Skip to main content

Uroplakin IIIB Antibody (UPK3B/3270)

Novus Biologicals, part of Bio-Techne | Catalog # NBP3-20592

Novus Biologicals, part of Bio-Techne
Catalog #
Availability
Size / Price
Qty
Loading...
NBP3-20592-100ug
NBP3-20592-20ug

Key Product Details

Species Reactivity

Human

Applications

Immunohistochemistry-Paraffin, ELISA

Label

Unconjugated

Antibody Source

Monoclonal Mouse IgG Clone # UPK3B/3270

Concentration

0.2 mg/ml

Product Specifications

Immunogen

Recombinant fragment (around aa 100-300) of human Uroplakin IIIB protein (exact sequence is proprietary)

Localization

Cell surface. Heterodimer formation with UPK1B is a prerequisite to exit out of the endoplasmic reticulum.

Clonality

Monoclonal

Host

Mouse

Isotype

IgG

Description

Positive Controls: Human urinary bladder.

Antibody with azide - store at 2 to 8C. Antibody without azide - store at -20 to -80C. Non-hazardous. No MSDS required.

Scientific Data Images for Uroplakin IIIB Antibody (UPK3B/3270)

Uroplakin IIIB Antibody (UPK3B/3270)

Uroplakin IIIB Antibody (UPK3B/3270)

Analysis of Protein Array containing more than 19,000 full-length human proteins using Uroplakin IIIB Mouse Monoclonal Antibody (UPK3B/3270)
Uroplakin IIIB Antibody (UPK3B/3270)

Uroplakin IIIB Antibody (UPK3B/3270)

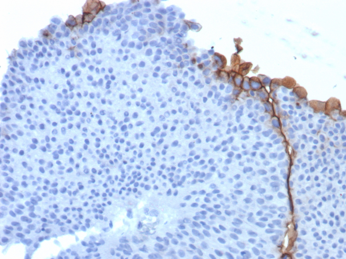
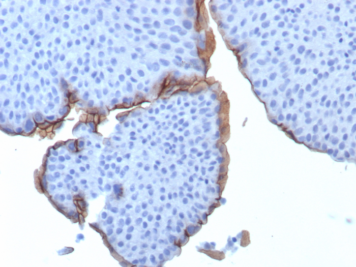
Formalin-fixed, paraffin-embedded human bladder stained with Uroplakin IIIB antibody (UPK3B/3270). HIER: Tris/EDTA, pH9.0, 45min. Secondary: HRP-polymer, 30min. DAB, 5min.
Uroplakin IIIB Antibody (UPK3B/3270)

Uroplakin IIIB Antibody (UPK3B/3270)

Formalin-fixed, paraffin-embedded human bladder stained with Uroplakin IIIB antibody (UPK3B/3270). HIER: Tris/EDTA, pH9.0, 45min. Secondary: HRP-polymer, 30min. DAB, 5min.

Applications for Uroplakin IIIB Antibody (UPK3B/3270)

Application
Recommended Usage

Immunohistochemistry-Paraffin

1-2 ug/ml
Application Notes
ELISA: For coating, order Ab without BSA

Immunohistochemistry (Formalin-fixed): 1-2ug/ml for 30 minutes. at RT. Staining of formalin-fixed tissues requires heating tissue sections in 10mM Tris with 1mM EDTA, pH 9.0, for 45 min at 95C followed by cooling at RT for 20 minutes.

Optimal dilution for a specific application should be determined.

Formulation, Preparation, and Storage

Purification

Protein A or G purified

Formulation

10mM PBS with 0.05% BSA

Preservative

0.05% Sodium Azide

Concentration

0.2 mg/ml

Shipping

The product is shipped with polar packs. Upon receipt, store it immediately at the temperature recommended below.

Stability & Storage

Store at 4C. Do not freeze.

Background: Uroplakin IIIB

UPK3B is a minor component of the apical plaques of mammalian urothelium that binds and dimerizes with uroplakin-1b (UPK1B; MIM 602380), one of the major conserved urothelium membrane proteins. The other major conserved integral membrane proteins of urothelial plaques are UPK1A (MIM 611557), UPK2 (MIM 611558), and UPK3A (MIM 611559) (Deng et al., 2002 [PubMed 12446744]).[supplied by OMIM]

Alternate Names

FLJ32198, MGC10902, p35, UP3b, UPIIIB, UPIIIbP35, uroplakin 3B, Uroplakin IIIb, uroplakin-3b

Gene Symbol

UPK3B

Additional Uroplakin IIIB Products

Product Documents for Uroplakin IIIB Antibody (UPK3B/3270)

Certificate of Analysis

To download a Certificate of Analysis, please enter a lot number in the search box below.

Product Specific Notices for Uroplakin IIIB Antibody (UPK3B/3270)

This product is for research use only and is not approved for use in humans or in clinical diagnosis. Primary Antibodies are guaranteed for 1 year from date of receipt.

Loading...
Loading...
Loading...
Loading...