Uroplakin Ib Antibody (UPK1B/3273) - Azide and BSA Free
Novus Biologicals, part of Bio-Techne | Catalog # NBP2-79935
Conjugate
Catalog #
Key Product Details
Species Reactivity
Human
Applications
Immunohistochemistry, Immunohistochemistry-Paraffin, ELISA, Protein Array
Label
Unconjugated
Antibody Source
Monoclonal Mouse IgG1 kappa Clone # UPK1B/3273
Format
Azide and BSA Free
Concentration
1 mg/ml
Product Specifications
Immunogen
Recombinant fragment (around aa 109-229) of human Uroplakin Ib (UPK1B) protein (exact sequence is proprietary) (Uniprot: O75841)
Localization
Membrane
Marker
Urothelial Differentiation Marker
Clonality
Monoclonal
Host
Mouse
Isotype
IgG1 kappa
Theoretical MW
30 kDa.
Disclaimer note: The observed molecular weight of the protein may vary from the listed predicted molecular weight due to post translational modifications, post translation cleavages, relative charges, and other experimental factors.
Disclaimer note: The observed molecular weight of the protein may vary from the listed predicted molecular weight due to post translational modifications, post translation cleavages, relative charges, and other experimental factors.
Description
1.0 mg/ml of antibody purified from Bioreactor Concentrate by Protein A/G. Prepared in 10mM PBS WITHOUT BSA & azide. Also available at 200 ug/ml WITH BSA & azide (NBP2-79801).
Antibody with azide - store at 2 to 8C. Antibody without azide - store at -20 to -80C.
Antibody with azide - store at 2 to 8C. Antibody without azide - store at -20 to -80C.
Scientific Data Images for Uroplakin Ib Antibody (UPK1B/3273) - Azide and BSA Free
Immunohistochemistry-Paraffin: Uroplakin Ib Antibody (UPK1B/3273) - Azide and BSA Free [NBP2-79935]
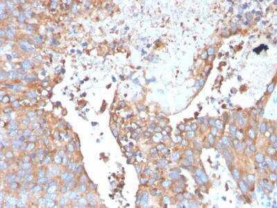
Immunohistochemistry-Paraffin: Uroplakin Ib Antibody (UPK1B/3273) - Azide and BSA Free [NBP2-79935] - Formalin-fixed, paraffin-embedded human Urothelial Carcinoma stained with Monospecific Mouse Monoclonal Antibody to Uroplakin 1B (UPK1B/3273).Immunohistochemistry-Paraffin: Uroplakin Ib Antibody (UPK1B/3273) - Azide and BSA Free [NBP2-79935]
Immunohistochemistry-Paraffin: Uroplakin Ib Antibody (UPK1B/3273) - Azide and BSA Free [NBP2-79935] - Formalin-fixed, paraffin-embedded human Urothelial Carcinoma stained with Monospecific Mouse Monoclonal Antibody to Uroplakin 1B (UPK1B/3273).Immunohistochemistry-Paraffin: Uroplakin Ib Antibody (UPK1B/3273) - Azide and BSA Free [NBP2-79935]
Immunohistochemistry-Paraffin: Uroplakin Ib Antibody (UPK1B/3273) - Azide and BSA Free [NBP2-79935] - Formalin-fixed, paraffin-embedded human Urothelial Carcinoma stained with Monospecific Mouse Monoclonal Antibody to Uroplakin 1B (UPK1B/3273).Applications for Uroplakin Ib Antibody (UPK1B/3273) - Azide and BSA Free
Application
Recommended Usage
Immunohistochemistry
1 - 2 ug/mL
Immunohistochemistry-Paraffin
1 - 2 ug/mL
Application Notes
ELISA: For coating, order Ab without BSA.
Immunohistochemistry (Formalin-fixed): 1-2ug/ml for 30 minutes at RT. Staining of formalin-fixed tissues requires heating tissue sections in 10mM Tris with 1mM EDTA, pH 9.0, for 45 min at 95C followed by cooling at RT for 20 minutes.
Optimal dilution for a specific application should be determined.
Immunohistochemistry (Formalin-fixed): 1-2ug/ml for 30 minutes at RT. Staining of formalin-fixed tissues requires heating tissue sections in 10mM Tris with 1mM EDTA, pH 9.0, for 45 min at 95C followed by cooling at RT for 20 minutes.
Optimal dilution for a specific application should be determined.
Formulation, Preparation, and Storage
Purification
Protein A or G purified
Formulation
10 mM PBS
Format
Azide and BSA Free
Preservative
No Preservative
Concentration
1 mg/ml
Shipping
The product is shipped with polar packs. Upon receipt, store it immediately at the temperature recommended below.
Stability & Storage
Store at -20 to -80C. Avoid freeze-thaw cycles.
Background: Uroplakin Ib
Alternate Names
TSPAN20, UP1b, UPIB, UPK1B, Uroplakin 1B
Gene Symbol
UPK1B
Additional Uroplakin Ib Products
Product Documents for Uroplakin Ib Antibody (UPK1B/3273) - Azide and BSA Free
Product Specific Notices for Uroplakin Ib Antibody (UPK1B/3273) - Azide and BSA Free
This product is for research use only and is not approved for use in humans or in clinical diagnosis. Primary Antibodies are guaranteed for 1 year from date of receipt.
Loading...
Loading...
Loading...
Loading...