Skip to main content

VASP [p Ser156] Antibody (JE45-91)

Novus Biologicals, part of Bio-Techne | Catalog # NBP3-32815

Recombinant Monoclonal Antibody
Novus Biologicals, part of Bio-Techne
Catalog #
Availability
Size / Price
Qty
Loading...
NBP3-32815

Key Product Details

Species Reactivity

Human, Mouse, Rat

Applications

Immunohistochemistry, Immunohistochemistry-Paraffin, Western Blot, Immunocytochemistry/ Immunofluorescence

Label

Unconjugated

Antibody Source

Recombinant Monoclonal Rabbit IgG Clone # JE45-91 expressed in HEK293

Concentration

1 mg/ml

Product Specifications

Immunogen

Synthetic phosphopeptide corresponding to residues surrounding Ser156 of human VASP. (Uniprot: P50552)

Modification

p Ser 156

Localization

Cytoplasm, cytoskeleton, Cell junction, focal adhesion, tight junction, Cell projection, lamellipodium membrane, filopodium membrane.

Clonality

Monoclonal

Host

Rabbit

Isotype

IgG

Theoretical MW

40 kDa.
Disclaimer note: The observed molecular weight of the protein may vary from the listed predicted molecular weight due to post translational modifications, post translation cleavages, relative charges, and other experimental factors.

Description

Novus Biologicals Rabbit VASP [p Ser156] Antibody (JE45-91) (NBP3-32815) is a recombinant monoclonal antibody validated for use in IHC, WB and ICC/IF. All Novus Biologicals antibodies are covered by our 100% guarantee.

Scientific Data Images for VASP [p Ser156] Antibody (JE45-91)

VASP [p Ser156] Antibody (JE45-91)

Western Blot: VASP [p Ser156] Antibody (JE45-91) [NBP3-32815]

Western Blot: VASP [p Ser156] Antibody (JE45-91) [NBP3-32815] - Western blot analysis of VASP on different lysates with Rabbit anti-VASP antibody (NBP3-32815) at 1/1,000 dilution.

Lane 1: HeLa cell lysate
Lane 2: HeLa treated with 100ng/mL Calyculin A for 30 minutes cell lysate
Lane 3: HeLa treated with 100ng/mL Calyculin A for 30 minutes cell lysate, then the membrane treated with pp for 1 hour

Lysates/proteins at 20 ug/Lane.

Predicted band size: 40 kDa
Observed band size: 50 kDa

Exposure time: 3 minutes; ECL;
4-20% SDS-PAGE gel.

Proteins were transferred to a PVDF membrane and blocked with 5% NFDM/TBST for 1 hour at room temperature. The primary antibody (NBP3-32815) at 1/1,000 dilution was used in 5% NFDM/TBST at 4C overnight. Goat Anti-Rabbit IgG - HRP Secondary Antibody at 1/50,000 dilution was used for 1 hour at room temperature.
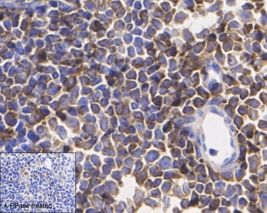
VASP [p Ser156] Antibody (JE45-91)

Immunohistochemistry: VASP [p Ser156] Antibody (JE45-91) [NBP3-32815]

Immunohistochemistry: VASP [p Ser156] Antibody (JE45-91) [NBP3-32815] - Immunohistochemical analysis of paraffin-embedded mouse spleen tissue with Rabbit anti-VASP antibody (NBP3-32815) at 1/1,000 dilution.

The section was pre-treated using heat mediated antigen retrieval with Tris-EDTA buffer (pH 9.0) for 20 minutes. The tissues were blocked in 1% BSA for 20 minutes at room temperature, washed with ddH2O and PBS, and then probed with the primary antibody (NBP3-32815) at 1/1,000 dilution for 1 hour at room temperature. The detection was performed using an HRP conjugated compact polymer system. DAB was used as the chromogen. Tissues were counterstained with hematoxylin and mounted with DPX.
VASP [p Ser156] Antibody (JE45-91)

Immunocytochemistry/ Immunofluorescence: VASP [p Ser156] Antibody (JE45-91) [NBP3-32815]

Immunocytochemistry/ Immunofluorescence: VASP [p Ser156] Antibody (JE45-91) [NBP3-32815] - Immunocytochemistry analysis of A431 cells treated with or without 10μM forskolin for 1 hour labeling VASP with Rabbit anti-VASP antibody (NBP3-32815) at 1/100 dilution.

Cells were fixed in 4% paraformaldehyde for 20 minutes at room temperature, permeabilized with 0.1% Triton X-100 in PBS for 5 minutes at room temperature, then blocked with 1% BSA in 10% negative goat serum for 1 hour at room temperature. Cells were then incubated with Rabbit anti-VASP antibody (NBP3-32815) at 1/100 dilution in 1% BSA in PBST overnight at 4 ℃. Goat Anti-Rabbit IgG H&L (iFluor™ 488) was used as the secondary antibody at 1/1,000 dilution. PBS instead of the primary antibody was used as the secondary antibody only control. Nuclear DNA was labelled in blue with DAPI.

Beta tubulin (red) was stained at 1/100 dilution overnight at +4℃. Goat Anti-Mouse IgG H&L (iFluor™ 594) was used as the secondary antibody at 1/1,000 dilution.

Applications for VASP [p Ser156] Antibody (JE45-91)

Application
Recommended Usage

Immunocytochemistry/ Immunofluorescence

1:100

Immunohistochemistry-Paraffin

1:1000

Western Blot

1:1000

Formulation, Preparation, and Storage

Purification

Protein A purified

Formulation

1*TBS (pH7.4), 0.05% BSA and 40% Glycerol

Preservative

0.05% Sodium Azide

Concentration

1 mg/ml

Shipping

The product is shipped with polar packs. Upon receipt, store it immediately at the temperature recommended below.

Stability & Storage

Store at 4C short term. Aliquot and store at -20C long term. Avoid freeze-thaw cycles.

Background: VASP

Vasodilator-stimulated phosphoprotein (VASP) is a member of the Ena-VASP protein family. VASP is associated with filamentous actin formation and likely plays a widespread role in cell adhesion and motility. VASP may also be involved in the intracellular signaling pathways that regulate integrin-extracellular matrix interactions. VASP is regulated by the cyclic nucleotide-dependent kinases PKA and PKG. VASP shares a limited degree of homology with the amino terminus of WASP, which is frequently mutated in Wiskott-Aldrich syndrome (WAS) patients. An established substrate of cAMP and cGMP dependent kinases, VASP is phosphorylated on a regulatory serine residue 157 and localizes to focal adhesions, microfilaments and highly active regions of the plasma membrane. VASP is highly expressed in human platelets and, like WASP, may play a role in cytoskeletal organization.

Long Name

Vasodilator-stimulated Phosphoprotein

Alternate Names

vasodilator-stimulated phosphoprotein

Gene Symbol

VASP

Additional VASP Products

Product Documents for VASP [p Ser156] Antibody (JE45-91)

Certificate of Analysis

To download a Certificate of Analysis, please enter a lot number in the search box below.

Product Specific Notices for VASP [p Ser156] Antibody (JE45-91)

This product is for research use only and is not approved for use in humans or in clinical diagnosis. Primary Antibodies are guaranteed for 1 year from date of receipt.

Loading...
Loading...
Loading...
Loading...