Skip to main content

USP44 Antibody (OTI1D1) - Azide and BSA Free

Novus Biologicals, part of Bio-Techne | Catalog # NBP2-74811

Novus Biologicals, part of Bio-Techne

Key Product Details

Species Reactivity

Human

Applications

Immunohistochemistry, Immunohistochemistry-Paraffin, Western Blot

Label

Unconjugated

Antibody Source

Monoclonal Mouse IgG2A Clone # OTI1D1

Format

Azide and BSA Free

Concentration

LYOPH mg/ml

Product Specifications

Immunogen

Human recombinant protein fragment corresponding to amino acids 420-712 of human USP44 (NP_115523) produced in E.coli.

Clonality

Monoclonal

Host

Mouse

Isotype

IgG2A

Theoretical MW

81 kDa.
Disclaimer note: The observed molecular weight of the protein may vary from the listed predicted molecular weight due to post translational modifications, post translation cleavages, relative charges, and other experimental factors.

Description

Novus Biologicals Mouse USP44 Antibody (OTI1D1) - Azide and BSA Free (NBP2-46306) is a monoclonal antibody validated for use in IHC and WB. All Novus Biologicals antibodies are covered by our 100% guarantee.

Scientific Data Images for USP44 Antibody (OTI1D1) - Azide and BSA Free

Western Blot: USP44 Antibody (OTI1D1)Azide and BSA Free [NBP2-74811]

Western Blot: USP44 Antibody (OTI1D1)Azide and BSA Free [NBP2-74811]

Western Blot: USP44 Antibody (OTI1D1) - Azide and BSA Free [NBP2-74811] - E.coli lysate (left lane) and E.coli lysate expressing human recombinant protein fragment corresponding to amino acids 420-712 of human USP44 (NP_115523) were separated by SDS-PAGE and immunoblotted with USP44 antibody.
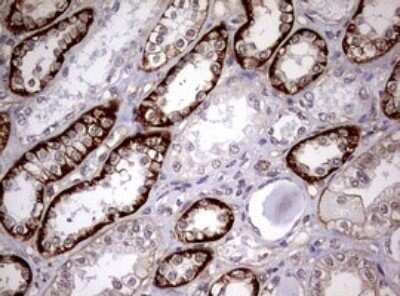
Immunohistochemistry: USP44 Antibody (OTI1D1) - Azide and BSA Free [NBP2-74811]

Immunohistochemistry: USP44 Antibody (OTI1D1) - Azide and BSA Free [NBP2-74811]

Immunohistochemistry: USP44 Antibody (OTI1D1) - Azide and BSA Free [NBP2-74811] - Analysis of Human pancreas tissue. (Heat-induced epitope retrieval by 10mM citric buffer, pH6.0, 120C for 3min)
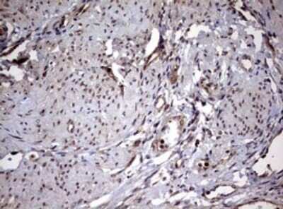
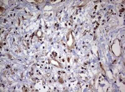
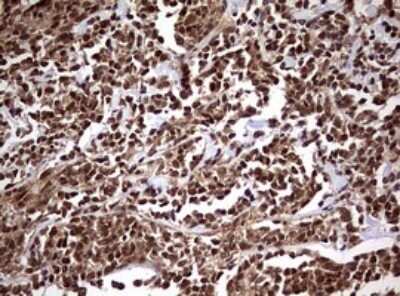
Immunohistochemistry: USP44 Antibody (OTI1D1) - Azide and BSA Free [NBP2-74811]

Immunohistochemistry: USP44 Antibody (OTI1D1) - Azide and BSA Free [NBP2-74811]

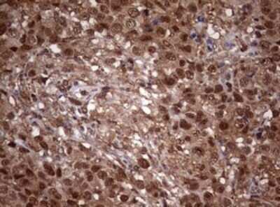
Immunohistochemistry: USP44 Antibody (OTI1D1) - Azide and BSA Free [NBP2-74811] - Analysis of Adenocarcinoma of Human breast tissue. (Heat-induced epitope retrieval by 10mM citric buffer, pH6.0, 120C for 3min)

Applications for USP44 Antibody (OTI1D1) - Azide and BSA Free

Application
Recommended Usage

Immunohistochemistry

1:150

Western Blot

1:2000

Formulation, Preparation, and Storage

Purification

Immunogen affinity purified

Reconstitution

we recommend adding 100uL distilled water to a final antibody concentration of about 1 mg/mL. To use this carrier-free antibody for conjugation experiment, we strongly recommend performing another round of desalting process.

Formulation

Lyophilized from PBS (pH 7.3) with 8% Trehalose

Format

Azide and BSA Free

Preservative

No Preservative

Concentration

LYOPH mg/ml

Shipping

The product is shipped with polar packs. Upon receipt, store it immediately at the temperature recommended below.

Stability & Storage

Store at -20C. Avoid freeze-thaw cycles.

Background: USP44

Modification of cellular proteins by ubiquitin is an essential regulatory mechanism controlled by the coordinated action of multiple ubiquitin-conjugating and deubiquitinating enzymes. USP44 belongs to a large family of cysteine proteases that function as deubiquitinating enzymes (Quesada et al., 2004 [PubMed 14715245]).[supplied by OMIM]

Long Name

Ubiquitin carboxyl-terminal hydrolase 44

Alternate Names

Deubiquitinating enzyme 44, DKFZp434D0127, EC 3.1.2.15, EC 3.4.19.12, FLJ14528, ubiquitin carboxyl-terminal hydrolase 44, ubiquitin specific peptidase 44, ubiquitin specific protease 44, ubiquitin thioesterase 44, Ubiquitin thiolesterase 44, Ubiquitin-specific-processing protease 44

Gene Symbol

USP44

Additional USP44 Products

Product Documents for USP44 Antibody (OTI1D1) - Azide and BSA Free

Certificate of Analysis

To download a Certificate of Analysis, please enter a lot number in the search box below.

Product Specific Notices for USP44 Antibody (OTI1D1) - Azide and BSA Free

This product is for research use only and is not approved for use in humans or in clinical diagnosis. Primary Antibodies are guaranteed for 1 year from date of receipt.

Loading...
Loading...
Loading...
Loading...
Loading...