTI2H1)

Certificate of Analysis

To download a Certificate of Analysis, please enter a lot number in the search box below.

Product Specific Notices for VSIG3/IGSF11 Antibody (OTI2H1)

This product is for research use only and is not approved for use in humans or in clinical diagnosis. Primary Antibodies are guaranteed for 1 year from date of receipt.

Loading...
Loading...
Loading...
Loading...