Skip to main content

visinin-like 1 Antibody (PSH0-08)

Novus Biologicals, part of Bio-Techne | Catalog # NBP3-33089

Recombinant Monoclonal Antibody
Novus Biologicals, part of Bio-Techne
Catalog #
Availability
Size / Price
Qty
Loading...
NBP3-33089

Key Product Details

Species Reactivity

Human, Mouse, Rat

Applications

Immunohistochemistry, Immunohistochemistry-Paraffin, Western Blot

Label

Unconjugated

Antibody Source

Recombinant Monoclonal Rabbit IgG Clone # PSH0-08 expressed in HEK293

Concentration

1 mg/ml

Product Specifications

Immunogen

Recombinant protein within human visinin-like 1 aa 1-191 / 191. (Uniprot: P62760)

Localization

Cytosol, membrane.

Clonality

Monoclonal

Host

Rabbit

Isotype

IgG

Theoretical MW

22 kDa.
Disclaimer note: The observed molecular weight of the protein may vary from the listed predicted molecular weight due to post translational modifications, post translation cleavages, relative charges, and other experimental factors.

Description

Novus Biologicals Rabbit visinin-like 1 Antibody (PSH0-08) (NBP3-33089) is a recombinant monoclonal antibody validated for use in IHC and WB. All Novus Biologicals antibodies are covered by our 100% guarantee.

Scientific Data Images for visinin-like 1 Antibody (PSH0-08)

visinin-like 1 Antibody (PSH0-08)

Western Blot: visinin-like 1 Antibody (PSH0-08) [NBP3-33089]

Western Blot: visinin-like 1 Antibody (PSH0-08) [NBP3-33089] - Western blot analysis of visinin-like 1 on different lysates with Rabbit anti-visinin-like 1 antibody (NBP3-33089) at 1/1,000 dilution.

Lane 1: Human liver tissue lysate (20 ug/Lane)
Lane 2: Hela cell lysate (10 ug/Lane)
Lane 3: Hela cell lysate (10 ug/Lane)

Predicted band size: 22 kDa
Observed band size: 22 kDa

Exposure time: 3 minutes;

4-20% SDS-PAGE gel.

Proteins were transferred to a PVDF membrane and blocked with 5% NFDM/TBST for 1 hour at room temperature. The primary antibody (NBP3-33089) at 1/1,000 dilution was used in 5% NFDM/TBST at room temperature for 2 hours. Goat Anti-Rabbit IgG - HRP Secondary Antibody at 1:300,000 dilution was used for 1 hour at room temperature.
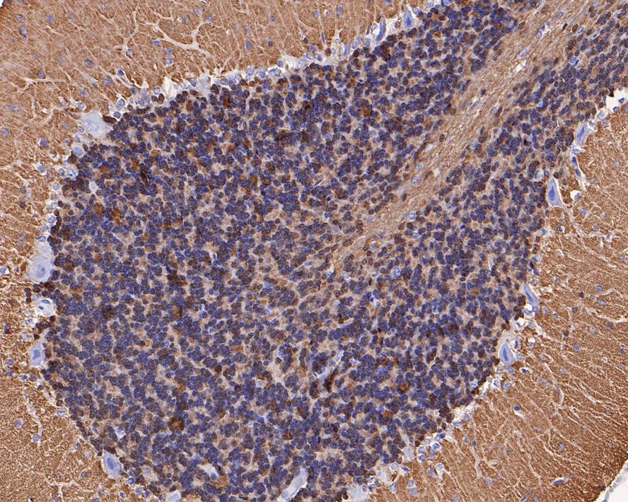
visinin-like 1 Antibody (PSH0-08)

Immunohistochemistry: visinin-like 1 Antibody (PSH0-08) [NBP3-33089]

Immunohistochemistry: visinin-like 1 Antibody (PSH0-08) [NBP3-33089] - Immunohistochemical analysis of paraffin-embedded rat cerebellum tissue with Rabbit anti-visinin-like 1 antibody (NBP3-33089) at 1/1,000 dilution.

The section was pre-treated using heat mediated antigen retrieval with Tris-EDTA buffer (pH 9.0) for 20 minutes. The tissues were blocked in 1% BSA for 20 minutes at room temperature, washed with ddH2O and PBS, and then probed with the primary antibody (NBP3-33089) at 1/1,000 dilution for 1 hour at room temperature. The detection was performed using an HRP conjugated compact polymer system. DAB was used as the chromogen. Tissues were counterstained with hematoxylin and mounted with DPX.

Applications for visinin-like 1 Antibody (PSH0-08)

Application
Recommended Usage

Immunohistochemistry-Paraffin

1:1000

Western Blot

1:1000

Formulation, Preparation, and Storage

Purification

Protein A purified

Formulation

PBS (pH7.4), 0.1% BSA and 40% Glycerol

Preservative

0.05% Sodium Azide

Concentration

1 mg/ml

Shipping

The product is shipped with polar packs. Upon receipt, store it immediately at the temperature recommended below.

Stability & Storage

Store at 4C short term. Aliquot and store at -20C long term. Avoid freeze-thaw cycles.

Background: VSNL1

visinin-like 1 is a member of the visinin/recoverin subfamily of neuronal calcium sensor proteins. The encoded protein is strongly expressed in granule cells of the cerebellum where it associates with membranes in a calcium-dependent manner and modulates intracellular signaling pathways of the central nervous system by directly or indirectly regulating the activity of adenylyl cyclase. Alternatively spliced transcript variants have been observed, but their full-length nature has not been determined.

Long Name

Visinin Like 1

Alternate Names

HPCAL3, HUVISL1, VILIP, VISL1

Gene Symbol

VSNL1

Additional VSNL1 Products

Product Documents for visinin-like 1 Antibody (PSH0-08)

Certificate of Analysis

To download a Certificate of Analysis, please enter a lot number in the search box below.

Product Specific Notices for visinin-like 1 Antibody (PSH0-08)

This product is for research use only and is not approved for use in humans or in clinical diagnosis. Primary Antibodies are guaranteed for 1 year from date of receipt.

Loading...
Loading...
Loading...
Loading...